Suppr超能文献

复杂经导管主动脉瓣植入术后的心脏直视心胸生物瓣膜置换术

Open-Heart Cardio-Thoracic Biological Valve Replacement Following Complicated Transcatheter Aortic Valve Implantation.

作者信息

Klotzka Aneta, Woźniak Patrycja, Misterski Marcin, Rodzki Michał, Puślecki Mateusz, Jemielity Marek, Grygier Marek, Araszkiewicz Aleksander, Iwańczyk Sylwia, Buczkowski Piotr

机构信息

Department of Cardiology, Poznan University of Medical Sciences, Długa 1/2 Street, 61-848 Poznan, Poland.

Cardiac Surgery and Transplanthology Department, Poznan University of Medical Sciences, Długa ½ Street, 61-848 Poznan, Poland.

出版信息

J Pers Med. 2023 May 16;13(5):838. doi: 10.3390/jpm13050838.

Abstract

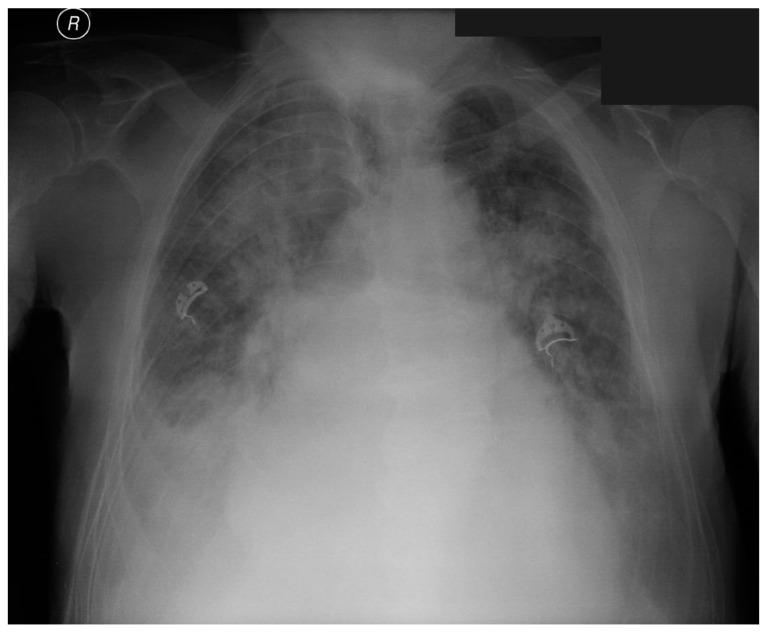
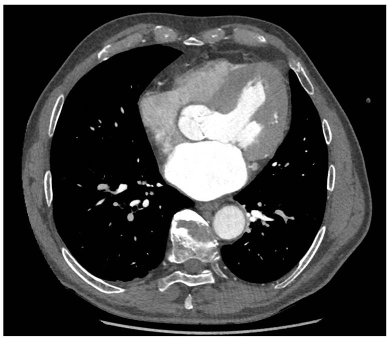
Transcatheter aortic valve implantation (TAVI) is currently becoming the method of choice in high-risk patients with severe aortic valve stenosis. Post-TAVI complications are more common owing to the increasing use of the method. The majority of TAVI complications derive from concomitant aortic stenosis with moderate/severe aortic insufficiency, paravalvular leak, and atrioventricular block. The contemporary TAVI qualification process includes a thorough echocardiography and angio-CT of the aorta, which is crucial in assessing valve measurements, determining the position of the coronary arteries branching from the aorta, and choosing the optimal valve size. We present the case report of an 81-year-old patient admitted to our hospital because of exacerbation of the clinical condition and development of pulmonary edema a few days after TAVI. Despite the reduction of the initial leak, an echocardiographic examination revealed the remaining severe paravalvular aortic leakage. We performed open-heart cardio-thoracic surgery, explanted the TAVI valve, and implanted the biological prosthesis (Edwards Perimount Magna size 25). Introduction of new interventional treatment approaches and the availability of imaging tools have substantially reduced the incidence of significant paravalvular leak and offered a better prognosis for patients undergoing TAVI.

摘要

经导管主动脉瓣植入术(TAVI)目前正成为重度主动脉瓣狭窄高危患者的首选治疗方法。由于该方法使用的增加,TAVI术后并发症更为常见。大多数TAVI并发症源于合并中度/重度主动脉瓣关闭不全的主动脉狭窄、瓣周漏和房室传导阻滞。当代TAVI的评估过程包括全面的超声心动图检查和主动脉血管造影CT,这对于评估瓣膜尺寸、确定从主动脉分支的冠状动脉位置以及选择最佳瓣膜大小至关重要。我们报告了一例81岁患者,因TAVI术后几天临床症状加重和肺水肿发展而入院。尽管初始漏血减少,但超声心动图检查显示仍存在严重的瓣周主动脉瓣反流。我们进行了心脏直视胸外科手术,取出TAVI瓣膜,并植入生物假体(爱德华兹Perimount Magna尺寸25)。新介入治疗方法的引入和成像工具的应用显著降低了严重瓣周漏的发生率,并为接受TAVI的患者提供了更好的预后。

https://cdn.ncbi.nlm.nih.gov/pmc/blobs/6606/10223010/e9718d5344c2/jpm-13-00838-g001.jpg

文献AI研究员

20分钟写一篇综述,助力文献阅读效率提升50倍。

立即体验

用中文搜PubMed

大模型驱动的PubMed中文搜索引擎

马上搜索

文档翻译

学术文献翻译模型,支持多种主流文档格式。

立即体验