Suppr超能文献

经桡动脉途径的一种并发症:伴血胸的甲状腺颈干假性动脉瘤。

A complication of the transradial approach: thyrocervical trunk pseudoaneurysm with hemothorax.

作者信息

El Naamani Kareem, Abbas Rawad, Sioutas Georgios S, Amllay Abdelaziz, Tjoumakaris Stavropoula, Gooch Michael R, Rosenwasser Robert H, Jabbour Pascal

机构信息

Department of Neurological Surgery, Thomas Jefferson University Hospital, Philadelphia, Pennsylvania, USA.

出版信息

BJR Case Rep. 2023 May 3;9(3):20220136. doi: 10.1259/bjrcr.20220136. eCollection 2023 May.

Abstract

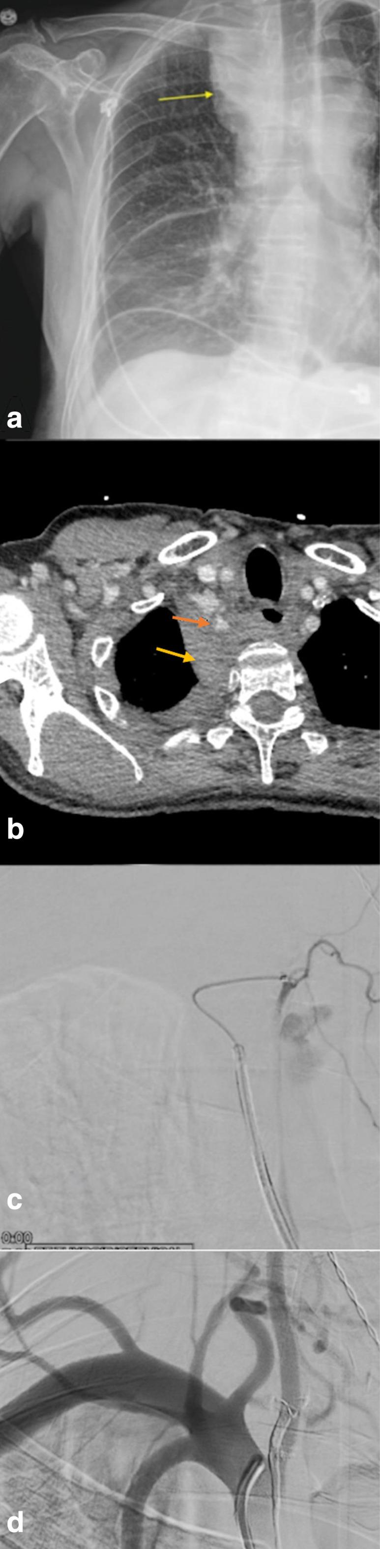
The transradial approach has gained popularity in the neuroendovascular field after several studies proved its low rate of hemorrhagic and vascular-related complications in both diagnostic and therapeutic procedures. This is a case of a patient who presented for flow diversion treatment of an incidental left carotid ophthalmic aneurysm. The procedure was uneventful. Post-operatively, the patient's neurological exam and vital signs were normal, however the patient complained of abdominal and chest pain that worsened when lying down and improved when sitting up. Radiologic diagnosis confirmed the presence of a thyrocervical trunk pseudoaneurysm which was completely obliterated with Onyx 18 embolization. Thyrocervical trunk pseudoaneurysm formation is a rare complication of the transradial approach. Shedding the light on these entities is essential as symptoms vary in severity and presentation and necessitate swift diagnosis and treatment.

摘要

在多项研究证明经桡动脉途径在诊断和治疗操作中出血及血管相关并发症发生率较低后,该途径在神经血管内介入领域已越来越受欢迎。本文报告一例因偶然发现的左侧颈内动脉眼动脉瘤而接受血流导向治疗的患者。手术过程顺利。术后,患者神经学检查及生命体征正常,但患者主诉腹部和胸部疼痛,平卧时加重,坐起时缓解。影像学诊断证实存在甲状腺颈干假性动脉瘤,通过使用Onyx 18进行栓塞,该假性动脉瘤完全闭塞。甲状腺颈干假性动脉瘤形成是经桡动脉途径的一种罕见并发症。了解这些情况至关重要,因为其症状的严重程度和表现各不相同,需要迅速诊断和治疗。

https://cdn.ncbi.nlm.nih.gov/pmc/blobs/fe48/10230224/5e394747015c/bjrcr.20220136.g001.jpg

相似文献

1
A complication of the transradial approach: thyrocervical trunk pseudoaneurysm with hemothorax.
BJR Case Rep. 2023 May 3;9(3):20220136. doi: 10.1259/bjrcr.20220136. eCollection 2023 May.
4
5
Transradial access for flow diversion of intracranial aneurysms: Case series.
Interv Neuroradiol. 2021 Feb;27(1):68-74. doi: 10.1177/1591019920938961. Epub 2020 Jul 5.
6
Endovascular treatment of false aneurysm of the thyrocervical trunk.
Vasc Endovascular Surg. 2007 Feb-Mar;41(1):77-9. doi: 10.1177/1538574406290075.
7
Coils and onyx embolization of traumatic carotid-cavernous fistula caused by an intradural internal carotid artery pseudoaneurysm.
Neuroradiol J. 2012 May;25(2):231-6. doi: 10.1177/197140091202500214. Epub 2012 Apr 24.

引用本文的文献

1
Case Report: An unusual case of hemoptysis.
Front Med (Lausanne). 2025 Apr 3;12:1549973. doi: 10.3389/fmed.2025.1549973. eCollection 2025.

本文引用的文献

1
Radial artery access for neuroendovascular procedures: safety review and complications.
J Neurointerv Surg. 2021 Dec;13(12):1132-1138. doi: 10.1136/neurintsurg-2021-017325. Epub 2021 Sep 22.
2
Incidence of and predisposing factors for pseudoaneurysm formation in a high-volume cardiovascular center.
PLoS One. 2021 Aug 24;16(8):e0256317. doi: 10.1371/journal.pone.0256317. eCollection 2021.
3
Lessons Learned After 760 Neurointerventions via the Upper Extremity Vasculature: Pearls and Pitfalls.
Neurosurgery. 2021 May 13;88(6):E510-E522. doi: 10.1093/neuros/nyab084.
5
Pseudoaneurysm of the thyrocervical trunk after coronary intervention from the right radial approach.
Coron Artery Dis. 2017 Aug;28(5):443-444. doi: 10.1097/MCA.0000000000000484.
6
Iatrogenic subclavian artery pseudoaneurysm complicating a transradial percutaneous coronary intervention.
JACC Cardiovasc Interv. 2012 Mar;5(3):360-1. doi: 10.1016/j.jcin.2011.10.017.
8
Radial artery perforation after coronary intervention: is there a role for covered coronary stent?
Catheter Cardiovasc Interv. 2011 Oct 1;78(4):632-5. doi: 10.1002/ccd.22945. Epub 2011 Jul 21.
9
Transradial arterial access for coronary and peripheral procedures: executive summary by the Transradial Committee of the SCAI.
Catheter Cardiovasc Interv. 2011 Nov 15;78(6):823-39. doi: 10.1002/ccd.23052. Epub 2011 May 4.
10
Prediction of iatrogenic pseudoaneurysm after percutaneous endovascular procedures.
Radiology. 2006 Aug;240(2):597-602. doi: 10.1148/radiol.2402050907.

文献AI研究员

20分钟写一篇综述,助力文献阅读效率提升50倍。

立即体验

用中文搜PubMed

大模型驱动的PubMed中文搜索引擎

马上搜索

文档翻译

学术文献翻译模型,支持多种主流文档格式。

立即体验