Suppr超能文献

表达FGF10的转基因小鼠颅面骨和软骨的发育障碍

Developmental impairments of craniofacial bone and cartilage in transgenic mice expressing FGF10.

作者信息

Yoshioka Hirotaka, Kagawa Kazuko, Minamizaki Tomoko, Nakano Masashi, Aubin Jane E, Kozai Katsuyuki, Tsuga Kazuhiro, Yoshiko Yuji

机构信息

Department of Anatomy, School of Medicine, International University of Health and Welfare, Chiba, Japan.

Department of Calcified Tissue Biology, Graduate School of Biomedical and Health Sciences, Hiroshima University, Hiroshima, Japan.

出版信息

Bone Rep. 2023 May 26;18:101692. doi: 10.1016/j.bonr.2023.101692. eCollection 2023 Jun.

Abstract

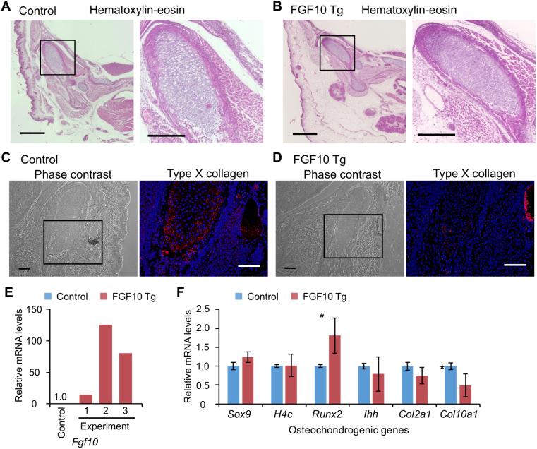
Mutations in a common extracellular domain of fibroblast growth factor receptor (FGFR)-2 isoforms (type IIIb and IIIc) cause craniosynostosis syndrome and chondrodysplasia syndrome. FGF10, a major ligand for FGFR2-IIIb and FGFR1-IIIb, is a key participant in the epithelial-mesenchymal interactions required for morphogenetic events. FGF10 also regulates preadipocyte differentiation and early chondrogenesis in vitro, suggesting that FGF10-FGFR signaling may be involved in craniofacial skeletogenesis in vivo. To test this hypothesis, we used a tet-on doxycycline-inducible transgenic mouse model (FGF10 Tg) to overexpress from embryonic day 12.5. expression was 73.3-fold higher in FGF10 Tg than in wild-type mice. FGF10 Tg mice exhibited craniofacial anomalies, such as a short rostrum and mandible, an underdeveloped (cleft) palate, and no tympanic ring. Opposite effects on chondrogenesis in different anatomical regions were seen, e.g., hyperplasia in the nasal septum and hypoplasia in the mandibular condyle. We found an alternative splicing variant of with a predicted translation product lacking the transmembrane domain, and suggesting a soluble form of FGFR2-IIIb (sFGFR2-IIIb), differentially expressed in some of the craniofacial bones and cartilages. Thus, excessive FGF10 may perturb signal transduction of the FGF-FGFR, leading to craniofacial skeletal abnormalities in FGF10 Tg mice.

摘要

成纤维细胞生长因子受体(FGFR)-2 亚型(IIIb 型和 IIIc 型)常见细胞外结构域的突变会导致颅缝早闭综合征和软骨发育不全综合征。FGF10 是 FGFR2-IIIb 和 FGFR1-IIIb 的主要配体,是形态发生事件所需上皮-间充质相互作用的关键参与者。FGF10 在体外还调节前脂肪细胞分化和早期软骨形成,提示 FGF10-FGFR 信号可能参与体内颅面骨骼发生。为验证这一假说,我们使用四环素诱导型转基因小鼠模型(FGF10 Tg)从胚胎第 12.5 天开始过表达 。在 FGF10 Tg 小鼠中 的表达比野生型小鼠高 73.3 倍。FGF10 Tg 小鼠表现出颅面异常,如吻部和下颌短、腭裂发育不全以及无鼓环。在不同解剖区域观察到对软骨形成的相反影响,例如鼻中隔增生而下颌髁发育不全。我们发现了 的一种可变剪接变体,其预测的翻译产物缺乏跨膜结构域,提示存在可溶性形式的 FGFR2-IIIb(sFGFR2-IIIb),在一些颅面骨和软骨中差异表达。因此,过量的 FGF10 可能扰乱 FGF-FGFR 的信号转导,导致 FGF10 Tg 小鼠出现颅面骨骼异常。

https://cdn.ncbi.nlm.nih.gov/pmc/blobs/19a9/10236464/044d32e163e5/gr1.jpg

文献AI研究员

20分钟写一篇综述,助力文献阅读效率提升50倍。

立即体验

用中文搜PubMed

大模型驱动的PubMed中文搜索引擎

马上搜索

文档翻译

学术文献翻译模型,支持多种主流文档格式。

立即体验