• 文献检索
  • 文档翻译
  • 深度研究
  • 学术资讯
  • Suppr Zotero 插件Zotero 插件
  • 邀请有礼
  • 套餐&价格
  • 历史记录
应用&插件
Suppr Zotero 插件Zotero 插件浏览器插件Mac 客户端Windows 客户端微信小程序
定价
高级版会员购买积分包购买API积分包
服务
文献检索文档翻译深度研究API 文档MCP 服务
关于我们
关于 Suppr公司介绍联系我们用户协议隐私条款
关注我们

Suppr 超能文献

核心技术专利:CN118964589B侵权必究
粤ICP备2023148730 号-1Suppr @ 2026

文献检索

告别复杂PubMed语法,用中文像聊天一样搜索,搜遍4000万医学文献。AI智能推荐,让科研检索更轻松。

立即免费搜索

文件翻译

保留排版,准确专业,支持PDF/Word/PPT等文件格式,支持 12+语言互译。

免费翻译文档

深度研究

AI帮你快速写综述,25分钟生成高质量综述,智能提取关键信息,辅助科研写作。

立即免费体验

进口戊型肝炎病毒基因型 1:类固醇脉冲治疗急性肝炎的罕见病例。

Imported Hepatitis E Virus Genotype 1: A Rare Case of Acute Hepatitis Managed with Steroid Pulse Therapy.

机构信息

Division of Gastroenterology, Shinko Hospital, Japan.

出版信息

Intern Med. 2024 Feb 1;63(3):393-397. doi: 10.2169/internalmedicine.1976-23. Epub 2023 Jun 7.

DOI:10.2169/internalmedicine.1976-23
PMID:37286506
原文链接:https://pmc.ncbi.nlm.nih.gov/articles/PMC10901713/
Abstract

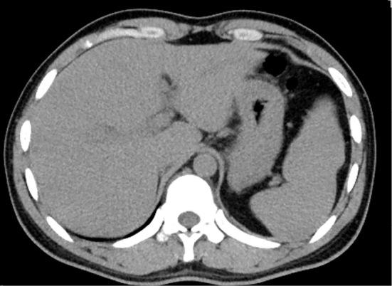
A 26-year-old Indian man who had arrived in Japan 24 days prior presented to our hospital with abdominal pain and a fever. A blood test revealed marked hepatic dysfunction, and imaging tests confirmed a diagnosis of acute hepatitis. The patient's liver function and coagulability deteriorated, and his general condition was poor. Given the possibility of fulminant hepatic failure, we initiated steroid pulse therapy. Following the initiation of steroid therapy, the patient's liver function and subjective symptoms rapidly improved. Testing revealed positive findings for IgA-hepatitis E virus, and a genetic analysis of hepatitis E identified genotype 1, which is not endemic to Japan, leading to a definitive diagnosis of imported hepatitis E infection from India. The successful response to steroid therapy highlights the potential benefit of this approach in managing severe cases of acute hepatitis E, a rare occurrence in Japan. This case underscores the importance of considering hepatitis E infection in individuals with a recent travel history to regions with high prevalence and the potential benefits of steroid therapy in managing severe cases of acute hepatitis E.

摘要

一位 26 岁的印度男性,24 天前抵达日本后出现腹痛和发热,到我院就诊。血液检查显示明显的肝功能障碍,影像学检查确诊为急性肝炎。患者的肝功能和凝血功能恶化,一般情况较差。鉴于可能发生暴发性肝衰竭,我们开始使用类固醇脉冲疗法。类固醇治疗开始后,患者的肝功能和主观症状迅速改善。检测发现 IgA 型戊型肝炎病毒阳性,戊型肝炎的基因分析确定为基因型 1,这种基因型在日本并非地方性流行,因此明确诊断为从印度输入的戊型肝炎感染。类固醇治疗的成功反应表明,这种方法在治疗日本罕见的严重急性戊型肝炎病例中可能具有益处。本病例强调了在有近期旅行史前往戊型肝炎高发地区的个体中考虑戊型肝炎感染的重要性,以及类固醇治疗在管理严重急性戊型肝炎病例中的潜在益处。

https://cdn.ncbi.nlm.nih.gov/pmc/blobs/c44f/10901713/3b901dc91bb0/1349-7235-63-0393-g003.jpg
https://cdn.ncbi.nlm.nih.gov/pmc/blobs/c44f/10901713/78eb240b0878/1349-7235-63-0393-g001.jpg
https://cdn.ncbi.nlm.nih.gov/pmc/blobs/c44f/10901713/339da37c1b1e/1349-7235-63-0393-g002.jpg
https://cdn.ncbi.nlm.nih.gov/pmc/blobs/c44f/10901713/3b901dc91bb0/1349-7235-63-0393-g003.jpg
https://cdn.ncbi.nlm.nih.gov/pmc/blobs/c44f/10901713/78eb240b0878/1349-7235-63-0393-g001.jpg
https://cdn.ncbi.nlm.nih.gov/pmc/blobs/c44f/10901713/339da37c1b1e/1349-7235-63-0393-g002.jpg
https://cdn.ncbi.nlm.nih.gov/pmc/blobs/c44f/10901713/3b901dc91bb0/1349-7235-63-0393-g003.jpg

相似文献

1
Imported Hepatitis E Virus Genotype 1: A Rare Case of Acute Hepatitis Managed with Steroid Pulse Therapy.进口戊型肝炎病毒基因型 1:类固醇脉冲治疗急性肝炎的罕见病例。
Intern Med. 2024 Feb 1;63(3):393-397. doi: 10.2169/internalmedicine.1976-23. Epub 2023 Jun 7.
2
Acute hepatitis due to hepatitis E virus genotype 1 as an imported infectious disease in Japan.日本输入性戊型肝炎病毒1型所致急性肝炎
Intern Med. 2010;49(23):2613-6. doi: 10.2169/internalmedicine.49.4221. Epub 2010 Dec 1.
3
Hepatitis E Virus Genotype 1 Cases Imported to Portugal from India, 2016.2016 年葡萄牙从印度输入的 1 型戊型肝炎病毒病例。
Ann Hepatol. 2018 Mar 1;17(2):335-338. doi: 10.5604/01.3001.0010.8667.
4
[A case of fulminant hepatitis E treated with artificial liver support].[1例暴发性戊型肝炎患者接受人工肝支持治疗的病例]
Nihon Shokakibyo Gakkai Zasshi. 2007 Feb;104(2):219-25.
5
A retrospective study on imported hepatitis E in Japan.日本输入性戊型肝炎的回顾性研究。
Travel Med Infect Dis. 2012 Mar;10(2):80-5. doi: 10.1016/j.tmaid.2012.02.003. Epub 2012 Mar 8.
6
Infection of a Japanese patient by genotype 4 hepatitis e virus while traveling in Vietnam.一名日本患者在越南旅行期间感染了4型戊型肝炎病毒。
J Clin Microbiol. 2004 Aug;42(8):3883-5. doi: 10.1128/JCM.42.8.3883-3885.2004.
7
Hepatitis E in Israel: A nation-wide retrospective study.以色列的戊型肝炎:一项全国性回顾性研究。
World J Gastroenterol. 2016 Jun 28;22(24):5568-77. doi: 10.3748/wjg.v22.i24.5568.
8
A pediatric patient with acute hepatitis E in Japan.一名日本的小儿戊型肝炎患者。
J Infect Chemother. 2008 Oct;14(5):374-6. doi: 10.1007/s10156-008-0633-0. Epub 2008 Oct 21.
9
Liver transplantation for acute liver failure related to autochthonous genotype 3 hepatitis E virus infection.肝移植治疗与本土基因型 3 型戊型肝炎病毒感染相关的急性肝衰竭。
Clin Res Hepatol Gastroenterol. 2014 Feb;38(1):24-31. doi: 10.1016/j.clinre.2013.05.013. Epub 2014 Jan 23.
10
Genotype-4 hepatitis E in a human after ingesting roe deer meat in South Korea.韩国食用狍子肉后发生的基因 4 型戊型肝炎。
Clin Mol Hepatol. 2013 Sep;19(3):309-14. doi: 10.3350/cmh.2013.19.3.309. Epub 2013 Sep 30.

引用本文的文献

1
Systematic Evaluation of Guidelines for the Diagnosis and Treatment of Hepatitis E Virus Infection.戊型肝炎病毒感染诊断和治疗指南的系统评价
J Clin Transl Hepatol. 2024 Aug 28;12(8):739-749. doi: 10.14218/JCTH.2023.00508. Epub 2024 Jun 28.

本文引用的文献

1
Nationwide survey of hepatitis E virus infection among wildlife in Japan.日本野生动物中戊型肝炎病毒感染的全国性调查。
J Vet Med Sci. 2022 Jul 10;84(7):992-1000. doi: 10.1292/jvms.22-0237. Epub 2022 Jun 7.
2
Hepatitis E Virus: An emerging enigmatic and underestimated pathogen.戊型肝炎病毒:一种新出现的神秘且被低估的病原体。
Saudi J Biol Sci. 2022 Jan;29(1):499-512. doi: 10.1016/j.sjbs.2021.09.003. Epub 2021 Sep 20.
3
Hepatitis E: Current Status in India.戊型肝炎:印度的现状
Clin Liver Dis (Hoboken). 2021 Oct 15;18(3):168-172. doi: 10.1002/cld.1146. eCollection 2021 Sep.
4
Hepatitis E Infection With Acute Liver Failure.戊型肝炎感染伴急性肝衰竭
ACG Case Rep J. 2020 Mar 18;7(3):e00361. doi: 10.14309/crj.0000000000000361. eCollection 2020 Mar.
5
Natural History, Clinical Manifestations, and Pathogenesis of Hepatitis E Virus Genotype 1 and 2 Infections.戊型肝炎病毒基因型 1 和 2 感染的自然史、临床表现和发病机制。
Cold Spring Harb Perspect Med. 2019 Jul 1;9(7):a032136. doi: 10.1101/cshperspect.a032136.
6
Evaluation of the efficacy of steroid therapy on acute liver failure.评估类固醇疗法对急性肝衰竭的疗效。
Exp Ther Med. 2016 Nov;12(5):3121-3129. doi: 10.3892/etm.2016.3720. Epub 2016 Sep 20.
7
Characteristics of 20 Patients with Autochthonous Acute Hepatitis E in Hokkaido, Japan: First Report of Bilateral Facial Palsy Following the Infection with Genotype 4 Hepatitis E Virus.日本北海道20例散发性急性戊型肝炎患者的特征:4型戊型肝炎病毒感染后双侧面瘫的首例报告
Tohoku J Exp Med. 2015 Aug;236(4):263-71. doi: 10.1620/tjem.236.263.
8
[Treatment of acute liver failure in Japan].[日本急性肝衰竭的治疗]
Nihon Shokakibyo Gakkai Zasshi. 2015 May;112(5):829-39. doi: 10.11405/nisshoshi.112.829.
9
New foe treated with old guns - supportive role of steroids in the treatment of acute severe hepatitis E.旧药应对新敌人——类固醇在急性重型戊型肝炎治疗中的支持作用
BMC Gastroenterol. 2014 Nov 15;14:191. doi: 10.1186/s12876-014-0191-0.
10
Acute liver failure.急性肝衰竭
N Engl J Med. 2013 Dec 26;369(26):2525-34. doi: 10.1056/NEJMra1208937.