Suppr超能文献

肛门直肠胃肠道间质瘤:1例罕见病例报告

Anorectal Gastrointestinal Stromal Tumor: Report of a Rare Case.

作者信息

Patel Akash, Shah Akash, Patel Ishan, Patel Sunil

机构信息

Medical School, Gujarat Cancer Society (GCS) Medical College and Hospital, Ahmedabad, IND.

Oncology, Apollo Hospitals, Ahmedabad, IND.

出版信息

Cureus. 2023 May 7;15(5):e38690. doi: 10.7759/cureus.38690. eCollection 2023 May.

Abstract

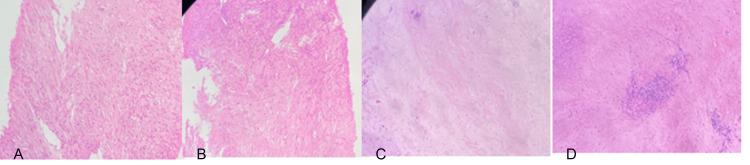
Gastrointestinal stromal tumors (GIST) are mesenchymal spindle cell tumors of the gastrointestinal tract with the rarest occurrence in anal canal sites accounting for approximately only 2-8% of the anorectal GISTs. GISTs involve the expression of KIT (CD117) tyrosine kinase with the presence of mutations in KIT or platelet-derived growth factor alpha (PDGFRα) and are identified as an important target in therapy. The elderly population in the age of 70s appears to be at the highest risk with abdominal pain, GI bleeding, anemia, or weight loss as non-specific presenting symptoms. Here, we describe a case of a 56-year-old man who presented with vague dull pain in his left buttock diagnosed with GIST with a submucosal mass in the posterior wall of the anal canal and rectum and a tumor size of 45x42x37 mm. An immunohistological study of the biopsy sample reported positive for CD 117, CD 34, and DOG 1. The patient was prescribed neoadjuvant imatinib for 8 months with a good response and subsequently underwent transanal endoscopic microsurgical resection. Post-operatively, the patient was continued on adjuvant imatinib followed by regular restaging CT chest/abdomen/pelvis and surveillance flexible sigmoidoscopy every 6 months.

摘要

胃肠道间质瘤(GIST)是胃肠道的间充质梭形细胞瘤,在肛管部位最为罕见,约占肛肠GIST的2-8%。GIST涉及KIT(CD117)酪氨酸激酶的表达,存在KIT或血小板衍生生长因子α(PDGFRα)突变,被确定为治疗的重要靶点。70多岁的老年人群似乎风险最高,腹痛、胃肠道出血、贫血或体重减轻是其非特异性表现症状。在此,我们描述一例56岁男性,其左臀部出现模糊钝痛,诊断为GIST,肛管和直肠后壁有一个黏膜下肿块,肿瘤大小为45x42x37mm。活检样本的免疫组织学研究报告显示CD 117、CD 34和DOG 1呈阳性。该患者接受了8个月的新辅助伊马替尼治疗,反应良好,随后接受了经肛门内镜显微手术切除。术后,患者继续接受辅助伊马替尼治疗,随后定期进行胸部/腹部/盆腔重新分期CT检查,并每6个月进行一次监测性乙状结肠镜检查。

https://cdn.ncbi.nlm.nih.gov/pmc/blobs/9ca2/10244938/75c01112fb21/cureus-0015-00000038690-i01.jpg

文献AI研究员

20分钟写一篇综述,助力文献阅读效率提升50倍。

立即体验

用中文搜PubMed

大模型驱动的PubMed中文搜索引擎

马上搜索

文档翻译

学术文献翻译模型,支持多种主流文档格式。

立即体验