Suppr超能文献

前列腺多模态成像的当代综述

Contemporary Review of Multimodality Imaging of the Prostate Gland.

作者信息

Calderone Carli E, Turner Eric M, Hayek Omar E, Summerlin David, West Janelle T, Rais-Bahrami Soroush, Galgano Samuel J

机构信息

Department of Radiology, University of Alabama at Birmingham, Birmingham, AL 35294, USA.

Department of Urology, University of Alabama at Birmingham, Birmingham, AL 35294, USA.

出版信息

Diagnostics (Basel). 2023 May 26;13(11):1860. doi: 10.3390/diagnostics13111860.

Abstract

Tissue changes and the enlargement of the prostate, whether benign or malignant, are among the most common groups of diseases that affect men and can have significant impacts on length and quality of life. The prevalence of benign prostatic hyperplasia (BPH) increases significantly with age and affects nearly all men as they grow older. Other than skin cancers, prostate cancer is the most common cancer among men in the United States. Imaging is an essential component in the diagnosis and management of these conditions. Multiple modalities are available for prostate imaging, including several novel imaging modalities that have changed the landscape of prostate imaging in recent years. This review will cover the data relating to commonly used standard-of-care prostate imaging modalities, advances in newer technologies, and newer standards that impact prostate gland imaging.

摘要

组织变化以及前列腺肿大,无论良性还是恶性,都是影响男性的最常见疾病类别,会对生活长度和质量产生重大影响。良性前列腺增生(BPH)的患病率随年龄显著增加,几乎所有男性随着年龄增长都会受到影响。除皮肤癌外,前列腺癌是美国男性中最常见的癌症。影像学是这些疾病诊断和管理的重要组成部分。有多种前列腺成像方式可供选择,包括近年来改变了前列腺成像格局的几种新型成像方式。本综述将涵盖与常用的标准护理前列腺成像方式、新技术进展以及影响前列腺成像的新标准相关的数据。

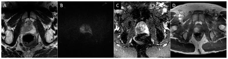
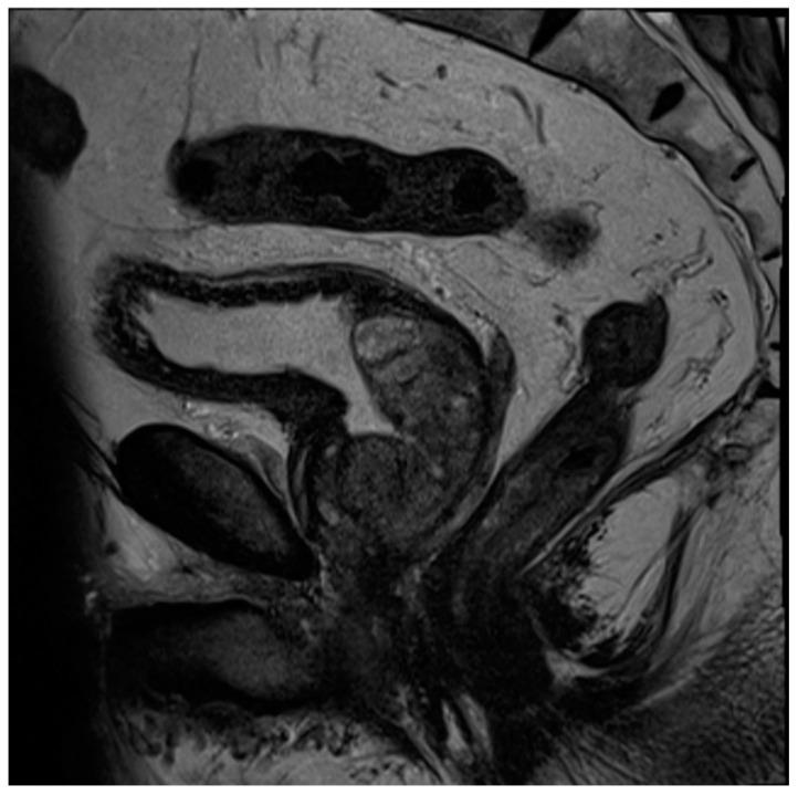
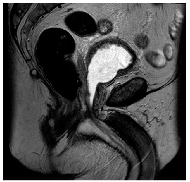
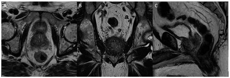
https://cdn.ncbi.nlm.nih.gov/pmc/blobs/5151/10252565/45a25518df48/diagnostics-13-01860-g001.jpg

文献AI研究员

20分钟写一篇综述,助力文献阅读效率提升50倍。

立即体验

用中文搜PubMed

大模型驱动的PubMed中文搜索引擎

马上搜索

文档翻译

学术文献翻译模型,支持多种主流文档格式。

立即体验