Suppr超能文献

霉酚酸酯所致结肠损伤,内镜下表现为缺血性结肠炎。

Mycophenolate Mofetil-Induced Colonic Injury Manifesting Endoscopically As Ischemic Colitis.

作者信息

Miranda Clive J, Ali Murad H, Ayaz Muddasir, Khan Raheel M, Ismail Mayada

机构信息

Internal Medicine, University at Buffalo, Buffalo, USA.

Gastroenterology, University at Buffalo, Buffalo, USA.

出版信息

Cureus. 2023 May 10;15(5):e38856. doi: 10.7759/cureus.38856. eCollection 2023 May.

Abstract

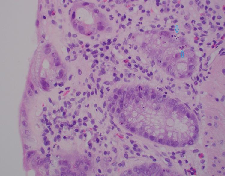
Mycophenolate mofetil (MMOF) is a commonly used immunosuppressive prodrug in kidney transplant patients. However, it is not without side effects. The most common of these is diarrhea which inadvertently leads to colonoscopic and endoscopic evaluation when all other workup returns negative. Colonoscopies often show diffuse ulcers and colitis changes depending on the degree of diarrhea. In rare situations, MMOF-induced ischemic colitis may occur on gross endoscopy. We describe an unusual phenomenon of an adult male status post renal transplant with histopathologically diagnosed MMOF-induced colitis who developed gross endoscopic findings concerning ischemic colitis. Our case highlights the importance of recognizing that MMOF-induced colonic changes can rarely mimic ischemic colitis. With this in mind, we aim for gastroenterologists to better understand the varying endoscopic colonic findings of this immunosuppressive drug.

摘要

霉酚酸酯(MMOF)是肾移植患者常用的免疫抑制前体药物。然而,它并非没有副作用。其中最常见的是腹泻,当所有其他检查结果均为阴性时,腹泻会无意中导致结肠镜和内镜检查评估。根据腹泻程度,结肠镜检查通常会显示弥漫性溃疡和结肠炎改变。在罕见情况下,肉眼内镜检查可能会出现MMOF诱导的缺血性结肠炎。我们描述了一名成年男性肾移植术后的不寻常现象,其经组织病理学诊断为MMOF诱导的结肠炎,出现了与缺血性结肠炎相关的肉眼内镜检查结果。我们的病例强调了认识到MMOF诱导的结肠改变很少能模拟缺血性结肠炎的重要性。考虑到这一点,我们旨在让胃肠病学家更好地了解这种免疫抑制药物不同的内镜下结肠表现。

https://cdn.ncbi.nlm.nih.gov/pmc/blobs/0d79/10256567/9900f2256f03/cureus-0015-00000038856-i01.jpg

相似文献

1
Mycophenolate Mofetil-Induced Colonic Injury Manifesting Endoscopically As Ischemic Colitis.
Cureus. 2023 May 10;15(5):e38856. doi: 10.7759/cureus.38856. eCollection 2023 May.
3
Unusually late-onset mycophenolate mofetil-related colitis.
Am J Health Syst Pharm. 2014 Nov 1;71(21):1858-61. doi: 10.2146/ajhp140085.
5
Mycophenolate mofetil-related pancolitis in a kidney transplant recipient.
Exp Clin Transplant. 2012 Oct;10(5):501-5. doi: 10.6002/ect.2011.0200. Epub 2012 May 3.
6
Spectrum of histologic changes in colonic biopsies in patients treated with mycophenolate mofetil.
Mod Pathol. 2009 Jun;22(6):737-43. doi: 10.1038/modpathol.2009.44. Epub 2009 Mar 27.
7
Histologic features of mycophenolate mofetil-related colitis: a graft-versus-host disease-like pattern.
Int J Surg Pathol. 2003 Oct;11(4):295-302. doi: 10.1177/106689690301100406.
8
Mycophenolate mofetil-induced colitis in children.
J Clin Gastroenterol. 2009 Nov-Dec;43(10):967-9. doi: 10.1097/MCG.0b013e3181a8754d.
9
Mycophenolate Induced Colitis: One-year Post-kidney Transplantation.
Oman Med J. 2023 Mar 31;38(2):e489. doi: 10.5001/omj.2023.14. eCollection 2023 Mar.
10
Mycophenolate mofetil-induced segmental colitis mimicking ischemic colitis.
Case Rep Gastroenterol. 2014 Mar 19;8(1):95-100. doi: 10.1159/000360847. eCollection 2014 Jan.

本文引用的文献

1
Mycophenolate-induced Colitis: A Case Report with Focused Review of Literature.
Cureus. 2020 Jan 25;12(1):e6774. doi: 10.7759/cureus.6774.
2
A Unique Case of Mycophenolate Induced Colitis after 10 Years of Use.
Case Rep Gastrointest Med. 2016;2016:3058407. doi: 10.1155/2016/3058407. Epub 2016 Sep 7.
4
Mycophenolate mofetil-induced segmental colitis mimicking ischemic colitis.
Case Rep Gastroenterol. 2014 Mar 19;8(1):95-100. doi: 10.1159/000360847. eCollection 2014 Jan.
5
Mycophenolate mofetil therapy in the management of inflammatory bowel disease--a retrospective case series and review.
J Crohns Colitis. 2014 Aug;8(8):890-7. doi: 10.1016/j.crohns.2014.01.014. Epub 2014 Feb 4.
6
Spectrum of histologic changes in colonic biopsies in patients treated with mycophenolate mofetil.
Mod Pathol. 2009 Jun;22(6):737-43. doi: 10.1038/modpathol.2009.44. Epub 2009 Mar 27.
8
Mycophenolate mofetil and its mechanisms of action.
Immunopharmacology. 2000 May;47(2-3):85-118. doi: 10.1016/s0162-3109(00)00188-0.
9
Nephrotoxicity of immunosuppressive drugs: long-term consequences and challenges for the future.
Am J Kidney Dis. 2000 Feb;35(2):333-46. doi: 10.1016/s0272-6386(00)70348-9.

文献AI研究员

20分钟写一篇综述,助力文献阅读效率提升50倍。

立即体验

用中文搜PubMed

大模型驱动的PubMed中文搜索引擎

马上搜索

文档翻译

学术文献翻译模型,支持多种主流文档格式。

立即体验