Suppr超能文献

黏液性痣与多发性胶原瘤并存,呈单侧、皮节性及多节段分布。

Coexistence of mucinous nevus and multiple collagenoma with unilateral, dermatomal, and multi segmental distribution.

作者信息

Faghihi Gita, Moeine Reza, Mohaghegh Fatemeh, Rajabi Parvin, Shahriarirad Reza

机构信息

Department of Dermatology, School of Medicine Isfahan University of Medical Sciences Isfahan Iran.

Thoracic and Vascular Surgery Research Center Shiraz University of Medical Sciences Shiraz Iran.

出版信息

Clin Case Rep. 2023 Jun 13;11(6):e7429. doi: 10.1002/ccr3.7429. eCollection 2023 Jun.

Abstract

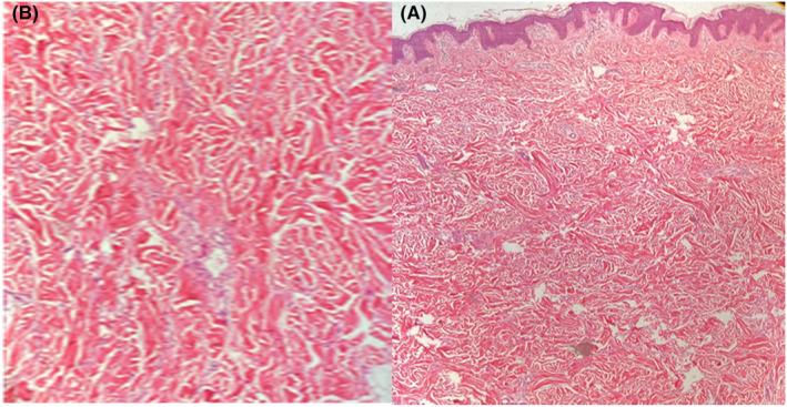
Connective tissue nevus is a hamartoma composed of excess amounts of one or several components of the dermis, such as collagen, elastin, and proteoglycans. This report introduces a 14-year-old girl with grouped flesh color papules and skin color nodules distributed unilaterally with a dermatomal pattern. These lesions involved more than one segment. Histopathology is the gold standard for diagnosing collagenoma and mucinous nevus. We reported the first case of mucinous nevus with multiple collagenoma that shows the specific clinical features.

摘要

结缔组织痣是一种错构瘤,由真皮的一种或几种成分(如胶原蛋白、弹性蛋白和蛋白聚糖)过量组成。本报告介绍了一名14岁女孩,其单侧出现成簇的肉色丘疹和肤色结节,呈皮节分布模式。这些皮损累及不止一个节段。组织病理学是诊断胶原瘤和黏液痣的金标准。我们报告了首例具有多种胶原瘤表现出特定临床特征的黏液痣病例。

https://cdn.ncbi.nlm.nih.gov/pmc/blobs/5520/10264934/71a34e1a1b4e/CCR3-11-e7429-g002.jpg

文献AI研究员

20分钟写一篇综述,助力文献阅读效率提升50倍。

立即体验

用中文搜PubMed

大模型驱动的PubMed中文搜索引擎

马上搜索

文档翻译

学术文献翻译模型,支持多种主流文档格式。

立即体验