Suppr超能文献

髋关节枪伤后髋关节置换的两步序贯管理:一例报告。

Two-step sequential management for hip arthroplasty after hip joint gunshot injury: A case report.

作者信息

Zandi Reza, Talebi Shahin, Ehsani Akbar, Nodehi Saeed

机构信息

Department of Orthopedic Surgery, Taleghani Hospital Research Development Committee, School of Medicine Shahid Beheshti University of Medical Sciences Tehran Iran.

Shaheed Beheshti University of Medical Science Tehran Iran.

出版信息

Clin Case Rep. 2023 Jun 17;11(6):e7569. doi: 10.1002/ccr3.7569. eCollection 2023 Jun.

Abstract

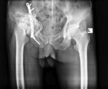
Combined fractures of the femoral head and acetabulum due to hip gunshot injuries (GSI) are rare, and there is no preferred treatment option. We present a 35-year-old male patient who sustained a right hip GSI. Delayed THA with a two-step sequential approach is a feasible management in this situation to manage soft tissue and decrease infection rate. At a 1-year follow-up visit, the pain was relieved, and the function improved significantly, and he had no complaints.

摘要

因髋部枪伤(GSI)导致的股骨头和髋臼联合骨折较为罕见,且尚无首选治疗方案。我们报告一名35岁男性患者,其遭受了右髋部枪伤。在这种情况下,采用两步序贯方法进行延迟全髋关节置换术(THA)是一种可行的治疗方式,可处理软组织并降低感染率。在1年的随访中,疼痛缓解,功能显著改善,患者无任何不适主诉。

https://cdn.ncbi.nlm.nih.gov/pmc/blobs/53cc/10276239/51f444b74094/CCR3-11-e7569-g004.jpg

文献检索

告别复杂PubMed语法,用中文像聊天一样搜索,搜遍4000万医学文献。AI智能推荐,让科研检索更轻松。

立即免费搜索

文件翻译

保留排版,准确专业,支持PDF/Word/PPT等文件格式,支持 12+语言互译。

免费翻译文档

深度研究

AI帮你快速写综述,25分钟生成高质量综述,智能提取关键信息,辅助科研写作。

立即免费体验