Suppr超能文献

F-FDG PET/CT成像在CA199升高的胆囊炎性假瘤中的应用:一例报告并文献复习

Application of F-FDG PET/CT imaging in gallbladder inflammatory pseudotumor with elevated CA199: a case report and review of literature.

作者信息

Shao Mingyan, Xu Rong, Qi Wanling, Luo Zhehuang, Liao Fengxiang, Fan Sisi

机构信息

Department of Nuclear Medicine, Jiangxi Provincial People's Hospital, The First Affiliated Hospital of Nanchang Medical College, Nanchang, Jiangxi, China.

Department of Pathology, Jiangxi Provincial People's Hospital, The First Affiliated Hospital of Nanchang Medical College, Nanchang, Jiangxi, China.

出版信息

Front Oncol. 2023 Jun 5;13:1136876. doi: 10.3389/fonc.2023.1136876. eCollection 2023.

Abstract

BACKGROUND

Gallbladder inflammatory pseudotumor (GIPT) is a nonspecific chronic proliferative inflammation of the gallbladder. At present, the pathogenesis is not clear, which may be related to bacterial and viral infections, congenital diseases, gallstones, chronic cholangitis and so on. GIPT is rare and the imaging examination has no obvious specificity. There are few reports on the F-FDG PET/CT imaging characteristics of GIPT. In this paper, F-FDG PET/CT findings of GIPT with elevated CA199 are reported and the literature is reviewed.

CASE DESCRIPTION

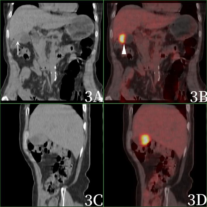
A 69-year-old female patient presented with recurrent intermittent right upper abdominal pain for more than 1 year, followed by nausea and vomiting for 3 hours, without fever, dizziness, chest tightness and other symptoms. Complete CT, MRI, PET/CT and related laboratory tests, CEA (-), AFP (-), Ca199 224.50U/mL ↑,F-FDG PET/CT images showed uneven thickening at the bottom of the gallbladder, slightly increased gallbladder volume, eccentric and localized thickening of the gallbladder body wall, nodular soft tissue density shadow, clear boundary, smooth gallbladder wall, presence and smooth hepatobiliary interface, increased FDG radioactivity uptake, SUVmax was 10.2.The tumor was resected after operation and was diagnosed as gallbladder inflammatory pseudotumor by postoperative pathology.

CONCLUSION

F-FDGPET/CT imaging has a certain significance for gallbladder inflammatory pseudotumor. In patients with chronic cholecystitis, when the CA199 increases, the gallbladder wall appears localized thickening, the hepatobiliary interface exists and is smooth, and the F-FDG metabolism is mildly to moderately increase. Gallbladder cancer cannot be diagnosed alone, and the possibility of gallbladder inflammatory pseudotumor should also be considered. However, it should be noted that the cases with unclear diagnosis should still be actively treated with surgery, so as not to delay the treatment opportunity.

摘要

背景

胆囊炎性假瘤(GIPT)是一种胆囊非特异性慢性增殖性炎症。目前,其发病机制尚不清楚,可能与细菌和病毒感染、先天性疾病、胆结石、慢性胆管炎等有关。GIPT较为罕见,影像学检查无明显特异性。关于GIPT的F-FDG PET/CT影像特征的报道较少。本文报道了CA199升高的GIPT的F-FDG PET/CT表现并进行文献复习。

病例描述

一名69岁女性患者,反复间歇性右上腹疼痛1年余,伴恶心、呕吐3小时,无发热、头晕、胸闷等症状。完善CT、MRI、PET/CT及相关实验室检查,癌胚抗原(CEA)(-),甲胎蛋白(AFP)(-),糖类抗原199(Ca199)224.50U/mL↑,F-FDG PET/CT图像显示胆囊底部不均匀增厚,胆囊体积略增大,胆囊体壁偏心性局限性增厚,呈结节状软组织密度影,边界清晰,胆囊壁光滑,肝门界面存在且光滑,FDG放射性摄取增加,最大标准摄取值(SUVmax)为10.2。术后切除肿瘤,术后病理诊断为胆囊炎性假瘤。

结论

F-FDG PET/CT成像对胆囊炎性假瘤具有一定意义。在慢性胆囊炎患者中,当CA199升高,胆囊壁出现局限性增厚,肝门界面存在且光滑,F-FDG代谢呈轻至中度增高时,不能单独诊断为胆囊癌,还应考虑胆囊炎性假瘤的可能性。但需注意,对于诊断不明确的病例仍应积极采取手术治疗,以免延误治疗时机。

https://cdn.ncbi.nlm.nih.gov/pmc/blobs/1bd9/10277686/007fcc671785/fonc-13-1136876-g001.jpg

文献检索

告别复杂PubMed语法,用中文像聊天一样搜索,搜遍4000万医学文献。AI智能推荐,让科研检索更轻松。

立即免费搜索

文件翻译

保留排版,准确专业,支持PDF/Word/PPT等文件格式,支持 12+语言互译。

免费翻译文档

深度研究

AI帮你快速写综述,25分钟生成高质量综述,智能提取关键信息,辅助科研写作。

立即免费体验