Primaputra Muhammad Rizqi Adhi, Laras Sashia, Kamal Achmad Fauzi, Prabowo Yogi
Department of Orthopaedic and Traumatology, Dr. Cipto Mangunkusumo General Hospital, Faculty of Medicine Universitas Indonesia, Pangeran Diponegoro Street number 71, Central Jakarta, Jakarta, Indonesia.
Department of Orthopaedic and Traumatology, Dr. Cipto Mangunkusumo General Hospital, Faculty of Medicine Universitas Indonesia, Pangeran Diponegoro Street number 71, Central Jakarta, Jakarta, Indonesia.
Int J Surg Case Rep. 2023 Jul;108:108395. doi: 10.1016/j.ijscr.2023.108395. Epub 2023 Jun 15.
Periosteal ganglion cyst is a rare disorder, found only in 55 out of 100,000 people annually. Periosteal ganglion location may cause partial external cortical destruction with irregular saucerization and erosion. This report presents a rare case of periosteal ganglion cyst that occurred of the cruris sinistra.
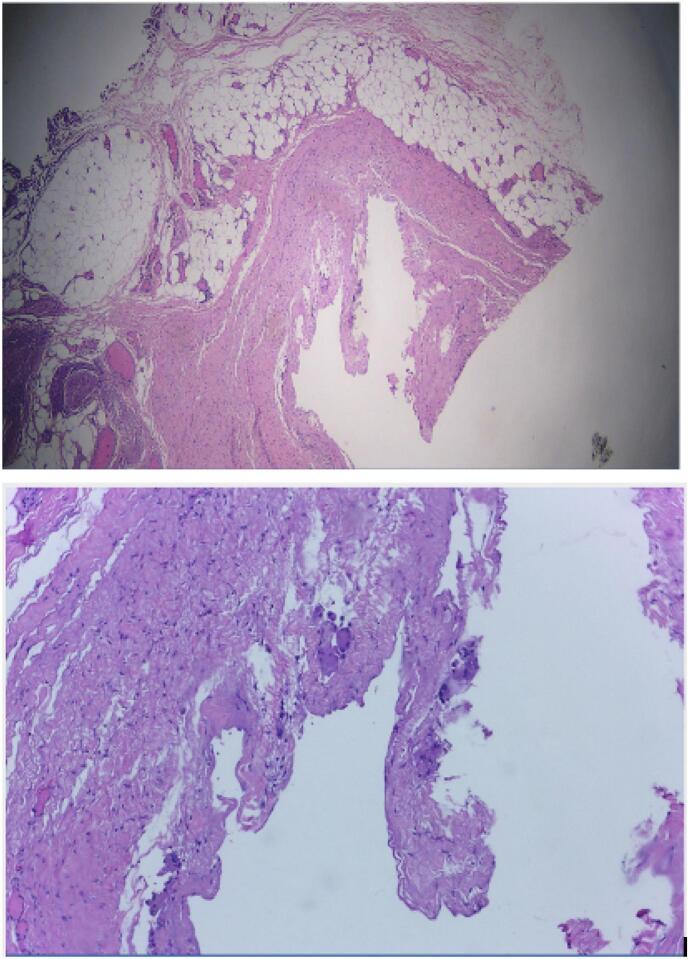
A male patient, 68 years old, came with complaint of a lump in the left cruris since one year ago. Nine months later, the lump has increased in size like a chicken egg and still felt painless. MRI result revealed a well-circumscribed multilocular cystic lesion in the peri-osseous soft tissue of the tibia. We performed directly excisional biopsy within the mass, and the histopathology result was periosteal ganglion cyst.
The exact pathogenesis of periosteal ganglion is unclear. Synovial herniation and mucoid degeneration of the connective tissue of the periosteum are two suggested mechanisms. In some cases, ganglion cysts may compress nearby nerves. Surgical treatment is recommended for patients who still experience symptoms after non-surgical management has failed. Complete resection of the cyst and surrounding periosteum is recommended to prevent recurrence. After 6 months post-operative follow up clinical examination, no recurrence symptoms founded on the patient.
Periosteal ganglion is a rare lesion and may mimic other bone surface lesions. Resection of the periosteal ganglion cyst with surrounding periosteum is important to prevent recurrence.