Suppr超能文献

使用盐酸提取细胞外基质时罗非鱼(骨骼)的时间依赖性脱矿作用

Time-Dependent Demineralization of Tilapia ( Bones Using Hydrochloric Acid for Extracellular Matrix Extraction.

作者信息

Nisperos Michael John, Bacosa Hernando, Lumancas Gladine, Arellano Fernan, Aron Jemwel, Baclayon Lean, Bantilan Zesreal Cain, Labares Marionilo, Bual Ronald

机构信息

Environmental Science Graduate Program, Department of Biological Sciences, College of Science and Mathematics, Mindanao State University-Iligan Institute of Technology, Iligan City 9200, Philippines.

Center for Sustainable Polymers, Mindanao State University-Iligan Institute of Technology, Iligan City 9200, Philippines.

出版信息

Biomimetics (Basel). 2023 May 23;8(2):217. doi: 10.3390/biomimetics8020217.

Abstract

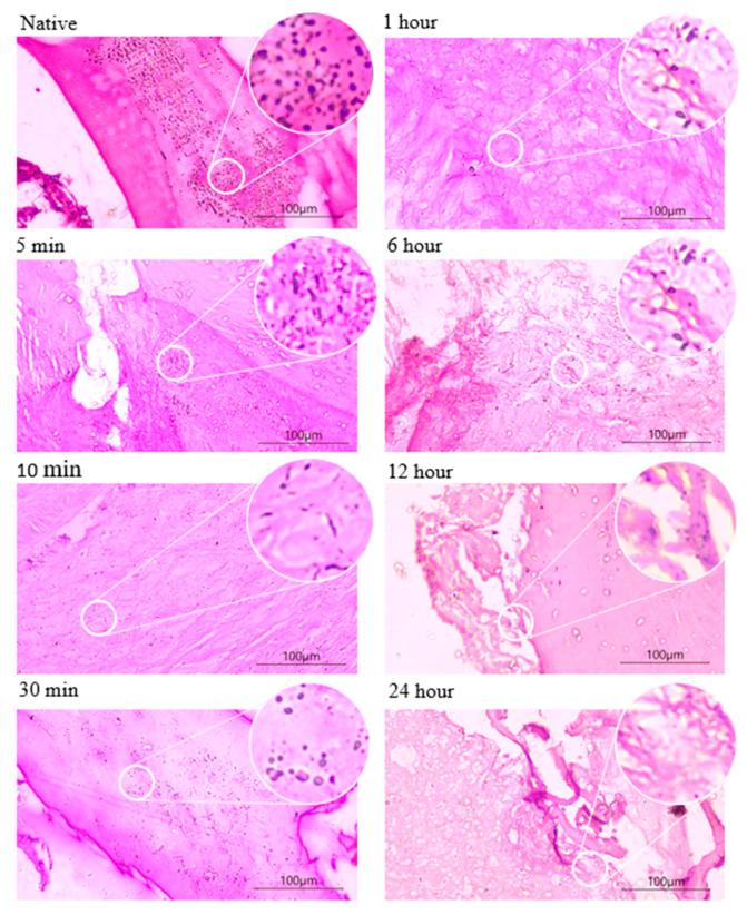
Tilapia ) is a widely cultivated fish in tropical and subtropical regions such as the Philippines, generating substantial waste during processing, including bones that are a valuable source of extracellular matrix (ECM). However, the extraction of ECM from fish bones requires an essential step of demineralization. This study aimed to assess the efficiency of tilapia bone demineralization using 0.5 N HCl at different time durations. By evaluating the residual calcium concentration, reaction kinetics, protein content, and extracellular matrix (ECM) integrity through histological analysis, composition assessment, and thermal analysis, the effectiveness of the process was determined. Results revealed that after 1 h of demineralization, the calcium and protein contents were 1.10 ± 0.12% and 88.7 ± 0.58 μg/mL, respectively. The study found that after 6 h, the calcium content was almost completely removed, but the protein content was only 51.7 ± 1.52 μg/mL compared to 109.0 ± 1.0 μg/mL in native bone tissue. Additionally, the demineralization reaction followed second-order kinetics with an R value of 0.9964. Histological analysis using H&E staining revealed a gradual disappearance of the basophilic components and the emergence of lacunae, which can be attributed to decellularization and mineral content removal, respectively. As a result, organic components such as collagen remained in the bone samples. ATR-FTIR analysis showed that all demineralized bone samples retained collagen type I markers, including amide I, II, and III, amides A and B, and symmetric and antisymmetric CH bands. These findings provide a route for developing an effective demineralization protocol to extract high-quality ECM from fish bones, which could have important nutraceutical and biomedical applications.

摘要

罗非鱼是菲律宾等热带和亚热带地区广泛养殖的鱼类,在加工过程中会产生大量废弃物,包括骨头,而骨头是细胞外基质(ECM)的宝贵来源。然而,从鱼骨中提取ECM需要一个关键的脱矿步骤。本研究旨在评估在不同时间使用0.5 N盐酸对罗非鱼骨头进行脱矿的效率。通过组织学分析、成分评估和热分析来评估残留钙浓度、反应动力学、蛋白质含量和细胞外基质(ECM)完整性,从而确定该过程的有效性。结果显示,脱矿1小时后,钙含量和蛋白质含量分别为1.10±0.12%和88.7±0.58μg/mL。研究发现,6小时后,钙含量几乎完全去除,但蛋白质含量仅为51.7±1.52μg/mL,而天然骨组织中的蛋白质含量为109.0±1.0μg/mL。此外,脱矿反应遵循二级动力学,R值为0.9964。使用苏木精和伊红(H&E)染色的组织学分析显示,嗜碱性成分逐渐消失,腔隙出现,这分别可归因于细胞脱除和矿物质含量去除。结果,骨样品中保留了胶原蛋白等有机成分。衰减全反射傅里叶变换红外光谱(ATR-FTIR)分析表明,所有脱矿骨样品都保留了I型胶原蛋白标记物,包括酰胺I、II和III、酰胺A和B以及对称和反对称CH带。这些发现为制定一种有效的脱矿方案以从鱼骨中提取高质量的ECM提供了一条途径,这可能具有重要的营养保健和生物医学应用。

https://cdn.ncbi.nlm.nih.gov/pmc/blobs/0568/10296695/565e10d31ffb/biomimetics-08-00217-g001.jpg

文献AI研究员

20分钟写一篇综述,助力文献阅读效率提升50倍。

立即体验

用中文搜PubMed

大模型驱动的PubMed中文搜索引擎

马上搜索

文档翻译

学术文献翻译模型,支持多种主流文档格式。

立即体验