• 文献检索
  • 文档翻译
  • 深度研究
  • 学术资讯
  • Suppr Zotero 插件Zotero 插件
  • 邀请有礼
  • 套餐&价格
  • 历史记录
应用&插件
Suppr Zotero 插件Zotero 插件浏览器插件Mac 客户端Windows 客户端微信小程序
定价
高级版会员购买积分包购买API积分包
服务
文献检索文档翻译深度研究API 文档MCP 服务
关于我们
关于 Suppr公司介绍联系我们用户协议隐私条款
关注我们

Suppr 超能文献

核心技术专利:CN118964589B侵权必究
粤ICP备2023148730 号-1Suppr @ 2026

文献检索

告别复杂PubMed语法,用中文像聊天一样搜索,搜遍4000万医学文献。AI智能推荐,让科研检索更轻松。

立即免费搜索

文件翻译

保留排版,准确专业,支持PDF/Word/PPT等文件格式,支持 12+语言互译。

免费翻译文档

深度研究

AI帮你快速写综述,25分钟生成高质量综述,智能提取关键信息,辅助科研写作。

立即免费体验

氟脱氧葡萄糖正电子发射断层扫描/计算机断层扫描(F-FDG PET/CT)在多脏器移植患者中的临床应用价值

Clinical Utility of Fluorodeoxyglucose Positron Emission Tomography/Computed Tomography (F-FDG PET/CT) in Multivisceral Transplant Patients.

作者信息

Ong Shao Jin, Sharkey Lisa M, Low Kai En, Cheow Heok K, Butler Andrew J, Buscombe John R

机构信息

Addenbrookes Hospital, Cambridge Universities Hospitals NHS Foundation Trust, Cambridge CB2 0QQ, UK.

出版信息

J Imaging. 2023 Jun 7;9(6):114. doi: 10.3390/jimaging9060114.

DOI:10.3390/jimaging9060114
PMID:37367462
原文链接:https://pmc.ncbi.nlm.nih.gov/articles/PMC10301565/
Abstract

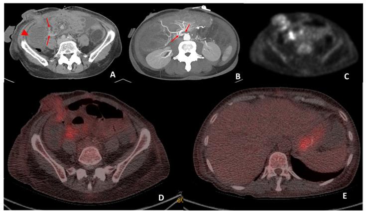
Multivisceral transplant (MVTx) refers to a composite graft from a cadaveric donor, which often includes the liver, the pancreaticoduodenal complex, and small intestine transplanted en bloc. It remains rare and is performed in specialist centres. Post-transplant complications are reported at a higher rate in multivisceral transplants because of the high levels of immunosuppression used to prevent rejection of the highly immunogenic intestine. In this study, we analyzed the clinical utility of 28 F-FDG PET/CT scans in 20 multivisceral transplant recipients in whom previous non-functional imaging was deemed clinically inconclusive. The results were compared with histopathological and clinical follow-up data. In our study, the accuracy of F-FDG PET/CT was determined as 66.7%, where a final diagnosis was confirmed clinically or via pathology. Of the 28 scans, 24 scans (85.7%) directly affected patient management, of which 9 were related to starting of new treatments and 6 resulted in an ongoing treatment or planned surgery being stopped. This study demonstrates that F-FDG PET/CT is a promising technique in identifying life-threatening pathologies in this complex group of patients. It would appear that F-FDG PET/CT has a good level of accuracy, including for those MVTx patients suffering from infection, post-transplant lymphoproliferative disease, and malignancy.

摘要

多脏器移植(MVTx)是指来自尸体供体的复合移植物,通常包括整块移植的肝脏、胰十二指肠复合体和小肠。这种移植仍然很少见,且在专科中心进行。由于用于预防高免疫原性肠道排斥反应的免疫抑制水平较高,多脏器移植术后并发症的报告发生率更高。在本研究中,我们分析了28例F-FDG PET/CT扫描在20例多脏器移植受者中的临床应用价值,这些受者之前的非功能性成像在临床上被认为无定论。将结果与组织病理学和临床随访数据进行比较。在我们的研究中,F-FDG PET/CT的准确性被确定为66.7%,最终诊断通过临床或病理学得到证实。在28次扫描中,24次扫描(85.7%)直接影响了患者的治疗管理,其中9次与开始新治疗有关,6次导致正在进行的治疗或计划中的手术停止。这项研究表明,F-FDG PET/CT在识别这类复杂患者群体中的危及生命的病变方面是一种有前景的技术。看来F-FDG PET/CT具有较高的准确性,包括对于那些患有感染、移植后淋巴细胞增生性疾病和恶性肿瘤的多脏器移植患者。

https://cdn.ncbi.nlm.nih.gov/pmc/blobs/fc67/10301565/69655fb653dc/jimaging-09-00114-g005.jpg
https://cdn.ncbi.nlm.nih.gov/pmc/blobs/fc67/10301565/ae03dd24dd2b/jimaging-09-00114-g001.jpg
https://cdn.ncbi.nlm.nih.gov/pmc/blobs/fc67/10301565/ab206bb62fb1/jimaging-09-00114-g002.jpg
https://cdn.ncbi.nlm.nih.gov/pmc/blobs/fc67/10301565/0c401a054e32/jimaging-09-00114-g003.jpg
https://cdn.ncbi.nlm.nih.gov/pmc/blobs/fc67/10301565/be1433d99b66/jimaging-09-00114-g004.jpg
https://cdn.ncbi.nlm.nih.gov/pmc/blobs/fc67/10301565/69655fb653dc/jimaging-09-00114-g005.jpg
https://cdn.ncbi.nlm.nih.gov/pmc/blobs/fc67/10301565/ae03dd24dd2b/jimaging-09-00114-g001.jpg
https://cdn.ncbi.nlm.nih.gov/pmc/blobs/fc67/10301565/ab206bb62fb1/jimaging-09-00114-g002.jpg
https://cdn.ncbi.nlm.nih.gov/pmc/blobs/fc67/10301565/0c401a054e32/jimaging-09-00114-g003.jpg
https://cdn.ncbi.nlm.nih.gov/pmc/blobs/fc67/10301565/be1433d99b66/jimaging-09-00114-g004.jpg
https://cdn.ncbi.nlm.nih.gov/pmc/blobs/fc67/10301565/69655fb653dc/jimaging-09-00114-g005.jpg

相似文献

1
Clinical Utility of Fluorodeoxyglucose Positron Emission Tomography/Computed Tomography (F-FDG PET/CT) in Multivisceral Transplant Patients.氟脱氧葡萄糖正电子发射断层扫描/计算机断层扫描(F-FDG PET/CT)在多脏器移植患者中的临床应用价值
J Imaging. 2023 Jun 7;9(6):114. doi: 10.3390/jimaging9060114.
2
The value of 18F-FDG PET in pediatric patients with post-transplant lymphoproliferative disorder at initial diagnosis.18F-FDG PET在移植后淋巴细胞增生性疾病初诊儿科患者中的价值。
Pediatr Transplant. 2015 Dec;19(8):932-9. doi: 10.1111/petr.12611. Epub 2015 Oct 30.
3
F-FDG PET/CT in the Diagnostic and Treatment Evaluation of Pediatric Posttransplant Lymphoproliferative Disorders.氟代脱氧葡萄糖正电子发射断层扫描/计算机断层扫描在儿科移植后淋巴增殖性疾病的诊断和治疗评估中的应用。
J Nucl Med. 2020 Sep;61(9):1307-1313. doi: 10.2967/jnumed.119.239624. Epub 2020 Jan 31.
4
(18)F-FDG PET/CT in the management of patients with post-transplant lymphoproliferative disorder.(18)氟代脱氧葡萄糖正电子发射断层显像/计算机断层扫描在移植后淋巴增殖性疾病患者管理中的应用
Nucl Med Commun. 2014 Mar;35(3):276-81. doi: 10.1097/MNM.0000000000000050.
5
More advantages in detecting bone and soft tissue metastases from prostate cancer using F-PSMA PET/CT.使用F-PSMA PET/CT检测前列腺癌骨和软组织转移方面有更多优势。
Hell J Nucl Med. 2019 Jan-Apr;22(1):6-9. doi: 10.1967/s002449910952. Epub 2019 Mar 7.
6
Detection of bone marrow involvement in newly diagnosed post-transplant lymphoproliferative disorder: (18)F-fluorodeoxyglucose positron emission tomography/computed tomography versus bone marrow biopsy.新诊断的移植后淋巴细胞增生性疾病中骨髓受累情况的检测:(18)F-氟脱氧葡萄糖正电子发射断层扫描/计算机断层扫描与骨髓活检的比较
Leuk Lymphoma. 2016 Oct;57(10):2382-8. doi: 10.3109/10428194.2016.1140162. Epub 2016 Feb 8.
7
(18)F-fluorodeoxyglucose positron emission tomography/computed tomography in diagnosis of post-transplant lymphoproliferative disorder.(18)F-氟代脱氧葡萄糖正电子发射断层扫描/计算机断层扫描在移植后淋巴增殖性疾病诊断中的应用。
Leuk Lymphoma. 2014 Mar;55(3):515-9. doi: 10.3109/10428194.2013.813501. Epub 2013 Jul 29.
8
Diagnostic performance of FDG-PET/CT of post-transplant lymphoproliferative disorder and factors affecting diagnostic yield.移植后淋巴组织增生性疾病的 FDG-PET/CT 诊断性能及影响诊断产量的因素。
Eur J Nucl Med Mol Imaging. 2020 Mar;47(3):529-536. doi: 10.1007/s00259-019-04481-7. Epub 2019 Aug 24.
9
Diagnostic Performance of F-FDG PET or PET/CT for Detection of Post-Transplant Lymphoproliferative Disorder: A Systematic Review and a Bivariate Meta-Analysis.F-FDG PET或PET/CT检测移植后淋巴增殖性疾病的诊断性能:一项系统评价和双变量Meta分析
Diagnostics (Basel). 2020 Feb 12;10(2):101. doi: 10.3390/diagnostics10020101.
10
Clinical usefulness of FDG-PET/CT scan imaging in the management of posttransplant lymphoproliferative disease.氟代脱氧葡萄糖正电子发射断层扫描/计算机断层扫描(FDG-PET/CT)成像在移植后淋巴增殖性疾病管理中的临床应用价值
Transplantation. 2008 Mar 15;85(5):707-12. doi: 10.1097/TP.0b013e3181661676.

本文引用的文献

1
F-DOPA PET/CT at the Forefront of Initial or Presurgical Evaluation of Small-Intestine Neuroendocrine Tumors.F-DOPA PET/CT 在小肠神经内分泌肿瘤的初始或术前评估中的应用。
J Nucl Med. 2022 Dec;63(12):1865-1870. doi: 10.2967/jnumed.122.263984. Epub 2022 May 19.
2
FDG PET/CT for Detection of Infectious Complications Following Solid Organ Transplantation.FDG PET/CT 用于检测实体器官移植后的感染性并发症。
Semin Nucl Med. 2021 Jul;51(4):321-334. doi: 10.1053/j.semnuclmed.2020.12.007. Epub 2021 Jan 1.
3
The Added Diagnostic Value of F-Fluorodihydroxyphenylalanine PET/CT in the Preoperative Work-Up of Small Bowel Neuroendocrine Tumors.
F-氟代二羟苯丙氨酸 PET/CT 对小肠神经内分泌肿瘤术前评估的附加诊断价值。
J Gastrointest Surg. 2018 Apr;22(4):722-730. doi: 10.1007/s11605-017-3645-1. Epub 2017 Dec 12.
4
The clinical utility of FDG PET/CT among solid organ transplant recipients suspected of malignancy or infection.氟代脱氧葡萄糖正电子发射断层扫描/计算机断层扫描(FDG PET/CT)在疑似恶性肿瘤或感染的实体器官移植受者中的临床应用。
Eur J Nucl Med Mol Imaging. 2017 Mar;44(3):421-431. doi: 10.1007/s00259-016-3564-5. Epub 2016 Nov 12.
5
Updates on acute and chronic rejection in small bowel and multivisceral allografts.小肠及多脏器同种异体移植中急性和慢性排斥反应的最新进展。
Curr Opin Organ Transplant. 2014 Jun;19(3):293-302. doi: 10.1097/MOT.0000000000000075.
6
Where are we at with short bowel syndrome and small bowel transplant.我们在短肠综合征和小肠移植方面进展如何?
World J Transplant. 2012 Dec 24;2(6):95-103. doi: 10.5500/wjt.v2.i6.95.
7
18F-FDG PET/CT for the assessment of gastrointestinal GVHD: results of a pilot study.18F-FDG PET/CT用于评估胃肠道移植物抗宿主病:一项初步研究的结果
Bone Marrow Transplant. 2014 Jan;49(1):131-7. doi: 10.1038/bmt.2013.144. Epub 2013 Sep 30.
8
Infection among adult small bowel and multivisceral transplant recipients in the 30-day postoperative period.成人小肠和多脏器移植受者术后30天内的感染情况。
Transpl Infect Dis. 2013 Oct;15(5):441-8. doi: 10.1111/tid.12107. Epub 2013 Jun 28.
9
A radiologist's guide to small bowel and multivisceral transplantation.放射科医生小肠和多器官移植指南。
Clin Radiol. 2013 Oct;68(10):983-91. doi: 10.1016/j.crad.2013.03.010. Epub 2013 Jun 4.
10
Post-transplant lymphoproliferative disease (PTLD): risk factors, diagnosis, and current treatment strategies.移植后淋巴组织增生性疾病(PTLD):危险因素、诊断和当前治疗策略。
Curr Hematol Malig Rep. 2013 Sep;8(3):173-83. doi: 10.1007/s11899-013-0162-5.