Dai Na, Cai Rongcui, Deng Shengming, Sang Shibiao
Department of Nuclear Medicine, The First Affiliated Hospital of Soochow University, Suzhou 215006, China.
Diagnostics (Basel). 2023 Jun 11;13(12):2027. doi: 10.3390/diagnostics13122027.
The purpose of this study was to differentiate between false-positive and true-positive positron emission tomography (PET) results after hematopoietic stem cell transplantation (SCT) for lymphoma involvement by analyzing several clinical variables and specific imaging features.
Patients with lymphoma who received SCT and underwent post-transplantation F-FDG PET/CT scans between January 2013 and April 2021 at our institution were included. Associations between PET positivity and related clinical information were assessed using -tests and χ tests. The significance of variables differentiating benign lesions from malignant FDG-avid lesions was evaluated by logistic regression analysis. Survival probabilities were derived from Kaplan-Meier curves and compared using the log-rank test.
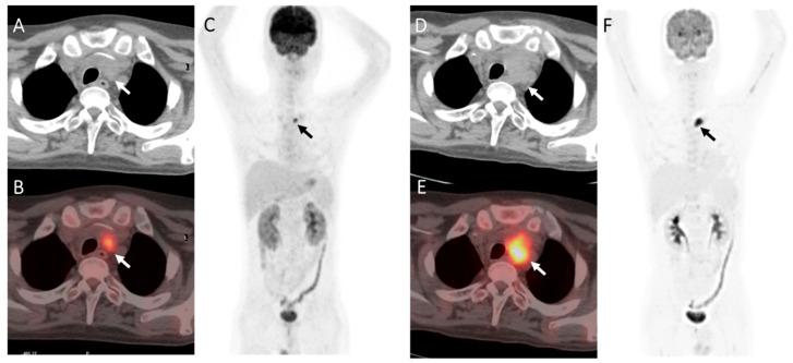
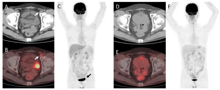
A total of 185 patients (235 post-transplantation PET/CT scans) were enrolled in our present study. Compared with those with true-positive PET results, patients with false-positive PET results exhibited a better prognosis. For the autologous SCT group, false-positive cases were more commonly seen when FDG-avid foci appeared outside the sites of the original disease ( = 0.004), and the integrated CT imaging showed negative results ( = 0.000). In multivariate logistic regression analysis, integrated CT results were the only significant factor. For the allogeneic SCT group, false-positive cases were significantly more commonly seen when DS = 4 ( = 0.046), FDG-avid foci appeared outside the sites of the original disease ( = 0.022), and the integrated CT imaging showed negative results ( = 0.001). In a multivariate logistic regression analysis, whether FDG-avid foci were in the sites of the original disease and integrated CT results were both significant factors.
False-positive FDG uptake in post-transplantation PET was not uncommon. Several variables could provide an important reference to differentiate false-positive from true-positive post-SCT PET results for lymphoma involvement.
ChiCTR2300067355.
本研究旨在通过分析若干临床变量和特定影像特征,区分造血干细胞移植(SCT)治疗淋巴瘤累及后正电子发射断层扫描(PET)结果的假阳性和真阳性。
纳入2013年1月至2021年4月在本机构接受SCT并进行移植后F-FDG PET/CT扫描的淋巴瘤患者。使用t检验和χ检验评估PET阳性与相关临床信息之间的关联。通过逻辑回归分析评估区分良性病变与恶性FDG摄取性病变的变量的意义。生存概率由Kaplan-Meier曲线得出,并使用对数秩检验进行比较。
本研究共纳入185例患者(235次移植后PET/CT扫描)。与PET结果为真阳性的患者相比,PET结果为假阳性的患者预后更好。对于自体SCT组,当FDG摄取灶出现在原发病灶部位以外时,假阳性病例更常见(P = 0.004),且CT综合成像显示阴性结果(P = 0.000)。在多变量逻辑回归分析中,CT综合结果是唯一的显著因素。对于异基因SCT组,当疾病特异性评分(DS)= 4时(P = 0.046),FDG摄取灶出现在原发病灶部位以外时(P = 0.022),且CT综合成像显示阴性结果时(P = 0.001)假阳性病例显著更常见。在多变量逻辑回归分析中,FDG摄取灶是否在原发病灶部位以及CT综合结果均为显著因素。
移植后PET中FDG摄取假阳性并不少见。若干变量可为区分SCT后PET结果中淋巴瘤累及的假阳性和真阳性提供重要参考。
ChiCTR2300067355。