Suppr超能文献

儿童生理性颅内钙化:一项基于计算机断层扫描的研究。

Physiological Intracranial Calcifications in Children: A computed tomography-based study.

机构信息

Radiology Residency Program, Oman Medical Specialty Board, Muscat, Oman.

Departments of Human & Clinical Anatomy.

出版信息

Sultan Qaboos Univ Med J. 2023 May;23(2):227-232. doi: 10.18295/squmj.9.2022.058. Epub 2023 May 31.

Abstract

OBJECTIVES

This study aimed to examined the frequency of physiological intracranial calcifications (PICs) in paediatric population using computed tomography (CT).

METHODS

The brain CT scans of consecutive patients (age range: 0-15 years) who had visited Sultan Qaboos University Hospital, Muscat, Oman, from January 2017 to December 2020 were retrospectively assessed for the presence of PICs. The presence of calcifications was identified using 3 mm-thick axial images and coronal and sagittal reformats.

RESULTS

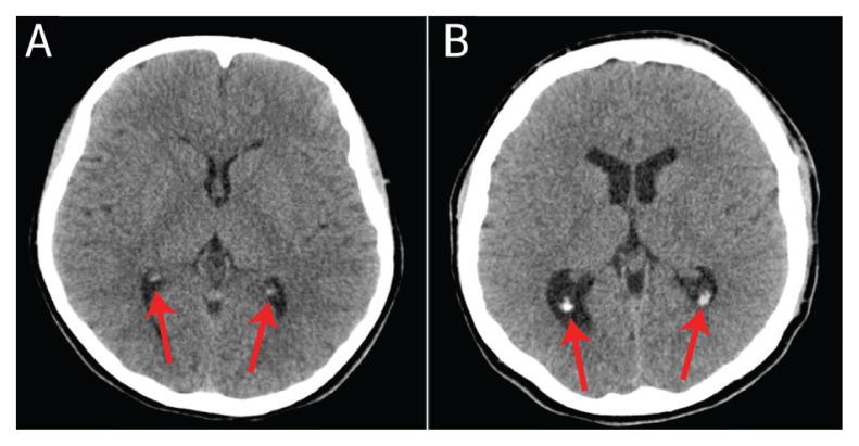
A total of 460 patients were examined, with a mean age of 6.54 ± 4.94 years. The frequency of PIC in boys and girls was 35.1% and 35.4%, respectively. PICs were most common in choroid plexus, observed in 35.2% (age range: 0.4-15 years, median: 12 years) of subjects, followed by the pineal gland in 21.1% (age range: 0.5-15 years, median: 12 years) and the habenular nucleus in 13.0% of subjects (age range: 2.9-15 years; median: 12 years). PICs were less common in falx cerebri, observed in 5.9% (age range: 2.8-15 years; median: 13 years) of subjects, and tentorium cerebelli, observed in 3.0% (age range: 7-15 years, median: 14 years) of subjects. PICs increased significantly with increase in age ( <0.001).

CONCLUSION

Choroid plexus is the most frequent site of calcification. Choroid plexus and pineal gland calcifications may be present in infants younger than one year. Recognising PICs is clinically important for radiologists as they can be mistaken for haemorrhage or pathological entities such as neoplasms or metabolic diseases.

摘要

目的

本研究旨在使用计算机断层扫描(CT)检查儿科人群中生理性颅内钙化(PIC)的频率。

方法

回顾性分析 2017 年 1 月至 2020 年 12 月期间在阿曼马斯喀特苏丹卡布斯大学医院就诊的连续患者(年龄范围:0-15 岁)的脑 CT 扫描,以确定 PIC 的存在。使用 3 毫米厚的轴位图像以及冠状位和矢状位重建来识别钙化的存在。

结果

共检查了 460 例患者,平均年龄为 6.54±4.94 岁。男孩和女孩 PIC 的发生率分别为 35.1%和 35.4%。脉络丛是 PIC 最常见的部位,在 35.2%(年龄范围:0.4-15 岁,中位数:12 岁)的患者中观察到,其次是松果体在 21.1%(年龄范围:0.5-15 岁,中位数:12 岁)和缰核在 13.0%(年龄范围:2.9-15 岁;中位数:12 岁)的患者中。大脑镰钙化较少见,见于 5.9%(年龄范围:2.8-15 岁;中位数:13 岁)的患者,小脑幕钙化见于 3.0%(年龄范围:7-15 岁,中位数:14 岁)的患者。PIC 随着年龄的增加而显著增加(<0.001)。

结论

脉络丛是最常见的钙化部位。脉络丛和松果体钙化可能出现在一岁以下的婴儿中。放射科医生认识到 PIC 很重要,因为它们可能被误诊为出血或肿瘤或代谢疾病等病理性实体。

https://cdn.ncbi.nlm.nih.gov/pmc/blobs/f768/10292592/f698af0fbac9/squmj2305-227-232f3.jpg

文献AI研究员

20分钟写一篇综述,助力文献阅读效率提升50倍。

立即体验

用中文搜PubMed

大模型驱动的PubMed中文搜索引擎

马上搜索

文档翻译

学术文献翻译模型,支持多种主流文档格式。

立即体验