Suppr超能文献

第一跖趾关节融合术后实现高愈合率:影像学结果及技术陷阱

Achieving high union rates after first metatarsophalangeal joint arthrodesis: Radiographic outcomes and technical pitfalls.

作者信息

von Deimling Christian, Tondelli Timo, Brunner Samuel, Andronic Octavian, Graf Alexander David

机构信息

Department of Orthopedic Surgery and Traumatology, Bürgerspital Solothurn, Solothurn 4500, Switzerland.

出版信息

World J Orthop. 2023 Jun 18;14(6):436-442. doi: 10.5312/wjo.v14.i6.436.

Abstract

BACKGROUND

Fusion of the first metatarsophalangeal (MTP1) joint is a common surgery performed to correct hallux rigidus, hallux rigidus et valgus and other painful degenerative diseases of the MTP1.

AIM

To assess outcomes of our surgical technique including non-union rates, accuracy and aims of correction.

METHODS

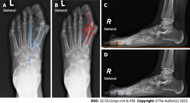
Between September 2011 and November 2020 a total 72 of MTP1 fusions were performed using a low profile, pre-contoured dorsal locking plate and a plantar compression screw. Union and revision rates were analyzed with a minimum clinical and radiological follow up of at least 3 mo (range 3-18 mo). The following parameters were evaluated on pre- and postoperative conventional radiographs: Intermetatarsal angle, Hallux-valgus angle, dorsal extension of the proximal phalanx (P1) in relation to the floor and the angle between the Metatarsal 1 and the P1 (MT1-P1 angle). Descriptive statistical analysis was performed. Pearson analysis was used to assess for correlations between radiographic parameters and achievement of fusion.

RESULTS

An overall union rate of 98.6% (71/72) was achieved. Two out of 72 patients did not primarily fuse with one patient suffering from a non-union, whilst the other demonstrating a radiological delayed union without clinical symptoms, with eventually complete fusion after 18 mo. There was no correlation between the measured radiographic parameters and the achievement of fusion. We believe the reason for the non-union was mainly attributed to the patient's incompliance without wearing the therapeutic shoe leading to a fracture of the P1. Furthermore, we didn`t find any correlation between fusion and the degree of correction.

CONCLUSION

With our surgical technique, high union rates (98%) can be achieved using a compression screw and a dorsal variable-angle locking plate to treat degenerative diseases of the MTP1.

摘要

背景

第一跖趾关节(MTP1)融合术是一种常见的手术,用于矫正僵硬性拇趾、僵硬性拇外翻及其他MTP1疼痛性退行性疾病。

目的

评估我们的手术技术效果,包括不愈合率、矫正的准确性和目标。

方法

在2011年9月至2020年11月期间,共对72例MTP1进行融合手术,采用低轮廓、预塑形的背侧锁定钢板和跖侧加压螺钉。分析愈合和翻修率,临床和影像学随访至少3个月(范围3 - 18个月)。在术前和术后常规X线片上评估以下参数:跖间角、拇外翻角、近节趾骨(P1)相对于地面的背伸角度以及第一跖骨与P1之间的角度(MT1 - P1角)。进行描述性统计分析。采用Pearson分析评估影像学参数与融合实现之间的相关性。

结果

总体愈合率为98.6%(71/72)。72例患者中有2例未实现一期融合,1例不愈合,另1例影像学显示延迟愈合但无临床症状,最终在18个月后完全愈合。测量的影像学参数与融合实现之间无相关性。我们认为不愈合的主要原因主要归因于患者未遵医嘱穿戴治疗鞋导致P1骨折。此外,我们未发现融合与矫正程度之间存在任何相关性。

结论

采用我们的手术技术,使用加压螺钉和背侧可变角度锁定钢板治疗MTP1退行性疾病可实现高愈合率(98%)。

https://cdn.ncbi.nlm.nih.gov/pmc/blobs/7ed3/10292060/0a0bc7cf98f7/WJO-14-436-g001.jpg

相似文献

4
Hallux metatarsophalangeal joint arthrodesis with a hybrid locking plate and a plantar neutralization screw: a prospective study.
Foot Ankle Int. 2013 Nov;34(11):1535-40. doi: 10.1177/1071100713494779. Epub 2013 Jun 26.
7
Validation of the Artificial Floor Technique in First Metatarsophalangeal Joint Arthrodesis.
Clin Orthop Relat Res. 2022 Oct 1;480(10):2002-2009. doi: 10.1097/CORR.0000000000002248. Epub 2022 May 18.
8
[Translated article] Better results in consolidation of hallux metatarsophalangeal arthrodesis with dorsal plate and interfragmentary compression screw.
Rev Esp Cir Ortop Traumatol. 2024 Jul-Aug;68(4):T351-T357. doi: 10.1016/j.recot.2024.01.030. Epub 2024 Feb 5.

本文引用的文献

1
Risk Analysis of Nonunion After First Metatarsophalangeal Joint Arthrodesis.
Foot Ankle Spec. 2021 Apr;14(2):120-125. doi: 10.1177/1938640019899829. Epub 2020 Jan 28.
2
Clinical and imaging assessment and treatment of hallux valgus.
Acta Radiol. 2020 Jan;61(1):56-66. doi: 10.1177/0284185119847675. Epub 2019 May 13.
3
Early Weight-Bearing After Arthrodesis of the First Metatarsal-Phalangeal Joint: A Systematic Review of the Incidence of Non-Union.
J Foot Ankle Surg. 2018 Nov-Dec;57(6):1200-1203. doi: 10.1053/j.jfas.2018.05.012. Epub 2018 Sep 7.
4
Immediate Weightbearing After First Metatarsophalangeal Joint Arthrodesis With Screw and Locking Plate Fixation: A Short-Term Review.
J Foot Ankle Surg. 2018 Jul-Aug;57(4):771-775. doi: 10.1053/j.jfas.2018.02.011. Epub 2018 May 8.
5
Hallux Valgus Deformity and Treatment: A Three-Dimensional Approach.
Foot Ankle Clin. 2018 Jun;23(2):271-280. doi: 10.1016/j.fcl.2018.01.007.
6
Radiographic Evaluation of Intermetatarsal Angle Correction Following First MTP Joint Arthrodesis for Severe Hallux Valgus.
Foot Ankle Int. 2016 Nov;37(11):1183-1186. doi: 10.1177/1071100716656442. Epub 2016 Jul 11.
7
Functional Outcomes Following First Metatarsophalangeal Arthrodesis.
Foot Ankle Int. 2016 Jul;37(7):715-21. doi: 10.1177/1071100716642286. Epub 2016 Apr 8.
8
Nonunion after arthrodesis of the first metatarsal-phalangeal joint: a systematic review.
J Foot Ankle Surg. 2011 Nov-Dec;50(6):710-3. doi: 10.1053/j.jfas.2011.06.012. Epub 2011 Aug 15.
9
First metatarsophalangeal arthrodesis using a dorsal plate and a compression screw.
Foot Ankle Int. 2010 Sep;31(9):797-801. doi: 10.3113/FAI.2010.0797.
10
Radiographic correlation of hallux MP fusion position and plate angle.
Foot Ankle Int. 2009 Sep;30(9):873-6. doi: 10.3113/FAI.2009.0873.

文献AI研究员

20分钟写一篇综述,助力文献阅读效率提升50倍。

立即体验

用中文搜PubMed

大模型驱动的PubMed中文搜索引擎

马上搜索

文档翻译

学术文献翻译模型,支持多种主流文档格式。

立即体验