Lakshman Abhijith, D'Cruze Lawrence, Balasubramaniam Archana, M Susruthan, T Periyasamy
Department of Pathology and Laboratory Medicine, Sri Ramachandra Institute of Higher Education and Research, Chennai, IND.
Department of Cardiothoracic Surgery, Sri Ramachandra Institute of Higher Education and Research, Chennai, IND.
Cureus. 2023 May 16;15(5):e39096. doi: 10.7759/cureus.39096. eCollection 2023 May.
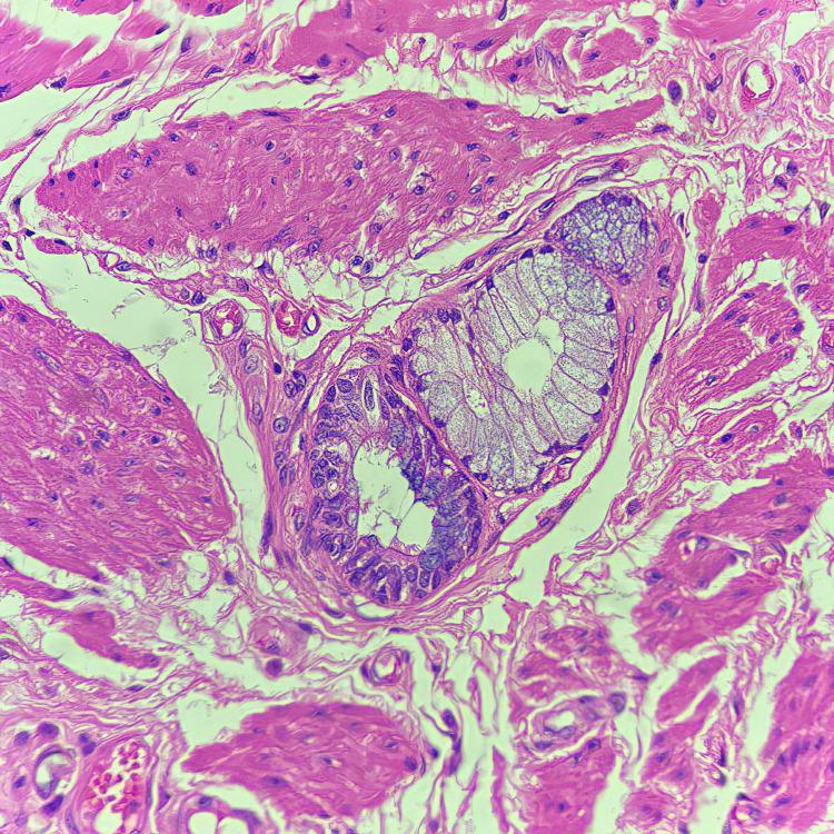
Tracheobronchial rests are a rare congenital anomaly where ectopic respiratory tract elements may be found in an abnormal site, such as within the esophageal wall. We present a case of a late presentation of an esophageal intramural tracheobronchial rest with complaints of pain in the left chest wall, vomiting, and loss of appetite for one month. The chest X-ray and mammogram were both normal, but an endoscopy could not be performed due to luminal narrowing. A CT scan shows a well-defined, round, non-enhancing hypodense lesion measuring 2.6 x 2.7 cm in the middle one-third of the esophagus. Upon resection, histopathological examination revealed fragments of tissue lined by pseudostratified ciliated columnar epithelium with respiratory mucinous glands admixed with pools of mucin and underlying strands of skeletal muscle. The subepithelium contains esophageal submucosal glands, which confirm the esophageal origin of the choristoma. The usual presentation is congenital esophageal stenosis at birth with over half of these cases being attributed to tracheobronchial rests. Presentation beyond adolescence is even rarer with a relatively benign course and favorable prognosis. Clinical, radiological, and pathological correlation as well as a high index of suspicion are important to avoid misdiagnosis and to institute optimal treatment.
气管支气管残件是一种罕见的先天性异常,其中异位呼吸道成分可能出现在异常部位,如食管壁内。我们报告一例食管壁内气管支气管残件的迟发性病例,患者有左胸壁疼痛、呕吐和食欲不振等症状,持续了一个月。胸部X光和乳房X光检查均正常,但由于管腔狭窄无法进行内窥镜检查。CT扫描显示在食管中三分之一处有一个边界清晰、圆形、无强化的低密度病变,大小为2.6×2.7厘米。切除后,组织病理学检查显示组织碎片内衬假复层纤毛柱状上皮,伴有呼吸道黏液腺,混有黏液池和下方的骨骼肌束。上皮下含有食管黏膜下腺,这证实了迷离瘤的食管起源。通常的表现是出生时先天性食管狭窄,其中超过一半的病例归因于气管支气管残件。青春期后出现这种情况更为罕见,病程相对良性,预后良好。临床、放射学和病理学的相关性以及高度的怀疑指数对于避免误诊和制定最佳治疗方案很重要。