Suppr超能文献

幼儿巨大感染性含牙囊肿

Massive Infected Dentigerous Cyst in a Young Child.

作者信息

Azariah Emmanuel D, Ramalingam Suganya, Harikrishnan Thamizhchelvan, Khodabux Rachael J

机构信息

Oral and Maxillofacial Surgery, Sri Ramachandra Dental College & Hospital, Sri Ramachandra Institute of Higher Education and Research, Chennai, IND.

Oral Pathology, Sri Ramachandra Dental College & Hospital, Sri Ramachandra Institute of Higher Education and Research, Chennai, IND.

出版信息

Cureus. 2023 May 28;15(5):e39621. doi: 10.7759/cureus.39621. eCollection 2023 May.

Abstract

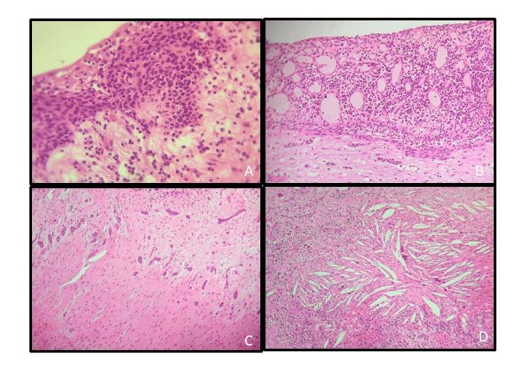
Dentigerous cysts are odontogenic cysts that form on the crown of an unerupted or partially erupted tooth. They are specifically anchored to the cementoenamel junction. Dentigerous cysts are known to rarely involve impacted deciduous teeth. Because of this rarity, this article reports a unique case of a five-year-old female patient who developed a dentigerous cyst in relation to a developing permanent left mandibular first molar tooth with its surgical treatment and histopathological features.

摘要

含牙囊肿是在未萌出或部分萌出牙齿的牙冠上形成的牙源性囊肿。它们特别附着于牙釉质牙骨质界。已知含牙囊肿很少累及阻生乳牙。鉴于这种罕见情况,本文报告了一例独特病例,一名5岁女性患者,其左下颌第一恒磨牙发育过程中出现含牙囊肿,并介绍了其手术治疗及组织病理学特征。

https://cdn.ncbi.nlm.nih.gov/pmc/blobs/0d13/10300503/72a41b878d59/cureus-0015-00000039621-i01.jpg

相似文献

1
Massive Infected Dentigerous Cyst in a Young Child.
Cureus. 2023 May 28;15(5):e39621. doi: 10.7759/cureus.39621. eCollection 2023 May.
2
Dentigerous cyst in a young child: a case report.
Can J Dent Hyg. 2021 Oct 1;55(3):177-181. eCollection 2021 Oct.
3
Infected dentigerous cyst of maxillary sinus arising from an ectopic third molar.
J Clin Imaging Sci. 2013 Aug 31;3(Suppl 1):7. doi: 10.4103/2156-7514.117461. eCollection 2013.
4
Dentigerous cyst associated with a formocresol pulpotomized deciduous molar.
J Endod. 2007 Apr;33(4):488-92. doi: 10.1016/j.joen.2006.10.011. Epub 2007 Jan 4.
5
Bismuth subnitrate iodoform parafin paste used in the management of inflammatory follicular cyst - Report of two cases.
J Indian Soc Pedod Prev Dent. 2017 Jul-Sep;35(3):269-274. doi: 10.4103/JISPPD.JISPPD_328_16.
6
Management of a Large Dentigerous Cyst with Enucleation and Packing Open with BIPP in 9-year-old Child: A Case Report.
Int J Clin Pediatr Dent. 2023 May-Jun;16(3):515-517. doi: 10.5005/jp-journals-10005-2581.
7
Spontaneous eruption of a canine after marsupialization of an infected dentigerous cyst.
Am J Orthod Dentofacial Orthop. 2010 May;137(5):690-3. doi: 10.1016/j.ajodo.2009.10.023.
8
Appearance can be deceptive: Dentigerous cyst crossing the midline.
Natl J Maxillofac Surg. 2013 Jan;4(1):100-3. doi: 10.4103/0975-5950.117823.
9
Dentigerous Cyst associated with Horizontally Impacted Mandibular Second Premolar.
Int J Clin Pediatr Dent. 2014 Jan;7(1):54-7. doi: 10.5005/jp-journals-10005-1235. Epub 2014 Apr 26.
10
Anterior maxillary dentigerous cyst.
Int J Clin Pediatr Dent. 2009 Jan;2(1):42-5. doi: 10.5005/jp-journals-10005-1041. Epub 2009 Apr 26.

引用本文的文献

1
Dentigerous Cysts in Children: Clinical, Radiological, and Healing Aspects.
Medicina (Kaunas). 2024 Jul 14;60(7):1133. doi: 10.3390/medicina60071133.

本文引用的文献

2
Dentigerous Cyst associated with Impacted Maxillary Premolar: A Rare Site Occurrence and a Rare Coincidence.
Int J Clin Pediatr Dent. 2018 Jan-Feb;11(1):50-52. doi: 10.5005/jp-journals-10005-1483. Epub 2017 Feb 1.
3
Dentigerous cyst in a young child.
Eur J Dent. 2015 Oct-Dec;9(4):599-602. doi: 10.4103/1305-7456.172619.
4
Multiple dentigerous cysts: a case report and review.
J Maxillofac Oral Surg. 2015 Mar;14(Suppl 1):47-51. doi: 10.1007/s12663-011-0280-3. Epub 2011 Sep 4.
6
Multiple teeth in a single dentigerous cyst follicle: A perplexity.
Ann Maxillofac Surg. 2011 Jul;1(2):187-9. doi: 10.4103/2231-0746.92792.
7
Bilateral maxillary dentigerous cysts: a case report.
Oral Surg Oral Med Oral Pathol Oral Radiol Endod. 2003 May;95(5):632-5. doi: 10.1067/moe.2003.123.
8
The enlargement of epithelial jaw cysts.
Odontol Revy. 1970;21(1):29-49.
9
Ameloblastomas.
Int J Oral Surg. 1978 Aug;7(4):305-10. doi: 10.1016/s0300-9785(78)80100-8.

文献AI研究员

20分钟写一篇综述,助力文献阅读效率提升50倍。

立即体验

用中文搜PubMed

大模型驱动的PubMed中文搜索引擎

马上搜索

文档翻译

学术文献翻译模型,支持多种主流文档格式。

立即体验