Suppr超能文献

由 PRF1 突变引起的家族性噬血细胞性淋巴组织细胞增生症伴神经表现为首发临床症状:一例报告。

Familial hemophagocytic phohistiocytosis induced by PRF1 mutation with neurologic manifestations as the initial clinical presentations: A case report.

机构信息

Department of Imaging, The Fourth Hospital of Hebei Medical University, Shijiazhuang, China.

Department of Neurology, Hebei Children's Hospital, Hebei Children's Hospital Affiliated to Hebei Medical University, Shijiazhuang, China.

出版信息

Medicine (Baltimore). 2023 Jun 30;102(26):e34198. doi: 10.1097/MD.0000000000034198.

Abstract

BACKGROUND

To investigate the clinical characteristics of familial hemophagocytic phohistiocytosis (FHL) induced by PRF1 gene mutation and with central nervous injury as the initial presentation.

CASE PRESENTATION

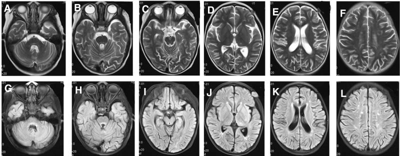
Herein, we presented 2 cases of a familial hemophagocytic syndrome caused by PRF1 gene mutation in 1 family with central nervous injury as the first symptom and searched relevant literature for clinical analysis of its pathogenic characteristics. Two children from 1 family were included in this study, both of whom had complex heterozygous mutations of C. 1189_1190dupTG (p.H398Afs*23) and C. 394G>A (p.G132R). Literature search further revealed 20 cases of PRF1 gene mutation-induced familial FHL with central nervous injury as the initial presentation. The main neurological symptoms included cranial nerve injury (81.8%), convulsion (77.3%), ataxia (63.6%), encephalopathy (59.1%), and limb paralysis (40.9%). Cranial imaging findings were dominated by the cerebral hemisphere (100%), cerebellar hemisphere (85%), brainstem (55%), and periventricular white matter (40%), and 73.7% of cases had elevated white blood cell count in CSF. Most cases were confirmed by differential diagnosis and gene sequencing, which suggested that C. 673C>T (P.r225W), C. 394G>A (P.G132r), C. 666C>A (p.H222Q), C. 1349C>T (p.T450M), C. 1349C>T (p.T450M), and C. 443C>C (p.A148G) could be focal mutations of this disease.

CONCLUSION

Lesions involving the cerebellum and brainstem in children with ataxia and cranial nerve damage could be indicative of primary FHL; thus, the inherent immune test and gene test should be timely performed to help confirm the diagnosis, guide the treatment, and improve the prognosis.

摘要

背景

本研究旨在探讨以中枢神经损伤为首发表现的 PRF1 基因突变致家族性噬血细胞性淋巴组织细胞增生症(familial hemophagocytic lymphohistiocytosis,FHL)的临床特征。

病例介绍

本研究报道了 1 家系中 2 例以中枢神经损伤为首发表现的家族性噬血细胞综合征,患儿均存在 PRF1 基因复合杂合突变,C.1189_1190dupTG(p.H398Afs*23)和 C.394G>A(p.G132R),并进行了临床分析。检索相关文献,共纳入 20 例以中枢神经损伤为首发表现的 PRF1 基因突变致家族性 FHL 患儿,主要神经系统症状包括颅神经损伤(81.8%)、抽搐(77.3%)、共济失调(63.6%)、脑病(59.1%)和肢体瘫痪(40.9%)。头颅影像学以大脑半球(100%)、小脑半球(85%)、脑干(55%)和脑室周围白质(40%)受累为主,73.7%的患儿脑脊液白细胞计数升高。大多数病例经鉴别诊断和基因测序明确诊断,C.673C>T(p.r225W)、C.394G>A(p.G132R)、C.666C>A(p.H222Q)、C.1349C>T(p.T450M)、C.1349C>T(p.T450M)和 C.443C>C(p.A148G)可能为该疾病的局灶性突变。

结论

以共济失调和颅神经损伤为表现的儿童,其小脑和脑干受累可能提示原发性 FHL,应及时进行固有免疫检查和基因检查以帮助明确诊断,指导治疗,改善预后。

https://cdn.ncbi.nlm.nih.gov/pmc/blobs/f152/10313311/474d63d03658/medi-102-e34198-g001.jpg

相似文献

3
Type 2 familial hemophagocytic lymphohistiocytosis in half brothers: A case report.
Medicine (Baltimore). 2018 Jul;97(30):e11577. doi: 10.1097/MD.0000000000011577.
5
Predominant Neurologic Manifestations Seen in a Patient With a Biallelic Perforin1 Mutation (PRF1; p.R225W).
J Pediatr Hematol Oncol. 2017 Mar;39(2):143-146. doi: 10.1097/MPH.0000000000000597.
8
[Analysis of clinical phenotype and genetic mutations of a pedigree of familial hemophagocytic lymphohistiocytosis].
Zhonghua Yi Xue Yi Chuan Xue Za Zhi. 2014 Oct;31(5):570-3. doi: 10.3760/cma.j.issn.1003-9406.2014.01.006.
9
Spectrum of perforin gene mutations in familial hemophagocytic lymphohistiocytosis (FHL) patients in India.
Blood Cells Mol Dis. 2015 Mar;54(3):250-7. doi: 10.1016/j.bcmd.2014.11.023. Epub 2014 Dec 23.
10
Hematopoietic stem cell transplantation of an adolescent with neurological manifestations of homozygous missense PRF1 mutation.
Pediatr Blood Cancer. 2014 Dec;61(12):2313-5. doi: 10.1002/pbc.25166. Epub 2014 Aug 11.

引用本文的文献

文献AI研究员

20分钟写一篇综述,助力文献阅读效率提升50倍。

立即体验

用中文搜PubMed

大模型驱动的PubMed中文搜索引擎

马上搜索

文档翻译

学术文献翻译模型,支持多种主流文档格式。

立即体验