Suppr超能文献

Vpx 有效地抵抗巨噬细胞中 SAMHD1 的抗慢病毒活性需要活跃的细胞内 dNTP 合成。

Vpx requires active cellular dNTP biosynthesis to effectively counteract the anti-lentivirus activity of SAMHD1 in macrophages.

机构信息

Department of Pediatrics, Center for ViroScience and Cure, School of Medicine, Emory University, Atlanta, Georgia, USA.

Department of Pediatrics, Center for ViroScience and Cure, School of Medicine, Emory University, Atlanta, Georgia, USA; Children's Healthcare of Atlanta, Atlanta, Georgia, USA.

出版信息

J Biol Chem. 2023 Aug;299(8):104984. doi: 10.1016/j.jbc.2023.104984. Epub 2023 Jun 28.

Abstract

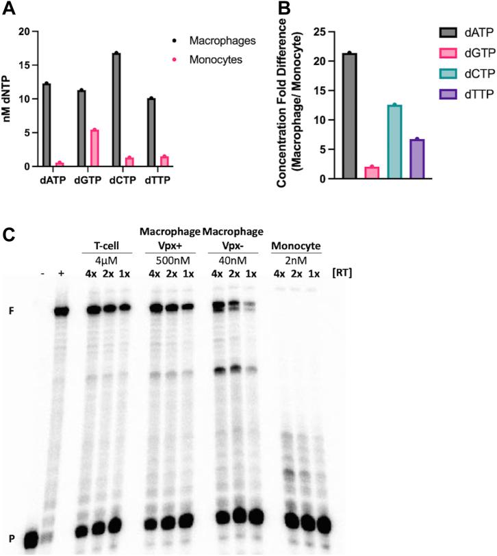
HIV-1 replication in primary monocyte-derived macrophages (MDMs) is kinetically restricted at the reverse transcription step due to the low deoxynucleoside triphosphates (dNTP) pools established by host dNTPase, SAM and HD domain containing protein 1 (SAMHD1). Lentiviruses such as HIV-2 and some Simian immunodeficiency virus counteract this restriction using viral protein X (Vpx), which proteosomally degrades SAMHD1 and elevates intracellular dNTP pools. However, how dNTP pools increase after Vpx degrades SAMHD1 in nondividing MDMs where no active dNTP biosynthesis is expected to exists remains unclear. In this study, we monitored known dNTP biosynthesis machinery during primary human monocyte differentiation to MDMs and unexpectedly found MDMs actively express dNTP biosynthesis enzymes such as ribonucleotide reductase, thymidine kinase 1, and nucleoside-diphosphate kinase. During differentiation from monocytes the expression levels of several biosynthesis enzymes are upregulated, while there is an increase in inactivating SAMHD1 phosphorylation. Correspondingly, we observed significantly lower levels of dNTPs in monocytes compared to MDMs. Without dNTP biosynthesis availability, Vpx failed to elevate dNTPs in monocytes, despite SAMHD1 degradation. These extremely low monocyte dNTP concentrations, which cannot be elevated by Vpx, impaired HIV-1 reverse transcription in a biochemical simulation. Furthermore, Vpx failed to rescue the transduction efficiency of a HIV-1 GFP vector in monocytes. Collectively, these data suggest that MDMs harbor active dNTP biosynthesis and Vpx requires this dNTP biosynthesis to elevate dNTP levels to effectively counteract SAMHD1 and relieve the kinetic block to HIV-1 reverse transcription in MDMs.

摘要

HIV-1 在原代单核细胞衍生的巨噬细胞(MDMs)中的复制由于宿主 dNTPase、SAM 和 HD 结构域包含蛋白 1(SAMHD1)建立的低脱氧核苷三磷酸(dNTP)池而在逆转录步骤受到动力学限制。HIV-2 和一些猴免疫缺陷病毒等慢病毒利用病毒蛋白 X(Vpx)来克服这种限制,Vpx 通过蛋白酶体降解 SAMHD1 并提高细胞内 dNTP 池。然而,在没有预期存在活跃 dNTP 生物合成的非分裂 MDMs 中,Vpx 降解 SAMHD1 后 dNTP 池如何增加仍不清楚。在这项研究中,我们在原代人单核细胞分化为 MDMs 的过程中监测了已知的 dNTP 生物合成机制,出乎意料地发现 MDMs 积极表达 dNTP 生物合成酶,如核糖核苷酸还原酶、胸苷激酶 1 和核苷二磷酸激酶。在从单核细胞分化的过程中,几种生物合成酶的表达水平上调,同时 SAMHD1 磷酸化失活增加。相应地,我们观察到单核细胞中的 dNTP 水平明显低于 MDMs。由于缺乏 dNTP 生物合成的可用性,尽管 SAMHD1 降解,Vpx 仍未能提高单核细胞中的 dNTP 水平。这些极低的单核细胞 dNTP 浓度不能被 Vpx 提高,在生化模拟中损害了 HIV-1 的逆转录。此外,Vpx 未能挽救 HIV-1 GFP 载体在单核细胞中的转导效率。总之,这些数据表明 MDMs 具有活跃的 dNTP 生物合成,而 Vpx 需要这种 dNTP 生物合成来提高 dNTP 水平,以有效地对抗 SAMHD1 并缓解 HIV-1 逆转录在 MDMs 中的动力学障碍。

https://cdn.ncbi.nlm.nih.gov/pmc/blobs/eabd/10374972/9e5473cc2d2c/gr1.jpg

文献AI研究员

20分钟写一篇综述,助力文献阅读效率提升50倍。

立即体验

用中文搜PubMed

大模型驱动的PubMed中文搜索引擎

马上搜索

文档翻译

学术文献翻译模型,支持多种主流文档格式。

立即体验