Aleid Abdulsalam Mohammed, Alaethan Mohammed Hijji, Alsaati Ahmed Abdulaziz, Alhejji Murtadah Hassan, Ali Alkathem Jafar
Department of Neurosurgery, King Faisal Univeristy, Ahsa, Saudi Arabia.
Department of Radiology, King Saud bin Abdulaziz University - Health Science, Ahsa, Saudi Arabia.
Surg Neurol Int. 2023 Jun 2;14:190. doi: 10.25259/SNI_189_2023. eCollection 2023.
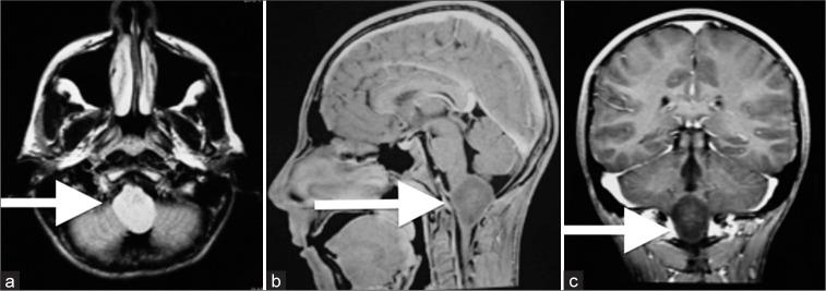
Medullary brainstem lesions are rare tumors that are challenging to treat due to their location in the brainstem, which controls vital functions such as breathing, heart rate, and blood pressure. While the most common subtype is the aggressive diffuse intrinsic pontine glioma, other subtypes exist, including focal brainstem gliomas and cervicomedullary gliomas. The prognosis for patients with brainstem gliomas is generally poor, and treatment options are limited. Early detection and treatment are crucial to improve outcomes for patients with these tumors.
In this case report, the authors describe a 28-year-old male from Saudi Arabia who presented with headaches and vomiting. Imaging studies and clinical examination revealed a high-grade astrocytoma medullary brainstem lesion. The patient underwent radiation therapy and chemotherapy, effectively controlling tumor growth and improving his quality of life. However, a residual tumor remained, and the patient underwent neurosurgery to resect the remaining tumor was successful in removing the tumor, and the patient showed significant improvement in his symptoms and overall health.
This case highlights the importance of early detection and treatment of medullary brainstem lesions. While radiation therapy and chemotherapy are primary treatment options, neurosurgery may be necessary to resect residual tumors. In addition, cultural and social factors may need to be considered in managing these tumors in Saudi Arabia.
延髓脑干病变是罕见肿瘤,因其位于控制呼吸、心率和血压等重要功能的脑干中,治疗具有挑战性。虽然最常见的亚型是侵袭性弥漫性脑桥内生型胶质瘤,但也存在其他亚型,包括局灶性脑干胶质瘤和颈髓胶质瘤。脑干胶质瘤患者的预后通常较差,治疗选择有限。早期检测和治疗对于改善这些肿瘤患者的预后至关重要。
在本病例报告中,作者描述了一名来自沙特阿拉伯的28岁男性,他出现头痛和呕吐症状。影像学检查和临床检查显示为高级别星形细胞瘤延髓脑干病变。患者接受了放射治疗和化疗,有效控制了肿瘤生长并改善了他的生活质量。然而,仍有残留肿瘤,患者接受了神经外科手术以切除残留肿瘤,手术成功切除了肿瘤,患者的症状和整体健康状况有了显著改善。
本病例强调了早期检测和治疗延髓脑干病变的重要性。虽然放射治疗和化疗是主要治疗选择,但可能需要进行神经外科手术以切除残留肿瘤。此外,在沙特阿拉伯管理这些肿瘤时可能需要考虑文化和社会因素。