Department of Respiratory Medicine, Tenri Hospital, Japan.
Department of Hematology, Tenri Hospital, Japan.
Intern Med. 2024 Feb 15;63(4):559-563. doi: 10.2169/internalmedicine.2040-23. Epub 2023 Jul 5.
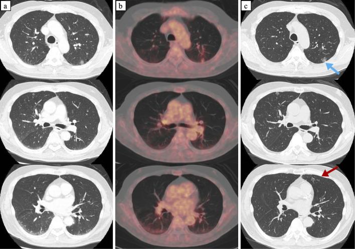
A 74-year-old man with no overt symptoms was referred for a chest computed tomography (CT) that revealed multiple bilaterally pulmonary ground-glass nodules (GGNs) with subtle changes in size over eight months. Surgical lung biopsies were performed in the left upper lobe. A pathologic study confirmed the intravascular large B-cell lymphoma (IVLBCL). This lesion was a nodule-like cluster of atypical cells, meaning that it had been localized for several months. Pulmonary IVLBCL may form focal lesions presenting as GGN on chest CT and progress slowly without apparent symptoms.
一位 74 岁的男性患者无症状,因胸部计算机断层扫描(CT)而就诊,结果显示双侧多个磨玻璃肺结节(GGN),大小在八个月内有细微变化。左上肺进行了手术肺活检。病理研究证实为血管内大 B 细胞淋巴瘤(IVLBCL)。该病变为结节样聚集的非典型细胞,意味着它已经局限化了几个月。肺 IVLBCL 可能形成局灶性病变,在胸部 CT 上表现为 GGN,并且进展缓慢,无明显症状。