Suppr超能文献

新型冠状病毒肺炎相关的耐甲氧西林金黄色葡萄球菌感染性心内膜炎及二尖瓣穿孔:一例报告

COVID-19-associated MRSA infective endocarditis and mitral valve perforation: a case report.

作者信息

Khedr Anwar, Hassan Esraa Mamdouh, Hennawi Hussam Al, Jama Abbas Bashir, Khan Muhammad Khuzzaim, Mir Mikael, Eissa Aalaa, Rauf Ibtisam, Mushtaq Hisham, Jain Nitesh Kumar, Subla Mir Rauf, Surani Salim, Khan Syed Anjum

机构信息

BronxCare Health System, Bronx, NY, USA.

Mayo Clinic Health System, Mankato, MN, USA.

出版信息

Egypt Heart J. 2023 Jul 19;75(1):62. doi: 10.1186/s43044-023-00392-z.

Abstract

BACKGROUND

Coronavirus disease 2019 (COVID-19) has emerged as a global pandemic, leading to significant morbidity and mortality. The interplay between COVID-19 and other medical conditions can complicate diagnosis and management, necessitating further exploration.

CASE PRESENTATION

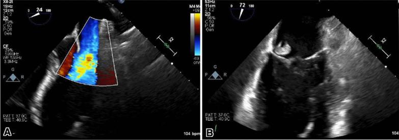
This case report presents a patient with COVID-19 who developed infective endocarditis (IE) and mitral valve perforation caused by methicillin-resistant Staphylococcus aureus on a native mitral valve. Notably, the patient did not exhibit typical IE risk factors, such as intravenous drug use. However, he did possess risk factors for bacteremia, including a history of diabetes mellitus and recent steroid use due to the COVID-19 infection. The diagnosis of IE was crucially facilitated by transesophageal echocardiography.

CONCLUSIONS

This case highlights the potential association between COVID-19 and the development of infective endocarditis. Prompt evaluation using transesophageal echocardiography is vital when there is a high suspicion of IE in COVID-19 patients. Further research is required to elucidate the precise relationship between COVID-19 and IE.

摘要

背景

2019年冠状病毒病(COVID-19)已演变成一场全球大流行,导致了严重的发病率和死亡率。COVID-19与其他疾病之间的相互作用会使诊断和治疗变得复杂,因此需要进一步探索。

病例介绍

本病例报告展示了一名COVID-19患者,该患者发生了感染性心内膜炎(IE),并因耐甲氧西林金黄色葡萄球菌导致原生二尖瓣穿孔。值得注意的是,该患者未表现出典型的IE危险因素,如静脉吸毒。然而,他确实存在菌血症的危险因素,包括糖尿病史以及因COVID-19感染近期使用类固醇。经食管超声心动图对IE的诊断起到了关键作用。

结论

本病例突出了COVID-19与感染性心内膜炎发生之间的潜在关联。当高度怀疑COVID-19患者患有IE时,使用经食管超声心动图进行快速评估至关重要。需要进一步研究以阐明COVID-19与IE之间的确切关系。

https://cdn.ncbi.nlm.nih.gov/pmc/blobs/b3dc/10353974/1f61281352d2/43044_2023_392_Fig1_HTML.jpg

文献AI研究员

20分钟写一篇综述,助力文献阅读效率提升50倍。

立即体验

用中文搜PubMed

大模型驱动的PubMed中文搜索引擎

马上搜索

文档翻译

学术文献翻译模型,支持多种主流文档格式。

立即体验