Suppr超能文献

通过等温扩增检测产超广谱β-内酰胺酶的大肠杆菌分离株及其毒力基因和 phylogroups 与肠道外感染的关联。

Detection of Extended-spectrum β-lactamase-producing Escherichia coli isolates by isothermal amplification and association of their virulence genes and phylogroups with extraintestinal infection.

机构信息

Research Unit of Innovative Diagnosis of Antimicrobial Resistance, Department of Transfusion Medicine and Clinical Microbiology, Faculty of Allied Health Sciences, Chulalongkorn University, Bangkok, Thailand.

Program of Molecular Sciences in Medical Microbiology and Immunology, Department of Transfusion Medicine and Clinical Microbiology, Faculty of Allied Health Sciences, Chulalongkorn University, Bangkok, Thailand.

出版信息

Sci Rep. 2023 Jul 25;13(1):12022. doi: 10.1038/s41598-023-39228-w.

Abstract

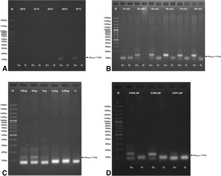
Extraintestinal pathogenic Escherichia coli (ExPEC) producing extended-spectrum β-lactamases (ESBL) cause serious human infections due to their virulence and multidrug resistance (MDR) profiles. We characterized 144 ExPEC strains (collected from a tertiary cancer institute) in terms of antimicrobial susceptibility spectrum, ESBL variants, virulence factors (VF) patterns, and Clermont's phylogroup classification. The developed multiplex recombinase polymerase amplification and thermophilic helicase-dependent amplification (tHDA) assays for bla, bla, bla and bla detection, respectively, were validated using PCR-sequencing results. All ESBL-ExPEC isolates carried bla genes with following prevalence frequency of variants: bla (50.5%) > bla (17.9%) > bla (16.8%) > bla (14.7%). The multiplex recombinase polymerase amplification assay had 100% sensitivity, and specificity for bla, bla, bla, while tHDA had 86.89% sensitivity, and 100% specificity for bla. The VF genes showed the following prevalence frequency: traT (67.4%) > ompT (52.6%) > iutA (50.5%) > fimH (47.4%) > iha (33.7%) > hlyA (26.3%) > papC (12.6%) > cvaC (3.2%), in ESBL-ExPEC isolates which belonged to phylogroups A (28.4%), B2 (28.4%), and F (22.1%). The distribution of traT, ompT, and hlyA and phylogroup B2 were significantly different (P < 0.05) between ESBL-ExPEC and non-ESBL-ExPEC isolates. Thus, these equipment-free isothermal resistance gene amplification assays contribute to effective treatment and control of virulent ExPEC, especially antimicrobial resistance strains.

摘要

产超广谱β-内酰胺酶(ESBL)的肠外致病性大肠杆菌(ExPEC)由于其毒力和多药耐药(MDR)特性,引起严重的人类感染。我们对 144 株 ExPEC 菌株(从一家三级癌症研究所采集)进行了抗菌谱、ESBL 变体、毒力因子(VF)模式和 Clermont 系统发育群分类特征分析。针对 bla、bla、bla 和 bla 基因的多重重组酶聚合酶扩增和热稳定解旋酶依赖性扩增(tHDA)检测方法,分别通过 PCR 测序结果进行了验证。所有 ESBL-ExPEC 分离株均携带 bla 基因,其变体的流行率频率如下:bla(50.5%)> bla(17.9%)> bla(16.8%)> bla(14.7%)。多重重组酶聚合酶扩增检测方法对 bla、bla、bla 具有 100%的灵敏度和特异性,tHDA 对 bla 的灵敏度为 86.89%,特异性为 100%。VF 基因的流行率频率如下:traT(67.4%)> ompT(52.6%)> iutA(50.5%)> fimH(47.4%)> iha(33.7%)> hlyA(26.3%)> papC(12.6%)> cvaC(3.2%),在 ESBL-ExPEC 分离株中,这些分离株属于 A 组(28.4%)、B2 组(28.4%)和 F 组(22.1%)。traT、ompT 和 hlyA 以及 B2 组的分布在 ESBL-ExPEC 和非 ESBL-ExPEC 分离株之间存在显著差异(P<0.05)。因此,这些无设备的等温抗性基因扩增检测方法有助于有效治疗和控制毒力 ExPEC,特别是对抗菌药物耐药株。

https://cdn.ncbi.nlm.nih.gov/pmc/blobs/95b5/10368679/6af933adf35d/41598_2023_39228_Fig1_HTML.jpg

文献AI研究员

20分钟写一篇综述,助力文献阅读效率提升50倍。

立即体验

用中文搜PubMed

大模型驱动的PubMed中文搜索引擎

马上搜索

文档翻译

学术文献翻译模型,支持多种主流文档格式。

立即体验