Suppr超能文献

汞对尼罗罗非鱼的毒性评估、氧化和免疫反应:饲料盐藻对其的调节作用。

Toxicity Evaluation, Oxidative, and Immune Responses of Mercury on Nile Tilapia: Modulatory Role of Dietary Nannochloropsis oculata.

机构信息

Department of Aquatic Animal Medicine, Faculty of Veterinary Medicine, Mansoura University, Mansoura, 35516, Egypt.

Department of Zoology, Faculty of Science, Sohag University, Sohag, 82524, Egypt.

出版信息

Biol Trace Elem Res. 2024 Apr;202(4):1752-1766. doi: 10.1007/s12011-023-03771-4. Epub 2023 Jul 25.

Abstract

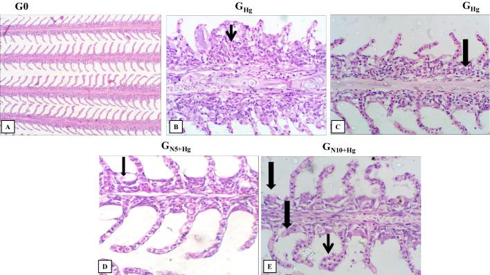
The current study evaluated the potential ameliorative effect of a dietary immune modulator, Nannochloropsis oculata microalga, on the mercuric chloride (HgCl)-induced toxicity of Nile tilapia. Nile tilapia (45-50 g) were fed a control diet or exposed to ¼ LC of HgCl (0.3 mg/L) and fed on a medicated feed supplemented with N. oculata (5% and 10% (50 or 100 g/kg dry feed)) for 21 days. Growth and somatic indices, Hg bioaccumulation in muscles, and serum acetylcholinesterase (AChE) activity were investigated. Antioxidant and stress-related gene expression analyses were carried out in gills and intestines. Histopathological examinations of gills and intestines were performed to monitor the traits associated with Hg toxicity or refer to detoxification. Hg toxicity led to significant musculature bioaccumulation, inhibited AChE activity, downregulated genes related to antioxidants and stress, and elicited histopathological changes in the gills and intestine. Supplementation with N. oculata at 10% was able to upregulate the anti-oxidative-related genes while downregulated the stress apoptotic genes in gills and intestines compared to the unexposed group. In addition, minor to no histopathological traits were detected in the gills and intestines of the N. oculata-supplemented diets. Our data showed the benefit of dietary N. oculata in suppressing Hg toxicity, which might support its efficacy as therapeutic/preventive agent to overcome environmental heavy metal pollution in aquatic habitats.

摘要

本研究评估了一种膳食免疫调节剂——眼点拟微绿球藻(Nannochloropsis oculata microalga)对氯化汞(HgCl)诱导的尼罗罗非鱼毒性的潜在改善作用。尼罗罗非鱼(45-50g)投喂对照饲料或暴露于 HgCl 的四分之一 LC(0.3mg/L),并投喂添加 N. oculata(5%和 10%(50 或 100g/kg 干饲料))的药物饲料 21 天。研究了生长和体指数、肌肉中的 Hg 生物累积以及血清乙酰胆碱酯酶(AChE)活性。在鳃和肠道中进行了抗氧化和应激相关基因表达分析。对鳃和肠道进行了组织病理学检查,以监测与 Hg 毒性相关的特征或参考解毒作用。Hg 毒性导致肌肉组织中显著的 Hg 生物累积,抑制 AChE 活性,下调抗氧化和应激相关基因,并在鳃和肠道中引起组织病理学变化。与未暴露组相比,补充 10%的 N. oculata 能够上调鳃和肠道中的抗氧化相关基因,同时下调应激凋亡基因。此外,在补充 N. oculata 的饲料中,鳃和肠道中几乎没有检测到组织病理学特征。我们的数据表明,膳食 N. oculata 有益于抑制 Hg 毒性,这可能支持其作为治疗/预防剂的功效,以克服水生栖息地的环境重金属污染。

https://cdn.ncbi.nlm.nih.gov/pmc/blobs/4263/10859351/e6c39534d921/12011_2023_3771_Fig1_HTML.jpg

文献AI研究员

20分钟写一篇综述,助力文献阅读效率提升50倍。

立即体验

用中文搜PubMed

大模型驱动的PubMed中文搜索引擎

马上搜索

文档翻译

学术文献翻译模型,支持多种主流文档格式。

立即体验