Neonatology and Pediatric Intensive Care Unit, Department of Woman, Child and Adolescent Medicine, Geneva University Hospitals and Faculty of Medicine, University of Geneva, Geneva, Switzerland.
Neurosurgery Unit, Department of Clinical Neuroscience, Geneva University Hospitals and Faculty of Medicine, University of Geneva, Geneva, Switzerland.
Childs Nerv Syst. 2023 Sep;39(9):2377-2389. doi: 10.1007/s00381-023-06086-w. Epub 2023 Jul 26.
Malignant stroke is a life-threatening emergency, with a high mortality rate (1-3). Despite strong evidence showing decreased morbidity and mortality in the adult population, decompressive hemicraniectomy (DCH) has been scarcely reported in the pediatric stroke population, and its indication remains controversial, while it could be a potential lifesaving option.
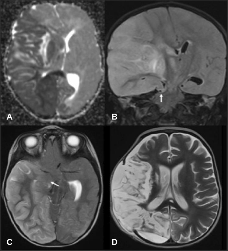
We performed an extensive literature review on pediatric malignant arterial ischemic stroke (pmAIS) and selected 26 articles reporting 97 cases. Gathering the data together, a 67% mortality rate is observed without decompressive therapy, contrasting with a 95.4% survival rate with it. The median modified Rankin score (mRS) is 2.1 after surgery with a mean follow-up of 31.8 months. For the 33% of children who survived without surgery, the mRS is 3 at a mean follow-up of 19 months. As an illustrative case, we report on a 2-year-old girl who presented a cardioembolic right middle cerebral artery stroke with subsequent malignant edema and ongoing cerebral transtentorial herniation in the course of a severe myocarditis requiring ECMO support. A DCH was done 32 h after symptom onset. At the age of 5 years, she exhibits an mRS of 3.
Pediatric stroke with malignant edema is a severe condition with high mortality rate if left untreated and often long-lasting consequences. DCH might minimize the vicious circle of cerebral swelling, increasing intracranial pressure and brain ischemia. Our literature review underscores DCH as an efficient therapeutic measure management of pmAIS even when performed after a significant delay; however, long-lasting morbidities remain high.
恶性卒中是一种危及生命的紧急情况,死亡率高(1-3)。尽管有强有力的证据表明成年人的发病率和死亡率降低,但去骨瓣减压术(DCH)在儿科卒中人群中鲜有报道,其适应证仍存在争议,而它可能是一种潜在的救生选择。
我们对儿科恶性动脉缺血性卒中(pmAIS)进行了广泛的文献回顾,并选择了 26 篇报道 97 例的文章。综合这些数据,不进行减压治疗的死亡率为 67%,而进行减压治疗的存活率为 95.4%。手术后的中位数改良 Rankin 评分(mRS)为 2.1,平均随访时间为 31.8 个月。对于 33%未经手术存活的儿童,mRS 为 3,平均随访时间为 19 个月。作为一个说明性的病例,我们报告了一名 2 岁女孩,她患有心源性右侧大脑中动脉卒中,随后发生恶性水肿,并在严重心肌炎导致 ECMO 支持期间持续发生脑镰下疝。DCH 在症状出现后 32 小时进行。在 5 岁时,她的 mRS 为 3。
未经治疗的儿科恶性水肿性卒中是一种严重的疾病,死亡率高,且常有长期的后果。DCH 可能会最小化脑肿胀、颅内压升高和脑缺血的恶性循环。我们的文献回顾强调了 DCH 作为儿科恶性动脉缺血性卒中治疗的有效措施,即使在显著延迟后进行,也能提高生存率;然而,长期的发病率仍然很高。