Suppr超能文献

动脉造影期间通过选择性计算机断层扫描识别出覆膜支架外十二指肠出血,经栓塞成功治疗:病例报告

Duodenal bleeding outside covered stents identified by selective computed tomography during arteriography that was successfully treated by embolization: A case report.

作者信息

Fukuda Kodai, Sonomura Tetsuo, Higashino Nobuyuki, Mimura Ryosuke, Furotani Hiroki, Tanaka Ryota, Koyama Takao, Sato Hirotatsu, Ikoma Akira, Yamashita Yasunobu, Kitano Masayuki, Minamiguchi Hiroki

机构信息

Department of Radiology, Wakayama Medical University, 811-1 Kimiidera, Wakayamashi, Wakayama Wakayama, 641-8509 Japan.

Department of Gastroenterology, Wakayama Medical University, Wakayama, Japan.

出版信息

Radiol Case Rep. 2023 Jul 22;18(10):3395-3399. doi: 10.1016/j.radcr.2023.07.007. eCollection 2023 Oct.

Abstract

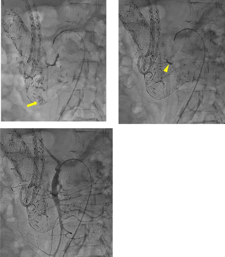
The patient was a man in his 60s who previously underwent placement of covered stents in the duodenum for a duodenal stricture caused by pancreatic cancer invasion. He experienced multiple episodes of hematemesis and hematochezia during hospitalization. Emergency upper and lower gastrointestinal endoscopies were performed but were unable to reveal the bleeding source. Based on these findings, we suspected small intestinal bleeding and emergency angiography was performed for the purpose of hemostasis. Computed tomography during arteriography was performed from the superior mesenteric artery and revealed extravasation outside the covered stents in the descending portion of the duodenum. Angiography of the inferior pancreaticoduodenal artery revealed extravasation in the descending portion of the duodenum, and the inferior pancreaticoduodenal artery was embolized with -butyl cyanoacrylate. There were no postoperative symptoms indicative of intestinal ischemia or pancreatitis, and there was no rebleeding after embolization. In patients with bleeding outside the duodenal-covered stents, it can be difficult to identify the bleeding source by upper gastrointestinal endoscopy. In this case, selective computed tomography during arteriography and angiography revealed bleeding outside the duodenal-covered stents that was successfully treated by arterial embolization with -butyl cyanoacrylate.

摘要

该患者为一名60多岁的男性,此前因胰腺癌侵犯导致十二指肠狭窄,接受了十二指肠覆膜支架置入术。他在住院期间经历了多次呕血和便血。进行了急诊上、下消化道内镜检查,但未能发现出血源。基于这些发现,我们怀疑是小肠出血,并为了止血进行了急诊血管造影。动脉造影期间从肠系膜上动脉进行了计算机断层扫描,显示十二指肠降部覆膜支架外有造影剂外渗。胰十二指肠下动脉造影显示十二指肠降部有造影剂外渗,并用氰基丙烯酸正丁酯栓塞了胰十二指肠下动脉。术后没有出现提示肠缺血或胰腺炎的症状,栓塞后也没有再出血。对于十二指肠覆膜支架外出血的患者,通过上消化道内镜检查可能难以确定出血源。在本病例中,动脉造影期间的选择性计算机断层扫描和血管造影显示十二指肠覆膜支架外出血,通过用氰基丙烯酸正丁酯进行动脉栓塞成功治疗。

https://cdn.ncbi.nlm.nih.gov/pmc/blobs/08ef/10369381/05b79aacfa92/gr1.jpg

文献AI研究员

20分钟写一篇综述,助力文献阅读效率提升50倍。

立即体验

用中文搜PubMed

大模型驱动的PubMed中文搜索引擎

马上搜索

文档翻译

学术文献翻译模型,支持多种主流文档格式。

立即体验