Suppr超能文献

特发性中脑膜动静脉瘘合并节段性动脉中层溶解:一例报告

Idiopathic Middle Meningeal Arteriovenous Fistula Associated with Segmental Arterial Mediolysis: A Case Report.

作者信息

Uchimura Masahiro, Takigawa Haruo, Yoshikane Tsutomu, Anno Yuichi

机构信息

Department of Neurosurgery, Matsue City Hospital, Matsue, Shimane, Japan.

Department of Neurosurgery, Shimane University Faculty of Medicine, Izumo, Shimane, Japan.

出版信息

J Neuroendovasc Ther. 2022;16(2):100-105. doi: 10.5797/jnet.cr.2021-0024. Epub 2021 Jun 29.

Abstract

OBJECTIVE

Middle meningeal arteriovenous fistula (MMAVF) is typically post-traumatic or iatrogenic in origin, but it can have an idiopathic origin in rare cases. Here, we report a case of idiopathic MMAVF complicated by segmental arterial mediolysis (SAM).

CASE PRESENTATION

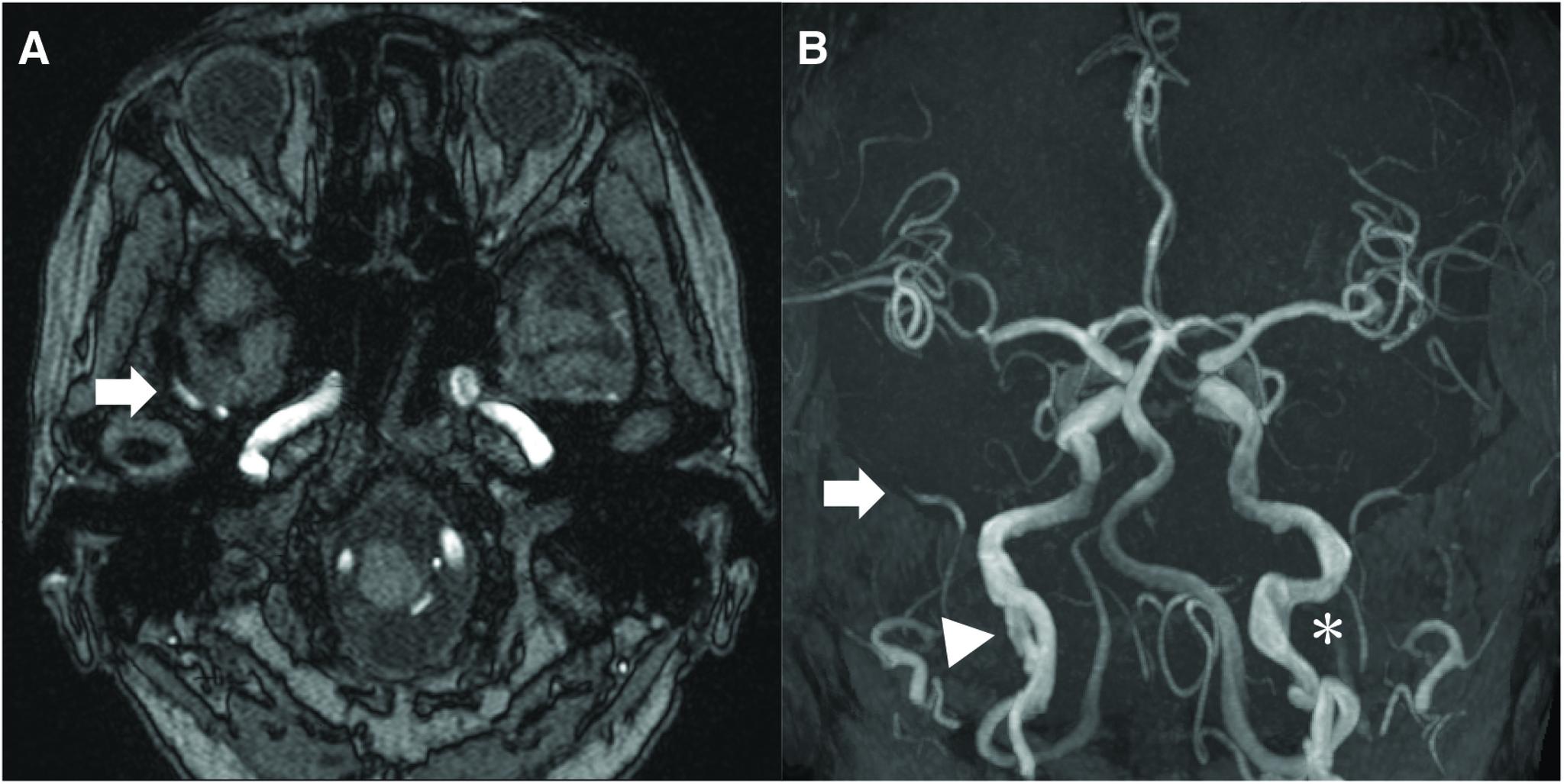
The patient was a 63-year-old woman admitted to our hospital with symptoms of right pulsating tinnitus for the past 2 months. She had no significant medical history. MRI and DSA revealed a right MMAVF. Selective embolization using coils was performed. Seven years later, when she underwent laparotomy for intestinal perforation, multiple aneurysms were found in the abdominal cavity. Left hemicolectomy was performed, and an aneurysm of the gastroepiploic artery was resected. Based on a pathological examination of the aneurysm, the patient was diagnosed with SAM. Coil embolization was performed to prevent rupture.

CONCLUSION

This case report shows that MMAVF may be associated with SAM. Fistula embolization with coils is an effective treatment of MMAVF associated with SAM. Therefore, it is important to check for systemic diseases, such as SAM when idiopathic MMAVF is detected.

摘要

目的

脑膜中动脉动静脉瘘(MMAVF)通常起源于创伤后或医源性,但在罕见情况下可具有特发性起源。在此,我们报告一例特发性MMAVF并发节段性动脉中层溶解(SAM)的病例。

病例介绍

该患者为一名63岁女性,因过去2个月出现右搏动性耳鸣症状入院。她无重大病史。MRI和DSA显示右侧MMAVF。采用弹簧圈进行了选择性栓塞。7年后,当她因肠穿孔接受剖腹手术时,在腹腔内发现多个动脉瘤。进行了左半结肠切除术,并切除了胃网膜动脉的一个动脉瘤。根据动脉瘤的病理检查,该患者被诊断为SAM。进行了弹簧圈栓塞以防止破裂。

结论

本病例报告表明MMAVF可能与SAM有关。用弹簧圈栓塞瘘是治疗与SAM相关的MMAVF的有效方法。因此,当检测到特发性MMAVF时,检查是否存在全身性疾病如SAM很重要。

https://cdn.ncbi.nlm.nih.gov/pmc/blobs/1753/10370967/1d85f516b327/jnet-16-100-g001.jpg

文献AI研究员

20分钟写一篇综述,助力文献阅读效率提升50倍。

立即体验

用中文搜PubMed

大模型驱动的PubMed中文搜索引擎

马上搜索

文档翻译

学术文献翻译模型,支持多种主流文档格式。

立即体验