• 文献检索
  • 文档翻译
  • 深度研究
  • 学术资讯
  • Suppr Zotero 插件Zotero 插件
  • 邀请有礼
  • 套餐&价格
  • 历史记录
应用&插件
Suppr Zotero 插件Zotero 插件浏览器插件Mac 客户端Windows 客户端微信小程序
定价
高级版会员购买积分包购买API积分包
服务
文献检索文档翻译深度研究API 文档MCP 服务
关于我们
关于 Suppr公司介绍联系我们用户协议隐私条款
关注我们

Suppr 超能文献

核心技术专利:CN118964589B侵权必究
粤ICP备2023148730 号-1Suppr @ 2026

文献检索

告别复杂PubMed语法,用中文像聊天一样搜索,搜遍4000万医学文献。AI智能推荐,让科研检索更轻松。

立即免费搜索

文件翻译

保留排版,准确专业,支持PDF/Word/PPT等文件格式,支持 12+语言互译。

免费翻译文档

深度研究

AI帮你快速写综述,25分钟生成高质量综述,智能提取关键信息,辅助科研写作。

立即免费体验

成人超罕见原发性腹膜后软组织肉瘤的实用管理:以血管周上皮样肿瘤和骨外尤文肉瘤为重点。

Practical Management of Adult Ultra-Rare Primary Retroperitoneal Soft Tissue Sarcoma: A Focus on Perivascular Epithelioid Tumours and Extraosseous Ewing Sarcoma.

机构信息

Division of Cancer Surgery, Peter MacCallum Cancer Centre, Melbourne, VIC 3000, Australia.

Division of General Surgery, The Ottawa Hospital, Ottawa, ON K1H 8L6, Canada.

出版信息

Curr Oncol. 2023 Jun 21;30(7):5953-5972. doi: 10.3390/curroncol30070445.

DOI:10.3390/curroncol30070445
PMID:37504306
原文链接:https://pmc.ncbi.nlm.nih.gov/articles/PMC10377910/
Abstract

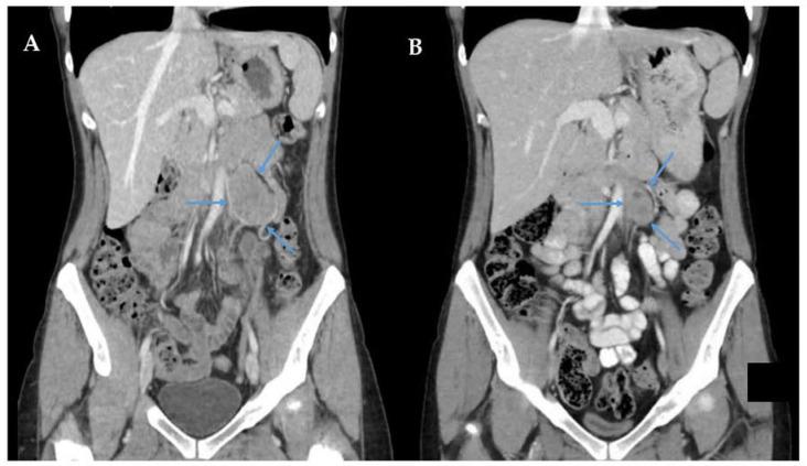
With the exception of well-differentiated liposarcoma, dedifferentiated liposarcoma, leiomyosarcoma, solitary fibrous tumour, malignant peripheral nerve sheath tumour, and undifferentiated pleomorphic sarcoma, the majority of the ≈70 histologic subtypes of retroperitoneal sarcoma are defined as 'ultra-rare' sarcomas, with an incidence of ≤1-5/1,000,000 persons/year. For most of these ultra-rare RPS subtypes, diagnosis and treatment follows international guidelines for the management of more common RPS histologies, with en bloc surgical resection as the mainstay of curative treatment, and enrolment in clinical trials where possible. Because the treatment of RPS is heavily driven by histology, the surgeon must be familiar with specific issues related to the diagnosis and management of ultra-rare sarcoma subtypes. Expert radiological and surgeon reviews are required to differentiate similarly presenting tumours where surgery can be avoided (e.g., angiomyolipoma), or where upfront systemic therapy is indicated (e.g., extraosseous Ewing's sarcoma). Thus, the management of all retroperitoneal sarcomas should occur at a sarcoma referral centre, with a multidisciplinary team of experts dedicated to the surgical and medical management of these rare tumours. In this focused review, we highlight how diagnosis and management of the ultra-rare primary RPS histologies of malignant perivascular epithelioid cell tumour (PEComa), extraosseous Ewing sarcoma (EES), extraosseous osteosarcoma (EOS), and rhabdomyosarcoma (RMS) critically diverge from the management of more common RPS subtypes.

摘要

除了高分化脂肪肉瘤、去分化脂肪肉瘤、平滑肌肉瘤、孤立性纤维肿瘤、恶性外周神经鞘瘤和未分化多形性肉瘤外,腹膜后肉瘤的 ≈70 种组织学亚型中的大多数都被定义为“超罕见”肉瘤,发病率为≤1-5/100 万/年。对于这些超罕见的 RPS 亚型中的大多数,诊断和治疗遵循国际指南管理更常见的 RPS 组织学,以整块切除术作为主要治疗方法,并尽可能参加临床试验。由于 RPS 的治疗主要取决于组织学,因此外科医生必须熟悉与诊断和管理超罕见肉瘤亚型相关的具体问题。需要专家进行影像学和外科医生的评估,以区分具有相似表现的肿瘤,这些肿瘤可以通过手术避免(例如血管平滑肌脂肪瘤),或者需要进行前期系统治疗(例如骨外尤因肉瘤)。因此,所有腹膜后肉瘤的治疗都应在肉瘤转诊中心进行,由专门从事这些罕见肿瘤的外科和内科管理的多学科专家团队负责。在本次重点综述中,我们强调了恶性血管周上皮样细胞瘤(PEComa)、骨外尤因肉瘤(EES)、骨外骨肉瘤(EOS)和横纹肌肉瘤(RMS)等超罕见原发性 RPS 组织学的诊断和治疗如何与更常见的 RPS 亚型的管理显著不同。

https://cdn.ncbi.nlm.nih.gov/pmc/blobs/439e/10377910/df8f388c2954/curroncol-30-00445-g003.jpg
https://cdn.ncbi.nlm.nih.gov/pmc/blobs/439e/10377910/1eb9086f1551/curroncol-30-00445-g001.jpg
https://cdn.ncbi.nlm.nih.gov/pmc/blobs/439e/10377910/56cab80a57ac/curroncol-30-00445-g002.jpg
https://cdn.ncbi.nlm.nih.gov/pmc/blobs/439e/10377910/df8f388c2954/curroncol-30-00445-g003.jpg
https://cdn.ncbi.nlm.nih.gov/pmc/blobs/439e/10377910/1eb9086f1551/curroncol-30-00445-g001.jpg
https://cdn.ncbi.nlm.nih.gov/pmc/blobs/439e/10377910/56cab80a57ac/curroncol-30-00445-g002.jpg
https://cdn.ncbi.nlm.nih.gov/pmc/blobs/439e/10377910/df8f388c2954/curroncol-30-00445-g003.jpg

相似文献

1
Practical Management of Adult Ultra-Rare Primary Retroperitoneal Soft Tissue Sarcoma: A Focus on Perivascular Epithelioid Tumours and Extraosseous Ewing Sarcoma.成人超罕见原发性腹膜后软组织肉瘤的实用管理:以血管周上皮样肿瘤和骨外尤文肉瘤为重点。
Curr Oncol. 2023 Jun 21;30(7):5953-5972. doi: 10.3390/curroncol30070445.
2
Management of the "Other" retroperitoneal sarcomas.“其他”腹膜后肉瘤的管理
J Surg Oncol. 2018 Jan;117(1):79-86. doi: 10.1002/jso.24893. Epub 2017 Nov 11.
3
Management of primary retroperitoneal sarcoma (RPS) in the adult: a consensus approach from the Trans-Atlantic RPS Working Group.成人原发性腹膜后肉瘤(RPS)的管理:跨大西洋RPS工作组的共识方法。
Ann Surg Oncol. 2015 Jan;22(1):256-63. doi: 10.1245/s10434-014-3965-2. Epub 2014 Oct 15.
4
Management of Recurrent Retroperitoneal Sarcoma (RPS) in the Adult: A Consensus Approach from the Trans-Atlantic RPS Working Group.成人复发性腹膜后肉瘤(RPS)的管理:跨大西洋RPS工作组的共识方法。
Ann Surg Oncol. 2016 Oct;23(11):3531-3540. doi: 10.1245/s10434-016-5336-7. Epub 2016 Aug 1.
5
Esophageal extraskeletal neoplasm Ewing's sarcoma: Case report.食管骨外肿瘤尤因肉瘤:病例报告
Int J Surg Case Rep. 2022 Aug;97:107399. doi: 10.1016/j.ijscr.2022.107399. Epub 2022 Jul 9.
6
Management of Locally Recurrent Retroperitoneal Sarcoma in the Adult: An Updated Consensus Approach from the Transatlantic Australasian Retroperitoneal Sarcoma Working Group.成人局部复发性腹膜后肉瘤的治疗:来自跨大西洋澳大拉西亚腹膜后肉瘤工作组的最新共识方法。
Ann Surg Oncol. 2022 Nov;29(12):7335-7348. doi: 10.1245/s10434-022-11864-y. Epub 2022 Jun 29.
7
Retroperitoneal extraosseous Ewing's sarcoma with renal involvement: US and MRI findings.累及肾脏的腹膜后骨外尤文肉瘤:超声及磁共振成像表现
Clin Imaging. 1993 Apr-Jun;17(2):149-52. doi: 10.1016/0899-7071(93)90057-t.
8
Landmark Series: A Review of Landmark Studies in the Treatment of Primary Localized Retroperitoneal Sarcoma.地标性系列:原发性腹膜后局部肉瘤治疗地标性研究回顾。
Ann Surg Oncol. 2022 Nov;29(12):7297-7311. doi: 10.1245/s10434-022-12517-w. Epub 2022 Sep 10.
9
New developments in the pathology and molecular biology of retroperitoneal sarcomas.腹膜后肉瘤的病理学和分子生物学新进展。
Eur J Surg Oncol. 2023 Jun;49(6):1053-1060. doi: 10.1016/j.ejso.2022.02.005. Epub 2022 Feb 5.
10
Pelvic soft tissue sarcomas.盆腔软组织肉瘤。
Eur J Surg Oncol. 2023 Jun;49(6):1102-1110. doi: 10.1016/j.ejso.2022.06.003. Epub 2022 Jun 4.

引用本文的文献

1
Identification of disulfidptosis-related prognostic biomarkers associated with CD4 + and CD8 + T cells infiltration for sarcoma by integrating bioinformatic analysis and experimental validation.通过整合生物信息学分析和实验验证,鉴定与肉瘤中CD4+和CD8+T细胞浸润相关的二硫化物驱动的细胞程序性坏死相关预后生物标志物。
Discov Oncol. 2025 Jul 8;16(1):1284. doi: 10.1007/s12672-025-03127-5.

本文引用的文献

1
Imaging presentation of extraskeletal osteosarcomas on CT and MRI and correlation with patients outcome: A two-center retrospective study of 54 patients.骨外骨肉瘤的 CT 和 MRI 影像学表现及其与患者预后的相关性:54 例患者的两项中心回顾性研究。
Diagn Interv Imaging. 2023 Jun;104(6):297-306. doi: 10.1016/j.diii.2023.01.009. Epub 2023 Feb 21.
2
Comparison of two chemotherapy regimens in patients with newly diagnosed Ewing sarcoma (EE2012): an open-label, randomised, phase 3 trial.两种化疗方案在初诊尤文肉瘤患者中的比较(EE2012):一项开放标签、随机、III 期临床试验。
Lancet. 2022 Oct 29;400(10362):1513-1521. doi: 10.1016/S0140-6736(22)01790-1.
3
Extraosseous Ewing's sarcoma/peripheral primitive neuroectodermal tumour of the kidney: a case report and literature review.
骨外尤文肉瘤/肾外周原始神经外胚层肿瘤:病例报告及文献复习。
BMC Urol. 2022 Nov 30;22(1):197. doi: 10.1186/s12894-022-01146-w.
4
Updates in Pathology for Retroperitoneal Soft Tissue Sarcoma.腹膜后软组织肉瘤的病理学新进展。
Curr Oncol. 2022 Sep 7;29(9):6400-6418. doi: 10.3390/curroncol29090504.
5
Preoperative Radiotherapy in Patients With Primary Retroperitoneal Sarcoma: EORTC-62092 Trial (STRASS) Versus Off-trial (STREXIT) Results.原发性腹膜后肉瘤患者的术前放疗:EORTC-62092 试验(STRASS)与非试验(STREXIT)结果。
Ann Surg. 2023 Jul 1;278(1):127-134. doi: 10.1097/SLA.0000000000005492. Epub 2022 Jul 14.
6
Systemic treatment of advanced clear cell sarcoma: results from a retrospective international series from the World Sarcoma Network.晚期透明细胞肉瘤的系统性治疗:来自世界肉瘤网络的回顾性国际系列研究结果。
ESMO Open. 2022 Jun;7(3):100522. doi: 10.1016/j.esmoop.2022.100522. Epub 2022 Jun 17.
7
The Effect of Adjuvant Chemotherapy on Localized Extraskeletal Osteosarcoma: A Systematic Review.辅助化疗对局限性骨外骨肉瘤的影响:一项系统评价
Cancers (Basel). 2022 May 23;14(10):2559. doi: 10.3390/cancers14102559.
8
The Molecular Biology of Soft Tissue Sarcomas: Current Knowledge and Future Perspectives.软组织肉瘤的分子生物学:当前认知与未来展望
Cancers (Basel). 2022 May 22;14(10):2548. doi: 10.3390/cancers14102548.
9
Histology-tailored multidisciplinary management of primary retroperitoneal sarcomas.原发性腹膜后肉瘤的组织学定制多学科管理。
Eur J Surg Oncol. 2023 Jun;49(6):1061-1067. doi: 10.1016/j.ejso.2022.05.010. Epub 2022 May 16.
10
The landscape of genetic aberrations in myxofibrosarcoma.黏液纤维肉瘤的基因异常景观。
Int J Cancer. 2022 Aug 15;151(4):565-577. doi: 10.1002/ijc.34051. Epub 2022 May 13.