• 文献检索
  • 文档翻译
  • 深度研究
  • 学术资讯
  • Suppr Zotero 插件Zotero 插件
  • 邀请有礼
  • 套餐&价格
  • 历史记录
应用&插件
Suppr Zotero 插件Zotero 插件浏览器插件Mac 客户端Windows 客户端微信小程序
定价
高级版会员购买积分包购买API积分包
服务
文献检索文档翻译深度研究API 文档MCP 服务
关于我们
关于 Suppr公司介绍联系我们用户协议隐私条款
关注我们

Suppr 超能文献

核心技术专利:CN118964589B侵权必究
粤ICP备2023148730 号-1Suppr @ 2026

文献检索

告别复杂PubMed语法,用中文像聊天一样搜索,搜遍4000万医学文献。AI智能推荐,让科研检索更轻松。

立即免费搜索

文件翻译

保留排版,准确专业,支持PDF/Word/PPT等文件格式,支持 12+语言互译。

免费翻译文档

深度研究

AI帮你快速写综述,25分钟生成高质量综述,智能提取关键信息,辅助科研写作。

立即免费体验

亚肺叶切除术在非小细胞肺癌外科治疗中的作用。

The Role of Sublobar Resection for the Surgical Treatment of Non-Small Cell Lung Cancer.

机构信息

School of Medicine, Wayne State University, Detroit, MI 48202, USA.

Long School of Medicine, University of Texas Health San Antonio, San Antonio, TX 78229, USA.

出版信息

Curr Oncol. 2023 Jul 22;30(7):7019-7030. doi: 10.3390/curroncol30070509.

DOI:10.3390/curroncol30070509
PMID:37504369
原文链接:https://pmc.ncbi.nlm.nih.gov/articles/PMC10378348/
Abstract

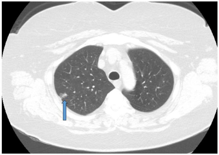
Lung cancer is the most common cancer killer in the world. The standard of care for surgical treatment of non-small cell lung cancer has been lobectomy. Recent studies have identified that sublobar resection has non-inferior survival rates compared to lobectomy, however. Sublobar resection may increase the number of patients who can tolerate surgery and reduce postoperative pulmonary decline. Sublobar resection appears to have equivalent results to surgery in patients with small, peripheral tumors and no lymph node disease. As the utilization of segmentectomy increases, there may be some centers that perform this operation more than other centers. Care must be taken to ensure that all patients have access to this modality. Future investigations should focus on examining the outcomes from segmentectomy as it is applied more widely. When employed on a broad scale, morbidity and survival rates should be monitored. As segmentectomy is performed more frequently, patients may experience improved postoperative quality of life while maintaining the same oncologic benefit.

摘要

肺癌是全球最常见的癌症杀手。非小细胞肺癌手术治疗的标准方法一直是肺叶切除术。然而,最近的研究表明,与肺叶切除术相比,亚肺叶切除术具有非劣效的生存率。亚肺叶切除术可能会增加更多能够耐受手术和减少术后肺部下降的患者数量。对于小型、周边肿瘤且无淋巴结疾病的患者,亚肺叶切除术与手术的结果似乎相当。随着段切除术的应用增加,可能会有一些中心比其他中心更常进行这种手术。必须注意确保所有患者都可以获得这种治疗方式。未来的研究应重点关注段切除术的应用更广泛时的结果。当广泛应用时,应监测发病率和生存率。随着段切除术的更频繁应用,患者可能在保持相同的肿瘤学获益的同时,提高术后生活质量。

https://cdn.ncbi.nlm.nih.gov/pmc/blobs/ea52/10378348/756be3177935/curroncol-30-00509-g001.jpg
https://cdn.ncbi.nlm.nih.gov/pmc/blobs/ea52/10378348/756be3177935/curroncol-30-00509-g001.jpg
https://cdn.ncbi.nlm.nih.gov/pmc/blobs/ea52/10378348/756be3177935/curroncol-30-00509-g001.jpg

相似文献

1
The Role of Sublobar Resection for the Surgical Treatment of Non-Small Cell Lung Cancer.亚肺叶切除术在非小细胞肺癌外科治疗中的作用。
Curr Oncol. 2023 Jul 22;30(7):7019-7030. doi: 10.3390/curroncol30070509.
2
Sublobar resection versus lobectomy in Surgical Treatment of Elderly Patients with early-stage non-small cell lung cancer (STEPS): study protocol for a randomized controlled trial.老年早期非小细胞肺癌手术治疗中叶下切除与肺叶切除的对比研究(STEPS):一项随机对照试验的研究方案
Trials. 2016 Apr 7;17:191. doi: 10.1186/s13063-016-1312-6.
3
Long-Term Results for Clinical Stage IA Lung Cancer: Comparing Lobectomy and Sublobar Resection.临床ⅠA 期肺癌的长期结果:肺叶切除术与亚肺叶切除术比较。
Ann Thorac Surg. 2018 Aug;106(2):375-381. doi: 10.1016/j.athoracsur.2018.02.049. Epub 2018 Mar 23.
4
Sublobar resection is equivalent to lobectomy for clinical stage 1A lung cancer in solid nodules.亚肺叶切除术与肺叶切除术在实性结节临床Ⅰ A 期肺癌中的疗效相当。
J Thorac Cardiovasc Surg. 2014 Feb;147(2):754-62; Discussion 762-4. doi: 10.1016/j.jtcvs.2013.09.065. Epub 2013 Nov 23.
5
Effect of the number of lymph nodes examined on the survival of patients with stage I non-small cell lung cancer who undergo sublobar resection.淋巴结清扫数目对接受亚肺叶切除术的Ⅰ期非小细胞肺癌患者生存的影响。
J Thorac Cardiovasc Surg. 2018 Jul;156(1):394-402. doi: 10.1016/j.jtcvs.2018.03.113. Epub 2018 Apr 4.
6
Sublobar resection is equivalent to lobectomy for T1a non-small cell lung cancer in the elderly: a Surveillance, Epidemiology, and End Results database analysis.亚肺叶切除术与老年T1a期非小细胞肺癌的肺叶切除术疗效相当:一项监测、流行病学和最终结果数据库分析
J Surg Res. 2016 Feb;200(2):683-9. doi: 10.1016/j.jss.2015.08.045. Epub 2015 Sep 3.
7
Sublobar resection versus lobectomy in patients aged ≤35 years with stage IA non-small cell lung cancer: a SEER database analysis.≤35岁的IA期非小细胞肺癌患者行肺叶下切除与肺叶切除的比较:一项监测、流行病学和最终结果(SEER)数据库分析
J Cancer Res Clin Oncol. 2017 Nov;143(11):2375-2382. doi: 10.1007/s00432-017-2499-y. Epub 2017 Aug 17.
8
Sublobar resection in nonsmall cell lung carcinoma.非小细胞肺癌的肺叶下切除术
Curr Opin Pulm Med. 2008 Jul;14(4):292-6. doi: 10.1097/MCP.0b013e328300cabe.
9
Non-small cell lung cancer: when to offer sublobar resection.非小细胞肺癌:何时进行肺叶下切除
Lung Cancer. 2014 Nov;86(2):115-20. doi: 10.1016/j.lungcan.2014.09.004. Epub 2014 Sep 16.
10
Prognosis After Sublobar Resection of Small-sized Non-small Cell Lung Cancer with Visceral Pleural or Lymphovascular Invasion.伴有脏层胸膜或脉管侵犯的小尺寸非小细胞肺癌亚肺叶切除术后的预后
World J Surg. 2017 Nov;41(11):2769-2777. doi: 10.1007/s00268-017-4075-7.

引用本文的文献

1
Recent advancements in lung cancer research: a narrative review.肺癌研究的最新进展:一篇综述。
Transl Lung Cancer Res. 2025 Mar 31;14(3):975-990. doi: 10.21037/tlcr-24-979. Epub 2025 Mar 27.
2
How safe is it to discharge home patients with a chest tube in place? A narrative review of the literature.对于留置胸管的患者,让其出院回家有多安全?文献综述。
Eur J Cardiothorac Surg. 2025 Mar 1;67(Supplement_1):i41-i46. doi: 10.1093/ejcts/ezae165.
3
Outcomes and Survival for Early-Stage Non-Small Cell Lung Cancer Following Wedge Resection or Lobectomy: A Propensity Score-Matched Analysis Using a Novel Peruvian Registry.

本文引用的文献

1
Association of travel distance, surgical volume, and receipt of adjuvant chemotherapy with survival among patients with resectable lung cancer.可切除肺癌患者的旅行距离、手术量及辅助化疗的接受情况与生存率的关联
JTCVS Open. 2022 Dec 8;13:357-378. doi: 10.1016/j.xjon.2022.11.017. eCollection 2023 Mar.
2
Local control and short-term outcomes after video-assisted thoracoscopic surgery segmentectomy versus lobectomy for pT1c pN0 non-small-cell lung cancer.电视辅助胸腔镜手术肺段切除术与肺叶切除术治疗pT1c pN0非小细胞肺癌后的局部控制和短期疗效
Interdiscip Cardiovasc Thorac Surg. 2023 Feb 6;36(2). doi: 10.1093/icvts/ivad037.
3
楔形切除术或肺叶切除术后早期非小细胞肺癌的结局与生存情况:一项使用新型秘鲁登记系统的倾向评分匹配分析
J Chest Surg. 2024 Nov 5;57(6):501-510. doi: 10.5090/jcs.24.029. Epub 2024 Aug 8.
4
FKBP3, a poor prognostic indicator, promotes the progression of LUAD via regulating ferroptosis and immune infiltration.FKBP3,一种预后不良的指标,通过调节铁死亡和免疫浸润促进 LUAD 的进展。
Medicine (Baltimore). 2024 Jun 28;103(26):e38606. doi: 10.1097/MD.0000000000038606.
5
The prognostic significance of lymph nodes in patients with pT1c33N0M0 non-small cell lung cancer: a retrospective study.pT1c33N0M0 期非小细胞肺癌患者淋巴结的预后意义:一项回顾性研究
PeerJ. 2024 Jan 31;12:e16866. doi: 10.7717/peerj.16866. eCollection 2024.
6
Assessment of the Functioning Profile of Patients with Lung Cancer Undergoing Lobectomy in Relation to the ICF Rehabilitation Core Set.评估接受肺叶切除术的肺癌患者与国际功能、残疾和健康分类康复核心组合相关的功能概况。
J Clin Med. 2023 Nov 9;12(22):6995. doi: 10.3390/jcm12226995.
Lobar or Sublobar Resection for Peripheral Stage IA Non-Small-Cell Lung Cancer.
肺段或亚肺叶切除术治疗外周型ⅠA 期非小细胞肺癌。
N Engl J Med. 2023 Feb 9;388(6):489-498. doi: 10.1056/NEJMoa2212083.
4
Cancer statistics, 2023.癌症统计数据,2023 年。
CA Cancer J Clin. 2023 Jan;73(1):17-48. doi: 10.3322/caac.21763.
5
Lung Cancer Screening.肺癌筛查。
Semin Respir Crit Care Med. 2022 Dec;43(6):839-850. doi: 10.1055/s-0042-1757885. Epub 2022 Nov 28.
6
Characteristics of High-Volume Lung Segmentectomy Hospitals: A Propensity Score-Matched Analysis.高容量肺段切除术医院的特征:倾向评分匹配分析。
Clin Lung Cancer. 2022 Nov;23(7):600-607. doi: 10.1016/j.cllc.2022.08.008. Epub 2022 Aug 15.
7
Survival outcomes in a prospective randomized multicenter Phase III trial comparing patients undergoing anatomical segmentectomy versus standard lobectomy for non-small cell lung cancer up to 2 cm.在一项前瞻性随机多中心 III 期临床试验中,比较了 2cm 以下非小细胞肺癌患者行解剖性节段切除术与标准肺叶切除术的生存结果。
Lung Cancer. 2022 Oct;172:108-116. doi: 10.1016/j.lungcan.2022.08.013. Epub 2022 Aug 24.
8
A guide for managing patients with stage I NSCLC: deciding between lobectomy, segmentectomy, wedge, SBRT and ablation-part 1: a guide to decision-making.I期非小细胞肺癌患者管理指南:肺叶切除术、肺段切除术、楔形切除术、立体定向体部放疗和消融之间的抉择——第1部分:决策指南
J Thorac Dis. 2022 Jun;14(6):2340-2356. doi: 10.21037/jtd-21-1823.
9
The impact of segmentectomy versus lobectomy on pulmonary function in patients with non-small-cell lung cancer: a meta-analysis.肺段切除术与肺叶切除术对非小细胞肺癌患者肺功能影响的荟萃分析。
J Cardiothorac Surg. 2022 May 7;17(1):107. doi: 10.1186/s13019-022-01853-3.
10
Segmentectomy versus lobectomy in small-sized peripheral non-small-cell lung cancer (JCOG0802/WJOG4607L): a multicentre, open-label, phase 3, randomised, controlled, non-inferiority trial.小型周围型非小细胞肺癌的肺段切除术与肺叶切除术比较(JCOG0802/WJOG4607L):一项多中心、开放标签、3期、随机、对照、非劣效性试验
Lancet. 2022 Apr 23;399(10335):1607-1617. doi: 10.1016/S0140-6736(21)02333-3.