Suppr超能文献

LRRC10在心脏再生过程中调节哺乳动物心肌细胞的细胞周期。

LRRC10 regulates mammalian cardiomyocyte cell cycle during heart regeneration.

作者信息

Salamon Rebecca J, McKeon Megan C, Bae Jiyoung, Zhang Xiaoya, Paltzer Wyatt G, Wanless Kayla N, Schuett Alyssa R, Nuttall Dakota J, Nemr Stephen A, Sridharan Rupa, Lee Youngsook, Kamp Timothy J, Mahmoud Ahmed I

机构信息

Department of Cell and Regenerative Biology, University of Wisconsin-Madison School of Medicine and Public Health, Madison, WI, 53705, USA.

Department of Biomolecular Chemistry, University of Wisconsin-Madison School of Medicine and Public Health, Madison, WI, 53705, USA.

出版信息

NPJ Regen Med. 2023 Jul 28;8(1):39. doi: 10.1038/s41536-023-00316-0.

Abstract

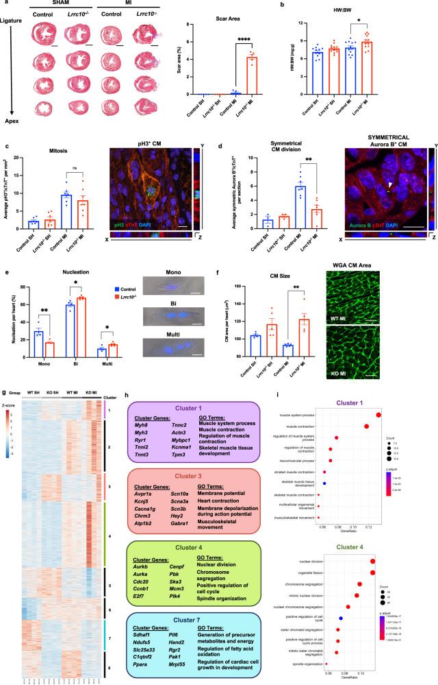
Leucine-rich repeat containing 10 (LRRC10) is a cardiomyocyte-specific protein, but its role in cardiac biology is little understood. Recently Lrrc10 was identified as required for endogenous cardiac regeneration in zebrafish; however, whether LRRC10 plays a role in mammalian heart regeneration remains unclear. In this study, we demonstrate that Lrrc10 knockout mice exhibit a loss of the neonatal mouse regenerative response, marked by reduced cardiomyocyte cytokinesis and increased cardiomyocyte binucleation. Interestingly, LRRC10 deletion disrupts the regenerative transcriptional landscape of the regenerating neonatal mouse heart. Remarkably, cardiac overexpression of LRRC10 restores cardiomyocyte cytokinesis, increases cardiomyocyte mononucleation, and the cardiac regenerative capacity of Lrrc10 mice. Our results are consistent with a model in which LRRC10 is required for cardiomyocyte cytokinesis as well as regulation of the transcriptional landscape during mammalian heart regeneration.

摘要

富含亮氨酸重复序列 10(LRRC10)是一种心肌细胞特异性蛋白,但其在心脏生物学中的作用鲜为人知。最近,Lrrc10 被确定为斑马鱼内源性心脏再生所必需的;然而,LRRC10 是否在哺乳动物心脏再生中发挥作用仍不清楚。在本研究中,我们证明 Lrrc10 基因敲除小鼠表现出新生小鼠再生反应的丧失,其特征是心肌细胞胞质分裂减少和心肌细胞双核化增加。有趣的是,LRRC10 的缺失破坏了新生小鼠再生心脏的再生转录图谱。值得注意的是,LRRC10 在心脏中的过表达可恢复心肌细胞胞质分裂,增加心肌细胞单核化,并恢复 Lrrc10 小鼠的心脏再生能力。我们的结果与一个模型一致,即 LRRC10 是心肌细胞胞质分裂以及哺乳动物心脏再生过程中转录图谱调节所必需的。

https://cdn.ncbi.nlm.nih.gov/pmc/blobs/566d/10382521/04b081a4cb9d/41536_2023_316_Fig1_HTML.jpg

文献检索

告别复杂PubMed语法,用中文像聊天一样搜索,搜遍4000万医学文献。AI智能推荐,让科研检索更轻松。

立即免费搜索

文件翻译

保留排版,准确专业,支持PDF/Word/PPT等文件格式,支持 12+语言互译。

免费翻译文档

深度研究

AI帮你快速写综述,25分钟生成高质量综述,智能提取关键信息,辅助科研写作。

立即免费体验