Suppr超能文献

镉和铅暴露对骆驼睾丸功能的影响:环境污染与生殖健康

Impact of Cadmium and Lead Exposure on Camel Testicular Function: Environmental Contamination and Reproductive Health.

作者信息

Ullah Saif, Ennab Wael, Wei Quanwei, Wang Changfa, Quddus Abdul, Mustafa Sheeraz, Hadi Tavakolikazerooni, Mao Dagan, Shi Fangxiong

机构信息

College of Animal Science and Technology, Nanjing Agricultural University, Nanjing 210095, China.

Liaocheng Research Institute of Donkey High-Efficiency, Breeding and Ecological Feeding, College of Agronomy, Liaocheng 252000, China.

出版信息

Animals (Basel). 2023 Jul 14;13(14):2302. doi: 10.3390/ani13142302.

Abstract

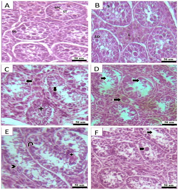
The free grazing habits of camels from various sources may cause heavy metals to bioaccumulate in their tissues and organs, possibly resulting in higher amounts of these toxic substances in their bodies over time. The aim of this study was to assess the exposure impact of lead (Pb) and cadmium (Cd) on bull camels of the Lassi breed, aged 7 to 8 years, at a site near the industrial area and another two non-industrial sites, to analyze the presence of heavy metals. Samples from three sites were collected from thirty camels ( = 10/each), soil and water ( = 30), and five different plants ( = 15/each) for analysis. Testes were collected for atomic absorption spectrometry (AAS), and hematoxylin-eosin (HE) staining. Serum samples were obtained to measure testosterone levels by radioimmunoassay (RIA). Samples were obtained from plants, soil, water, blood, serum and urine for AAS. According to the results, the testes' weight, length, width, and volume significantly decreased at the industrial site compared with the other two sites as a result of exposure to Cd and Pb. Additionally, blood testosterone concentrations were considerably lower at the industrial site, indicating a detrimental impact on testicular steroidogenesis. The histological investigation of the industrial site indicated structural disturbances, including seminiferous tubule degeneration and shedding, cellular debris in seminiferous tubules, lining epithelium depletion, and vacuolation. Elevated amounts of Cd and Pb were found at the industrial site when analyzed using water, soil, plants, testes, serum, and urine. These findings demonstrate the adverse effects of Pb and Cd exposure on camel testicular function, including decreased weight and altered steroidogenesis. These findings are essential for understanding the impact of exposure to Pb and Cd on camel reproductive function and for developing successful prevention and management plans for these exposures in this species.

摘要

来自不同来源的骆驼的自由放牧习性可能会导致重金属在其组织和器官中生物累积,随着时间的推移,其体内的这些有毒物质含量可能会更高。本研究的目的是评估铅(Pb)和镉(Cd)对7至8岁的拉西品种公牛骆驼的暴露影响,研究地点在工业区附近的一个场地以及另外两个非工业区场地,以分析重金属的存在情况。从三个场地的30头骆驼(每个场地10头)、土壤和水(各30份)以及五种不同植物(每种15份)采集样本进行分析。采集睾丸用于原子吸收光谱法(AAS)和苏木精-伊红(HE)染色。获取血清样本,通过放射免疫分析法(RIA)测量睾酮水平。从植物、土壤、水、血液、血清和尿液中采集样本进行AAS分析。结果显示,由于接触镉和铅,工业区场地的睾丸重量、长度、宽度和体积与其他两个场地相比显著下降。此外,工业区场地的血液睾酮浓度明显较低,表明对睾丸类固醇生成有不利影响。对工业区场地的组织学研究表明存在结构紊乱,包括生精小管变性和脱落、生精小管内的细胞碎片、衬里上皮细胞减少以及空泡化。使用水、土壤、植物、睾丸、血清和尿液进行分析时,发现工业区场地的镉和铅含量升高。这些发现证明了铅和镉暴露对骆驼睾丸功能的不利影响,包括重量减轻和类固醇生成改变。这些发现对于了解铅和镉暴露对骆驼生殖功能的影响以及制定该物种针对这些暴露的成功预防和管理计划至关重要。

https://cdn.ncbi.nlm.nih.gov/pmc/blobs/e30a/10375966/75d15376794a/animals-13-02302-g001.jpg

文献检索

告别复杂PubMed语法,用中文像聊天一样搜索,搜遍4000万医学文献。AI智能推荐,让科研检索更轻松。

立即免费搜索

文件翻译

保留排版,准确专业,支持PDF/Word/PPT等文件格式,支持 12+语言互译。

免费翻译文档

深度研究

AI帮你快速写综述,25分钟生成高质量综述,智能提取关键信息,辅助科研写作。

立即免费体验