Suppr超能文献

与慢性骨髓炎术中清创及器械取出相关的急性中毒性休克综合征:两例报告

Acute toxic shock syndrome associated with intra-operative debridement and instrumentation removal for chronic osteomyelitis: A report of two cases.

作者信息

Ulmer Michael, Rehak Christopher R, Floyd John C P, Harris Robert M

机构信息

Jack Hughston Memorial Hospital Residency, 4401 Riverchase Drive, Phenix City, AL 36867, United States of America.

Mercer University School of Medicine, 1633 1st Avenue, Columbus, GA 31901, United States of America.

出版信息

Trauma Case Rep. 2023 Aug 7;47:100888. doi: 10.1016/j.tcr.2023.100888. eCollection 2023 Oct.

Abstract

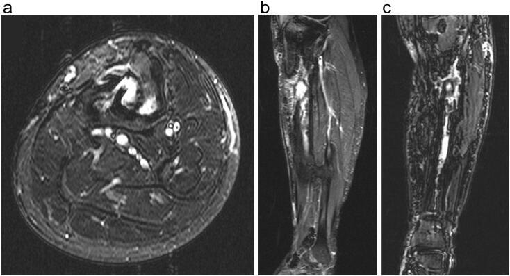
Gram-positive organisms are known causative agents in toxic shock syndrome (TSS), an acute disease caused by bacterial exotoxins. During routine instrumentation removal for chronic osteomyelitis, intraoperative debridement, reaming, and irrigation can lead to cell lysis and subsequent dissemination of the bacterium exotoxin, which can result in acute cardiovascular compromise. We present two cases of chronic osteomyelitis in healed long-bone fractures that were treated with deep instrumentation removal and surgical debridement using a reamer-irrigator-aspirator (RIA) system. Both patients had positive wound cultures and both developed acute intraoperative hypotension during the reaming/irrigation portion of the procedure. Case 1 experienced cardiac arrest and was resuscitated for several days in the ICU. Case 2 underwent intra-operative hypotension and was resuscitated appropriately. The RIA or standard reaming systems must be used with caution during debridement of osteomyelitis in the presence of known toxin producing bacteria. The risk of iatrogenic spread of infection or extravasation of intramedullary contents is present; a high index of suspicion with any change in vital signs and prompt response can help mitigate the effect of adverse outcomes associated with acute and severe intraoperative hypotension.

摘要

革兰氏阳性菌是中毒性休克综合征(TSS)的已知病原体,TSS是一种由细菌外毒素引起的急性疾病。在因慢性骨髓炎进行常规器械取出术时,术中清创、扩髓和冲洗可导致细胞溶解以及随后细菌外毒素的播散,这可能导致急性心血管功能障碍。我们报告两例愈合的长骨骨折合并慢性骨髓炎的病例,这些病例采用扩髓-冲洗-吸引(RIA)系统进行深部器械取出和外科清创治疗。两名患者伤口培养均为阳性,且在手术的扩髓/冲洗阶段均出现急性术中低血压。病例1发生心脏骤停,在重症监护病房(ICU)复苏了数天。病例2术中出现低血压并得到了适当复苏。在存在已知产毒素细菌的情况下,对骨髓炎进行清创时,必须谨慎使用RIA或标准扩髓系统。存在医源性感染传播或髓内内容物外渗的风险;对生命体征的任何变化保持高度怀疑并迅速做出反应,有助于减轻与急性和严重术中低血压相关的不良后果的影响。

https://cdn.ncbi.nlm.nih.gov/pmc/blobs/2d80/10440580/b55ae7f38fe9/gr1.jpg

相似文献

2
Reamer-Irrigator-Aspirator Multiuse Application in the Treatment of Chronic Osteomyelitis.
J Orthop Case Rep. 2019;9(5):47-50. doi: 10.13107/jocr.2250-0685.1528.
4
The use of Reamer-irrigator-aspirator in the management of long bone osteomyelitis: an update.
Eur J Trauma Emerg Surg. 2016 Aug;42(4):417-423. doi: 10.1007/s00068-016-0700-7. Epub 2016 Jul 11.
5
Clinical experience of the use of reamer irrigator aspirator in Japanese patients: A report of the first 42 cases.
J Orthop Sci. 2021 May;26(3):459-465. doi: 10.1016/j.jos.2020.04.004. Epub 2020 May 31.
7
Extended applications of the reamer-irrigator-aspirator (RIA) system.
Injury. 2017 Jun;48 Suppl 1:S47-S51. doi: 10.1016/j.injury.2017.04.025. Epub 2017 Apr 29.
8
More adverse events than expected in the outcome after use of the reamer-irrigator-aspirator.
Eur J Trauma Emerg Surg. 2014 Jun;40(3):337-41. doi: 10.1007/s00068-013-0345-8. Epub 2013 Oct 22.
9
The Reamer-Irrigator-Aspirator System: A Review.
Surg Technol Int. 2016 Oct 26;29:287-294.
10
Surgical techniques: how I do it? The Reamer/Irrigator/Aspirator (RIA) system.
Injury. 2009 Nov;40(11):1231-6. doi: 10.1016/j.injury.2009.07.070. Epub 2009 Sep 23.

本文引用的文献

1
Can we predict outcome after treatment of long bone osteomyelitis?
Bone Joint J. 2020 Nov;102-B(11):1587-1596. doi: 10.1302/0301-620X.102B11.BJJ-2020-0284.R1.
4
The use of Reamer-irrigator-aspirator in the management of long bone osteomyelitis: an update.
Eur J Trauma Emerg Surg. 2016 Aug;42(4):417-423. doi: 10.1007/s00068-016-0700-7. Epub 2016 Jul 11.
5
More adverse events than expected in the outcome after use of the reamer-irrigator-aspirator.
Eur J Trauma Emerg Surg. 2014 Jun;40(3):337-41. doi: 10.1007/s00068-013-0345-8. Epub 2013 Oct 22.
7
Reamer-irrigator-aspirator indications and clinical results: a systematic review.
Int Orthop. 2011 Jul;35(7):951-6. doi: 10.1007/s00264-010-1189-z. Epub 2011 Jan 18.
9
Streptococcal toxic shock-like syndrome. The importance of surgical intervention.
Ann Surg. 1993 Feb;217(2):109-14. doi: 10.1097/00000658-199302000-00003.

文献AI研究员

20分钟写一篇综述,助力文献阅读效率提升50倍。

立即体验

用中文搜PubMed

大模型驱动的PubMed中文搜索引擎

马上搜索

文档翻译

学术文献翻译模型,支持多种主流文档格式。

立即体验