Suppr超能文献

胃网膜动脉动脉瘤或假性动脉瘤血管内治疗后立即发生胃十二指肠动脉分支自发性破裂。

Spontaneous rupture of a gastroduodenal artery side branch immediately following endovascular treatment of gastroepiploic artery aneurysm or pseudoaneurysm.

作者信息

Salehi Mohammad Gharib, Golezar Mohammad Hossein, Goudarzi Mahmoud

机构信息

Department of Radiology Kermanshah University of Medical Sciences Kermanshah Iran.

Student Research Committee, Faculty of Medicine Shahed University Tehran Iran.

出版信息

Clin Case Rep. 2023 Aug 22;11(8):e7835. doi: 10.1002/ccr3.7835. eCollection 2023 Aug.

Abstract

KEY CLINICAL MASSAGE

Pseudoaneurysms and aneurysms of the visceral arteries are rare entities. To the best of our knowledge, rupture of a proximal parental artery during endovascular treatment of a visceral aneurism/pseudoaneurysm has not been reported and should be kept in mind as a tragic possibility immediately following an apparently successful management of them.

ABSTRACT

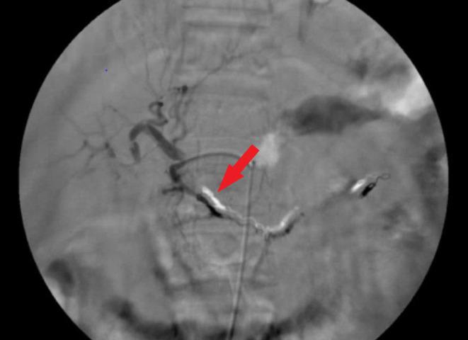
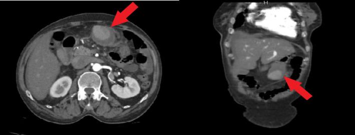
A 55-year-old woman with a history of coronary artery disease was referred to our hospital with abdominal pain as her primary complaint. Early works revealed anemia, a small amount of free peritoneal fluid, and a possible large aneurysm or pseudoaneurysm by the greater curvature of the stomach. She underwent emergency angiography that showed a large aneurism/pseudoaneurysm of the gastroepiploic artery. Successful embolization of the lesion was performed using the isolation technique. Perforation of a side branch of the gastroduodenal artery was observed on the immediate postembolization control angiography. Therefore, parent artery coiling was done immediately with good results. She was symptom-free and stable hemodynamically after the procedure, during the hospital course, and in the follow-ups.

摘要

关键临床要点

内脏动脉假性动脉瘤和动脉瘤是罕见疾病。据我们所知,内脏动脉瘤/假性动脉瘤血管内治疗期间近端供血动脉破裂尚未见报道,在看似成功处理这些病变后应立即将其视为一种悲剧性可能加以考虑。

摘要

一名有冠状动脉疾病史的55岁女性因腹痛为主诉被转诊至我院。早期检查发现贫血、少量腹腔游离液体,胃大弯处可能存在大动脉瘤或假性动脉瘤。她接受了急诊血管造影,显示胃网膜动脉有一个大动脉瘤/假性动脉瘤。采用隔离技术成功栓塞了该病变。栓塞后即刻控制血管造影观察到胃十二指肠动脉一分支穿孔。因此,立即对供血动脉进行了弹簧圈栓塞,效果良好。术后、住院期间及随访过程中她均无症状且血流动力学稳定。

https://cdn.ncbi.nlm.nih.gov/pmc/blobs/743e/10444941/765442d568c3/CCR3-11-e7835-g005.jpg

文献AI研究员

20分钟写一篇综述,助力文献阅读效率提升50倍。

立即体验

用中文搜PubMed

大模型驱动的PubMed中文搜索引擎

马上搜索

文档翻译

学术文献翻译模型,支持多种主流文档格式。

立即体验