• 文献检索
  • 文档翻译
  • 深度研究
  • 学术资讯
  • Suppr Zotero 插件Zotero 插件
  • 邀请有礼
  • 套餐&价格
  • 历史记录
应用&插件
Suppr Zotero 插件Zotero 插件浏览器插件Mac 客户端Windows 客户端微信小程序
定价
高级版会员购买积分包购买API积分包
服务
文献检索文档翻译深度研究API 文档MCP 服务
关于我们
关于 Suppr公司介绍联系我们用户协议隐私条款
关注我们

Suppr 超能文献

核心技术专利:CN118964589B侵权必究
粤ICP备2023148730 号-1Suppr @ 2026

文献检索

告别复杂PubMed语法,用中文像聊天一样搜索,搜遍4000万医学文献。AI智能推荐,让科研检索更轻松。

立即免费搜索

文件翻译

保留排版,准确专业,支持PDF/Word/PPT等文件格式,支持 12+语言互译。

免费翻译文档

深度研究

AI帮你快速写综述,25分钟生成高质量综述,智能提取关键信息,辅助科研写作。

立即免费体验

成人起病型自身免疫性肠病罕见病例的联合治疗

A Combination Therapy in a Rare Case of Adult-Onset Autoimmune Enteropathy.

作者信息

Amer Bushra, Khozaig Waleed H, Alhadad Monia T, Abdelrahman Nadir

机构信息

Department of Family Medicine, Michigan State University College of Human Medicine, East Lansing, USA.

Department of Gastroenterology, Prince Mohammed Bin Abdulaziz Hospital, Riyadh, SAU.

出版信息

Cureus. 2023 Jul 27;15(7):e42538. doi: 10.7759/cureus.42538. eCollection 2023 Jul.

DOI:10.7759/cureus.42538
PMID:37637519
原文链接:https://pmc.ncbi.nlm.nih.gov/articles/PMC10460121/
Abstract

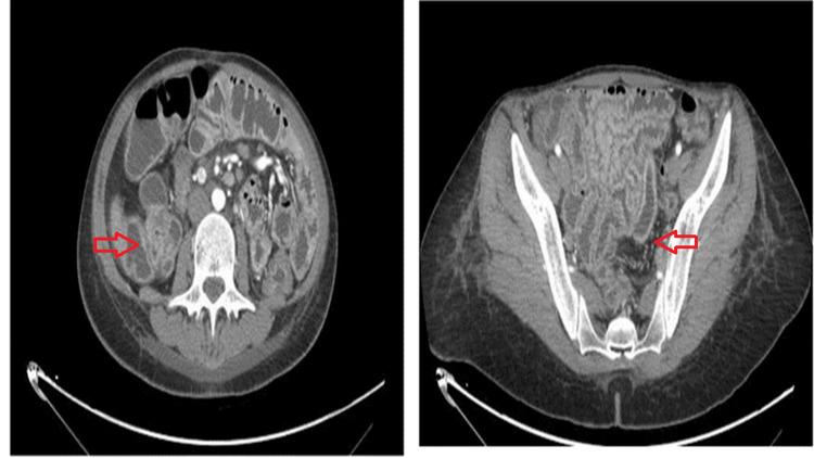
Autoimmune enteropathy (AIE) is a differential diagnosis of incurable chronic diarrhea, malnutrition, and weight loss. This type of diarrhea is associated with protein enteropathy that usually affects the small intestine. The diagnosis of AIE is based on chronic diarrhea, malabsorption, specific histological result, antibodies against enterocytes, and excluding similar conditions. In this case, a 28-year-old female presented with diarrhea, lower limb edema, weight loss, and electrolyte imbalances. Endoscopic examination demonstrated duodenal villous atrophy, while duodenal biopsies revealed villous blunting, scattered intraepithelial lymphocytes, and crypt hyperplasia in the lamina propria. The patient was treated with immunosuppressive treatment including methylprednisolone and azathioprine, achieving clinical remission.

摘要

自身免疫性肠病(AIE)是一种难以治愈的慢性腹泻、营养不良和体重减轻的鉴别诊断疾病。这种类型的腹泻与通常影响小肠的蛋白质肠病有关。AIE的诊断基于慢性腹泻、吸收不良、特定的组织学结果、抗肠上皮细胞抗体以及排除类似病症。在本病例中,一名28岁女性出现腹泻、下肢水肿、体重减轻和电解质失衡。内镜检查显示十二指肠绒毛萎缩,而十二指肠活检显示绒毛变钝、固有层散在的上皮内淋巴细胞以及隐窝增生。该患者接受了包括甲泼尼龙和硫唑嘌呤在内的免疫抑制治疗,实现了临床缓解。

https://cdn.ncbi.nlm.nih.gov/pmc/blobs/b6fc/10460121/f024cab317e8/cureus-0015-00000042538-i03.jpg
https://cdn.ncbi.nlm.nih.gov/pmc/blobs/b6fc/10460121/d2f87cabbac8/cureus-0015-00000042538-i01.jpg
https://cdn.ncbi.nlm.nih.gov/pmc/blobs/b6fc/10460121/d917da13855b/cureus-0015-00000042538-i02.jpg
https://cdn.ncbi.nlm.nih.gov/pmc/blobs/b6fc/10460121/f024cab317e8/cureus-0015-00000042538-i03.jpg
https://cdn.ncbi.nlm.nih.gov/pmc/blobs/b6fc/10460121/d2f87cabbac8/cureus-0015-00000042538-i01.jpg
https://cdn.ncbi.nlm.nih.gov/pmc/blobs/b6fc/10460121/d917da13855b/cureus-0015-00000042538-i02.jpg
https://cdn.ncbi.nlm.nih.gov/pmc/blobs/b6fc/10460121/f024cab317e8/cureus-0015-00000042538-i03.jpg

相似文献

1
A Combination Therapy in a Rare Case of Adult-Onset Autoimmune Enteropathy.成人起病型自身免疫性肠病罕见病例的联合治疗
Cureus. 2023 Jul 27;15(7):e42538. doi: 10.7759/cureus.42538. eCollection 2023 Jul.
2
Autoimmune Enteropathy: A Rare Cause of Chronic Diarrhea in an Adult Patient.自身免疫性肠病:成人患者慢性腹泻的罕见病因。
ACG Case Rep J. 2023 Mar 13;10(3):e01009. doi: 10.14309/crj.0000000000001009. eCollection 2023 Mar.
3
Adult-Onset Autoimmune Enteropathy Mimicking Disaccharidase Deficiency.酷似双糖酶缺乏症的成人起病型自身免疫性肠病
Gastroenterology Res. 2024 Aug;17(4):189-193. doi: 10.14740/gr1737. Epub 2024 Jul 18.
4
Adult autoimmune enteropathy: Mayo Clinic Rochester experience.成人自身免疫性肠病:梅奥诊所罗切斯特院区的经验
Clin Gastroenterol Hepatol. 2007 Nov;5(11):1282-90; quiz 1245. doi: 10.1016/j.cgh.2007.05.013. Epub 2007 Aug 1.
5
Pediatric autoimmune enteropathy: an entity frequently associated with immunodeficiency disorders.小儿自身免疫性肠炎:一种常与免疫缺陷疾病相关的疾病。
Mod Pathol. 2014 Apr;27(4):543-53. doi: 10.1038/modpathol.2013.150. Epub 2013 Sep 20.
6
[Adult-onset generalized autoimmune enteropathy involving small intestine and colon: report of a case and review of literature].[成人起病的累及小肠和结肠的全身性自身免疫性肠病:一例报告及文献复习]
Zhonghua Bing Li Xue Za Zhi. 2015 Jan;44(1):32-6.
7
Clinical characteristics and management of autoimmune enteropathy in children: case reports and literature review.儿童自身免疫性肠病的临床特征和治疗:病例报告及文献复习。
BMC Pediatr. 2023 Nov 28;23(1):601. doi: 10.1186/s12887-023-04435-x.
8
Adult autoimmune enteropathy in autoimmune hepatitis patient. Case report and literature review.自身免疫性肝炎患者的成人自身免疫性肠病。病例报告及文献复习。
Clin Res Hepatol Gastroenterol. 2021 May;45(3):101673. doi: 10.1016/j.clinre.2021.101673. Epub 2021 Mar 17.
9
Seronegative autoimmune enteropathy with duodenal sparing and colonic clues in an adult female.血清阴性自身免疫性肠炎伴十二指肠炎和结肠线索,见于成年女性。
Clin J Gastroenterol. 2021 Apr;14(2):546-550. doi: 10.1007/s12328-020-01336-9. Epub 2021 Feb 25.
10
Adult-Onset Autoimmune Enteropathy in an European Tertiary Referral Center.成人发病的自身免疫性肠病:一家欧洲三级转诊中心的病例分析。
Clin Transl Gastroenterol. 2021 Aug 1;12(8):e00387. doi: 10.14309/ctg.0000000000000387.

引用本文的文献

1
Advances and challenges in diagnosing and managing adult autoimmune enteropathy.成人自身免疫性肠病诊断与管理的进展及挑战
World J Gastroenterol. 2025 Jan 14;31(2):99118. doi: 10.3748/wjg.v31.i2.99118.

本文引用的文献

1
Nomenclature and diagnosis of seronegative coeliac disease and chronic non-coeliac enteropathies in adults: the Paris consensus.成人血清阴性乳糜泻和慢性非乳糜泻肠病的命名和诊断:巴黎共识。
Gut. 2022 Nov;71(11):2218-2225. doi: 10.1136/gutjnl-2021-326645. Epub 2022 Jun 8.
2
Enteropathies with villous atrophy but negative coeliac serology in adults: current issues.成人绒毛萎缩性肠病但乳糜泻血清学阴性:当前问题。
BMJ Open Gastroenterol. 2021 Nov;8(1). doi: 10.1136/bmjgast-2021-000630.
3
Management of Small Bowel Villous Atrophy in Patients Seronegative for Celiac Disease.
乳糜泻血清学阴性患者小肠绒毛萎缩的管理
Am J Gastroenterol. 2020 Apr;115(4):492-497. doi: 10.14309/ajg.0000000000000575.
4
Features of Adult Autoimmune Enteropathy Compared With Refractory Celiac Disease.成人自身免疫性肠病与难治性乳糜泻的特征比较。
Clin Gastroenterol Hepatol. 2018 Jun;16(6):877-883.e1. doi: 10.1016/j.cgh.2017.12.044. Epub 2018 Jan 4.
5
Autoimmune enteropathies.自身免疫性肠病
Virchows Arch. 2018 Jan;472(1):55-66. doi: 10.1007/s00428-017-2243-7. Epub 2017 Oct 11.
6
Seronegative Adult Autoimmune Enteropathy in a Male Traveler.一名男性旅行者的血清阴性成人自身免疫性肠病
ACG Case Rep J. 2017 Feb 1;4:e19. doi: 10.14309/crj.2017.19. eCollection 2017.
7
A rare cause of intractable diarrhea.顽固性腹泻的罕见病因。
Eur J Intern Med. 2017 Mar;38:e6-e7. doi: 10.1016/j.ejim.2016.09.027. Epub 2016 Oct 13.
8
Autoimmune enteropathy: not all flat mucosa mean coeliac disease.自身免疫性肠病:并非所有扁平黏膜都意味着乳糜泻。
Gastroenterol Hepatol Bed Bench. 2016 Spring;9(2):140-5.
9
Wireless capsule endoscopy as a tool in diagnosing autoimmune enteropathy.无线胶囊内镜作为诊断自身免疫性肠病的一种工具。
BMJ Case Rep. 2015 Jul 6;2015:bcr2014207931. doi: 10.1136/bcr-2014-207931.
10
Autoimmune enteropathy: a review and update of clinical management.自身免疫性肠病:临床管理综述与更新
Curr Gastroenterol Rep. 2012 Oct;14(5):380-5. doi: 10.1007/s11894-012-0276-2.