Suppr超能文献

青少年复发性腮腺炎:一名8岁男孩右侧腮腺急性肿胀伴疼痛

Juvenile Recurrent Parotitis: An Eight-Year-Old Boy With a Painful Acute Right-Sided Parotid Swelling.

作者信息

Alkusayer Meshael M, Alshehri Reham S, Alkhoudairy Reema S, Alahmadi Rawan M, Albdah Abdullah A

机构信息

Otolaryngology, Head and Neck Surgery, King Saud Medical City, Riyadh, SAU.

College of Medicine, Princess Nourahbint Abdulrahman University, Riyadh, SAU.

出版信息

Cureus. 2023 Jul 28;15(7):e42632. doi: 10.7759/cureus.42632. eCollection 2023 Jul.

Abstract

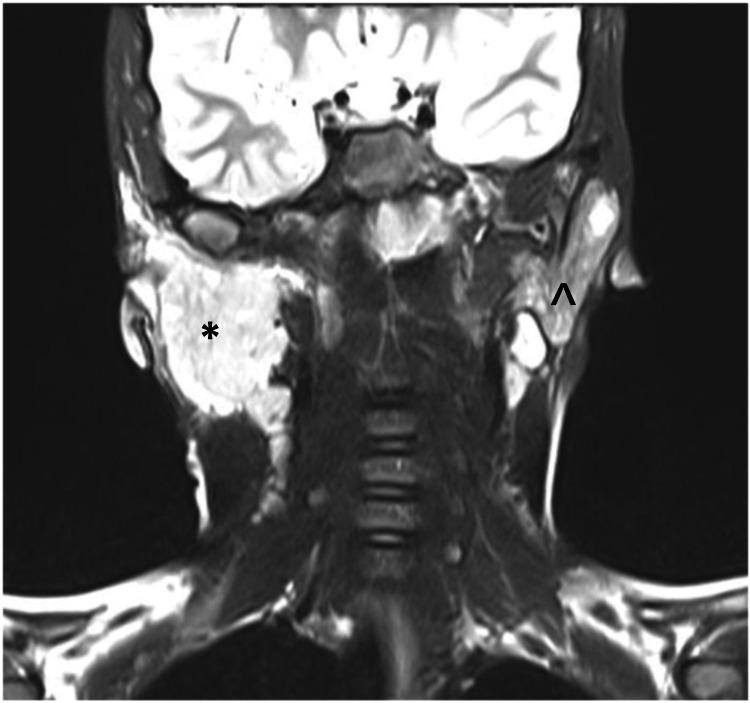
Juvenile recurrent parotitis (JRP) is a rare recurrent non-obstructive inflammatory swelling of the parotid gland occurring most commonly in children aged three to six years. JRP is usually idiopathic and presents as a painful swelling recurring on either side of the face at least twice within six months. We report the case of an eight-year-old Saudi boy with a painful acute right-sided parotid swelling and a history of similar occurrences bilaterally at least four times a year for two years. The routine laboratory investigations were unremarkable. Ultrasonography of the parotid glands suggested parotitis with cervical lymphadenopathy. He was treated conservatively and remained asymptomatic for a year. Although rare, an accurate diagnosis of JRP is possible with adequate history, physical examination, and lab investigations, supplemented with radiographic findings.

摘要

青少年复发性腮腺炎(JRP)是一种罕见的、复发性的、非阻塞性腮腺炎性肿胀,最常见于3至6岁的儿童。JRP通常为特发性,表现为面部两侧至少在6个月内复发两次的疼痛性肿胀。我们报告一例8岁沙特男孩,其右侧腮腺出现疼痛性急性肿胀,且有两年间每年至少双侧类似发作4次的病史。常规实验室检查无异常。腮腺超声检查提示腮腺炎伴颈部淋巴结病。他接受了保守治疗,一年内无症状。尽管罕见,但通过详细的病史、体格检查、实验室检查,并辅以影像学检查结果,有可能准确诊断JRP。

https://cdn.ncbi.nlm.nih.gov/pmc/blobs/6fc8/10460917/31405683de26/cureus-0015-00000042632-i01.jpg

文献AI研究员

20分钟写一篇综述,助力文献阅读效率提升50倍。

立即体验

用中文搜PubMed

大模型驱动的PubMed中文搜索引擎

马上搜索

文档翻译

学术文献翻译模型,支持多种主流文档格式。

立即体验