Ulhaq Ehsan, Loufopoulos Ioannis, Halahakoon Vijitha Chandima
General and Colorectal Surgery, Colchester Hospital/East Suffolk North Essex NHS Foundation Trust, Colchester, GBR.
Cureus. 2023 Jul 29;15(7):e42642. doi: 10.7759/cureus.42642. eCollection 2023 Jul.
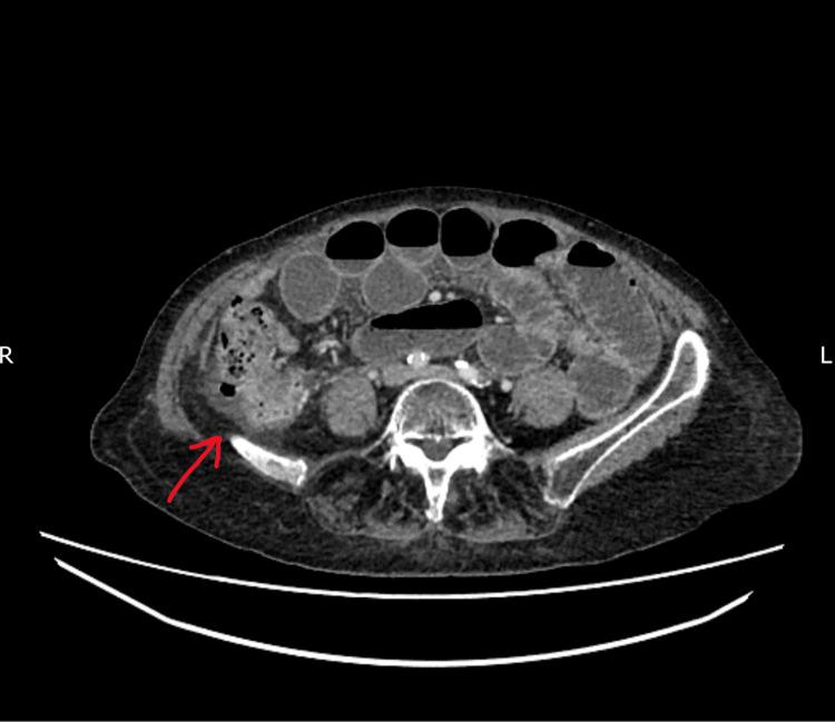
Para-caecal hernias are a rare type of internal hernias. They can cause bowel obstruction, leading to strangulation of the bowel. As such, urgent diagnosis and appropriate management are important. Both laparoscopic and open approaches are options in terms of surgical treatment. We report a case of a para-caecal hernia causing small bowel obstruction and highlight the laparoscopic approach as a feasible and effective way of management.
盲肠旁疝是一种罕见的内疝类型。它们可导致肠梗阻,进而引起肠绞窄。因此,紧急诊断和恰当处理很重要。在手术治疗方面,腹腔镜和开放手术都是选择。我们报告一例导致小肠梗阻的盲肠旁疝病例,并强调腹腔镜手术是一种可行且有效的处理方式。