• 文献检索
  • 文档翻译
  • 深度研究
  • 学术资讯
  • Suppr Zotero 插件Zotero 插件
  • 邀请有礼
  • 套餐&价格
  • 历史记录
应用&插件
Suppr Zotero 插件Zotero 插件浏览器插件Mac 客户端Windows 客户端微信小程序
定价
高级版会员购买积分包购买API积分包
服务
文献检索文档翻译深度研究API 文档MCP 服务
关于我们
关于 Suppr公司介绍联系我们用户协议隐私条款
关注我们

Suppr 超能文献

核心技术专利:CN118964589B侵权必究
粤ICP备2023148730 号-1Suppr @ 2026

文献检索

告别复杂PubMed语法,用中文像聊天一样搜索,搜遍4000万医学文献。AI智能推荐,让科研检索更轻松。

立即免费搜索

文件翻译

保留排版,准确专业,支持PDF/Word/PPT等文件格式,支持 12+语言互译。

免费翻译文档

深度研究

AI帮你快速写综述,25分钟生成高质量综述,智能提取关键信息,辅助科研写作。

立即免费体验

异维A酸作为嗜酸性粒细胞性食管炎和嗜酸性粒细胞性胃肠炎的可能病因:一例报告

Isotretinoin as a Possible Cause for Eosinophilic Esophagitis and Eosinophilic Gastroenteritis: A Case Report.

作者信息

Nizam Anjala, Gaballah Sarah, Al Ozaibi Labib, Raman Lakshmiah G

机构信息

Department of Medicine and Surgery, Dubai Academic Health Corporation, Dubai, ARE.

Department of General Surgery, Rashid Hospital, Dubai, ARE.

出版信息

Cureus. 2023 Jul 29;15(7):e42649. doi: 10.7759/cureus.42649. eCollection 2023 Jul.

DOI:10.7759/cureus.42649
PMID:37644953
原文链接:https://pmc.ncbi.nlm.nih.gov/articles/PMC10461599/
Abstract

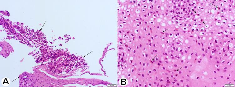
A 39-year-old female patient who took isotretinoin for severe acne for around six months presented with severe upper abdominal pain, as well as abdominal distention. Initially, she was diagnosed with acute cholecystitis due to the presence of gallstones on ultrasound. However, additional imaging showed mural thickening of the bowel, for which she underwent further work-up. Laboratory investigations showed raised inflammatory markers along with eosinophilia. Concurrently, bedside paracentesis showed raised levels of eosinophils. The patient underwent an endoscopic assessment, which revealed eosinophilic esophagitis and gastroenteritis likely to be induced by isotretinoin. Following the discontinuation of isotretinoin and the initiation of corticosteroid therapy, the patient's clinical condition improved significantly. The diagnosis of eosinophilic gastrointestinal disorders, though rare, must be kept in mind when patients on long-term isotretinoin treatment or with other risk factors present with symptoms such as dysphagia, abdominal pain, odynophagia, nausea, and vomiting.

摘要

一名39岁女性患者因重度痤疮服用异维A酸约六个月,出现严重上腹部疼痛及腹胀。最初,超声检查发现胆结石,她被诊断为急性胆囊炎。然而,进一步的影像学检查显示肠壁增厚,为此她接受了进一步检查。实验室检查显示炎症标志物升高以及嗜酸性粒细胞增多。同时,床边腹腔穿刺显示嗜酸性粒细胞水平升高。患者接受了内镜评估,结果显示为嗜酸性食管炎和胃肠炎,可能由异维A酸诱发。停用异维A酸并开始使用皮质类固醇治疗后,患者的临床状况显著改善。对于长期服用异维A酸或存在其他风险因素且出现吞咽困难、腹痛、吞咽痛、恶心和呕吐等症状的患者,必须考虑到嗜酸性胃肠道疾病的诊断,尽管这种疾病很罕见。

https://cdn.ncbi.nlm.nih.gov/pmc/blobs/7f67/10461599/2806043c6c1f/cureus-0015-00000042649-i02.jpg
https://cdn.ncbi.nlm.nih.gov/pmc/blobs/7f67/10461599/b19fd4e3caab/cureus-0015-00000042649-i01.jpg
https://cdn.ncbi.nlm.nih.gov/pmc/blobs/7f67/10461599/2806043c6c1f/cureus-0015-00000042649-i02.jpg
https://cdn.ncbi.nlm.nih.gov/pmc/blobs/7f67/10461599/b19fd4e3caab/cureus-0015-00000042649-i01.jpg
https://cdn.ncbi.nlm.nih.gov/pmc/blobs/7f67/10461599/2806043c6c1f/cureus-0015-00000042649-i02.jpg

相似文献

1
Isotretinoin as a Possible Cause for Eosinophilic Esophagitis and Eosinophilic Gastroenteritis: A Case Report.异维A酸作为嗜酸性粒细胞性食管炎和嗜酸性粒细胞性胃肠炎的可能病因:一例报告
Cureus. 2023 Jul 29;15(7):e42649. doi: 10.7759/cureus.42649. eCollection 2023 Jul.
2
Eosinophilic Ascites: An Infrequent Presentation of Eosinophilic Gastroenteritis.嗜酸性腹水:嗜酸性胃肠炎的罕见表现
Cureus. 2022 Apr 20;14(4):e24303. doi: 10.7759/cureus.24303. eCollection 2022 Apr.
3
Eosinophilic ascites as an uncommon presentation of eosinophilic gastroenteritis: A case report.嗜酸性腹水作为嗜酸性胃肠炎的一种不常见表现:病例报告。
Arab J Gastroenterol. 2021 Jun;22(2):184-186. doi: 10.1016/j.ajg.2021.02.002. Epub 2021 Jun 2.
4
Eosinophilic ascites: a diagnostic challenge.嗜酸性粒细胞性腹水:一项诊断挑战。
BMJ Case Rep. 2016 Sep 6;2016:bcr2016216791. doi: 10.1136/bcr-2016-216791.
5
Eosinophilic ascites, as a rare presentation of eosinophilic gastroenteritis.嗜酸性腹水是嗜酸性胃肠炎的一种罕见表现。
Hippokratia. 2014 Jul-Sep;18(3):275-7.
6
Clinical characteristics, treatment outcomes, and resource utilization in children and adults with eosinophilic gastroenteritis.嗜酸性胃肠炎儿童和成人的临床特征、治疗结果及资源利用情况
Dig Liver Dis. 2015 Mar;47(3):197-201. doi: 10.1016/j.dld.2014.11.009. Epub 2014 Nov 24.
7
Eosinophilic esophagitis in children: symptoms, histology and pH probe results.儿童嗜酸性粒细胞性食管炎:症状、组织学及pH探头检测结果
J Pediatr Gastroenterol Nutr. 2004 Oct;39(4):373-7. doi: 10.1097/00005176-200410000-00013.
8
Eosinophilic Gastroenteritis Causing Small Bowel Diverticulosis and Volvulus: A Case Report.嗜酸粒细胞性胃肠炎致小肠憩室和扭转 1 例报告。
Am J Case Rep. 2021 Oct 5;22:e933180. doi: 10.12659/AJCR.933180.
9
Acute acalculous cholecystitis with eosinophilic infiltration.伴有嗜酸性粒细胞浸润的急性非结石性胆囊炎
Pediatr Int. 2015 Aug;57(4):788-91. doi: 10.1111/ped.12650.
10
Eosinophilic ascites: A case report and literature review.嗜酸性粒细胞性腹水:一例病例报告及文献综述。
J Family Community Med. 2015 Sep-Dec;22(3):183-5. doi: 10.4103/2230-8229.163042.

引用本文的文献

1
Eosinophilic gastroenteritis with severe gastrointestinal intolerance: A case report and literature review.伴有严重胃肠道不耐受的嗜酸性粒细胞性胃肠炎:一例报告及文献综述
J Int Med Res. 2025 Apr;53(4):3000605251332886. doi: 10.1177/03000605251332886. Epub 2025 Apr 30.
2
A Case Report of Isotretinoin: Acute Eosinophilic Pneumonia, A Rare Adverse Reaction.异维A酸致急性嗜酸性粒细胞性肺炎1例报告:一种罕见的不良反应
Indian J Dermatol. 2024 Nov-Dec;69(6):487. doi: 10.4103/ijd.ijd_75_24. Epub 2024 Oct 29.

本文引用的文献

1
mRNA COVID-19 Vaccine-Associated Subserosal Eosinophilic Gastroenteritis: A Case Report.mRNA COVID-19 疫苗相关黏膜下嗜酸性胃肠炎:病例报告。
J Korean Med Sci. 2022 Aug 1;37(30):e233. doi: 10.3346/jkms.2022.37.e233.
2
Eosinophilic Esophagitis: A Review.嗜酸性粒细胞性食管炎:综述。
JAMA. 2021 Oct 5;326(13):1310-1318. doi: 10.1001/jama.2021.14920.
3
Eosinophilic gastroenteritis in a melanoma patient treated with nivolumab.一名接受纳武单抗治疗的黑色素瘤患者发生嗜酸性粒细胞性胃肠炎。
J Dermatol. 2021 Oct;48(10):E486-E487. doi: 10.1111/1346-8138.16036. Epub 2021 Jun 20.
4
Eosinophilic gastrointestinal diseases beyond eosinophilic esophagitis.嗜酸性粒细胞性胃肠道疾病不仅仅局限于嗜酸性粒细胞性食管炎。
Ann Allergy Asthma Immunol. 2018 Aug;121(2):162-167. doi: 10.1016/j.anai.2018.06.013. Epub 2018 Jun 22.
5
Eosinophilic gastroenteritis: Approach to diagnosis and management.嗜酸性胃肠炎:诊断与管理方法
World J Gastrointest Pharmacol Ther. 2016 Nov 6;7(4):513-523. doi: 10.4292/wjgpt.v7.i4.513.
6
Eosinophilic gastroenteritis: A state-of-the-art review.嗜酸性胃肠炎:最新综述
J Gastroenterol Hepatol. 2017 Jan;32(1):64-72. doi: 10.1111/jgh.13463.
7
Guidelines of care for the management of acne vulgaris.寻常痤疮治疗的指南。
J Am Acad Dermatol. 2016 May;74(5):945-73.e33. doi: 10.1016/j.jaad.2015.12.037. Epub 2016 Feb 17.
8
Esophageal ulcers: a possible adverse effect of isotretinoin.食管溃疡:异维A酸的一种可能不良反应。
Turk J Gastroenterol. 2013;24(6):562-3.
9
Eosinophilic gastroenteritis: an update.嗜酸粒细胞性胃肠炎:更新。
Expert Rev Gastroenterol Hepatol. 2012 Sep;6(5):591-601. doi: 10.1586/egh.12.42.
10
Adult eosinophilic gastroenteritis and hypereosinophilic syndromes.成人嗜酸性粒细胞性胃肠炎和高嗜酸性粒细胞综合征
World J Gastroenterol. 2008 Nov 28;14(44):6771-3. doi: 10.3748/wjg.14.6771.