• 文献检索
  • 文档翻译
  • 深度研究
  • 学术资讯
  • Suppr Zotero 插件Zotero 插件
  • 邀请有礼
  • 套餐&价格
  • 历史记录
应用&插件
Suppr Zotero 插件Zotero 插件浏览器插件Mac 客户端Windows 客户端微信小程序
定价
高级版会员购买积分包购买API积分包
服务
文献检索文档翻译深度研究API 文档MCP 服务
关于我们
关于 Suppr公司介绍联系我们用户协议隐私条款
关注我们

Suppr 超能文献

核心技术专利:CN118964589B侵权必究
粤ICP备2023148730 号-1Suppr @ 2026

文献检索

告别复杂PubMed语法,用中文像聊天一样搜索,搜遍4000万医学文献。AI智能推荐,让科研检索更轻松。

立即免费搜索

文件翻译

保留排版,准确专业,支持PDF/Word/PPT等文件格式,支持 12+语言互译。

免费翻译文档

深度研究

AI帮你快速写综述,25分钟生成高质量综述,智能提取关键信息,辅助科研写作。

立即免费体验

一名患有DADA2突变的42岁患者的脑动脉瘤和复发性短暂性脑缺血发作:病例报告

Cerebral Aneurysms and Recurrent TIAs in a 42-Year-Old Patient With DADA2 Mutation: A Case Report.

作者信息

Agajany Netta, Horev Liran, Agajany Netanel, Kenan Gilad

机构信息

From the Departments of Neurology (Netta Agajany, G.K.) and Dermatology (L.H.) and Pediatrics (Netanel Agajany), Shamir Medical Center.

出版信息

Neurol Genet. 2023 Aug 28;9(5):e200097. doi: 10.1212/NXG.0000000000200097. eCollection 2023 Oct.

DOI:10.1212/NXG.0000000000200097
PMID:37646004
原文链接:https://pmc.ncbi.nlm.nih.gov/articles/PMC10461712/
Abstract

OBJECTIVES

Deficiency of adenosine deaminase 2 (DADA2) is a rare, recessively inherited autoinflammatory disease with a wide clinical spectrum of manifestations, including strokes and vasculitis.

METHODS

We report a case of a patient with DADA2 who presented with neurologic manifestations.

RESULTS

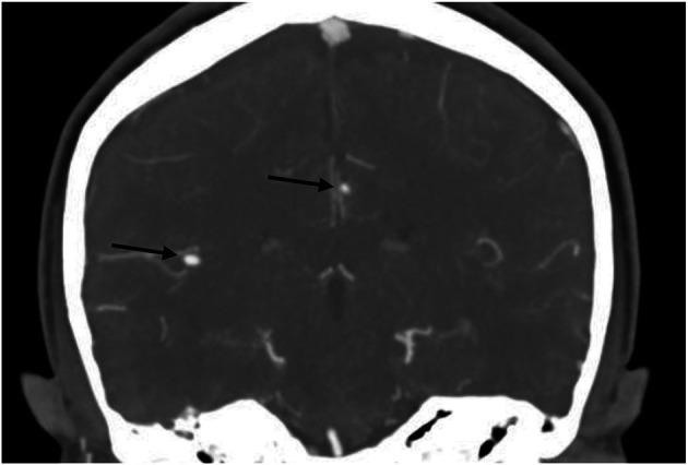
A 42-year-old woman with a known diagnosis of polyarteritis nodosa experienced several episodes of TIAs. Neuroimaging revealed 2 aneurysms in unusual locations. Her young age, ethnic origin, absent of cardiovascular risk factors, and skin involvement raised the suspicion of DADA2. Genetic testing confirmed the diagnosis, and a directed treatment with anti-TNF was initiated.

DISCUSSION

DADA2, although thought to be rare, needs to be borne in mind when evaluating patients with a combination of neurologic and systemic symptoms, as early diagnosis and treatment are imperative in preventing permanent disability.

摘要

目的

腺苷脱氨酶2(DADA2)缺乏症是一种罕见的常染色体隐性遗传性自身炎症性疾病,临床表现谱广泛,包括中风和血管炎。

方法

我们报告1例表现为神经系统症状的DADA2患者。

结果

一名已知诊断为结节性多动脉炎的42岁女性经历了数次短暂性脑缺血发作。神经影像学检查发现2个位于不寻常位置的动脉瘤。她年轻、特定种族出身、无心血管危险因素以及皮肤受累情况引发了对DADA2的怀疑。基因检测确诊了该疾病,并开始了抗TNF定向治疗。

讨论

DADA2虽然被认为罕见,但在评估伴有神经系统和全身症状的患者时需要考虑到,因为早期诊断和治疗对于预防永久性残疾至关重要。

https://cdn.ncbi.nlm.nih.gov/pmc/blobs/d24a/10461712/adb6ef44685c/NXG-2023-000112f2.jpg
https://cdn.ncbi.nlm.nih.gov/pmc/blobs/d24a/10461712/bdd2abf85f88/NXG-2023-000112f1.jpg
https://cdn.ncbi.nlm.nih.gov/pmc/blobs/d24a/10461712/adb6ef44685c/NXG-2023-000112f2.jpg
https://cdn.ncbi.nlm.nih.gov/pmc/blobs/d24a/10461712/bdd2abf85f88/NXG-2023-000112f1.jpg
https://cdn.ncbi.nlm.nih.gov/pmc/blobs/d24a/10461712/adb6ef44685c/NXG-2023-000112f2.jpg

相似文献

1
Cerebral Aneurysms and Recurrent TIAs in a 42-Year-Old Patient With DADA2 Mutation: A Case Report.一名患有DADA2突变的42岁患者的脑动脉瘤和复发性短暂性脑缺血发作:病例报告
Neurol Genet. 2023 Aug 28;9(5):e200097. doi: 10.1212/NXG.0000000000200097. eCollection 2023 Oct.
2
A 9.5-year-old boy with recurrent neurological manifestations and severe hypertension, treated initially for polyarteritis nodosa, was subsequently diagnosed with adenosine deaminase type 2 deficiency (DADA2) which responded to anti-TNF-α.一名 9.5 岁男孩出现反复的神经表现和严重高血压,最初被诊断为结节性多动脉炎,随后被诊断为腺苷脱氨酶 2 型缺乏症(DADA2),对 TNF-α 拮抗剂治疗有反应。
Paediatr Int Child Health. 2020 Feb;40(1):65-68. doi: 10.1080/20469047.2018.1559495. Epub 2019 Jan 15.
3
A case series of ten plus one deficiency of adenosine deaminase 2 (DADA2) patients in Iran.伊朗十加一腺苷脱氨酶 2 (DADA2) 缺乏症患者病例系列。
Pediatr Rheumatol Online J. 2023 Jun 13;21(1):55. doi: 10.1186/s12969-023-00838-3.
4
Expanding spectrum of DADA2: a review of phenotypes, genetics, pathogenesis and treatment.DADA2 相关疾病谱的扩展:表型、遗传学、发病机制和治疗的综述。
Clin Rheumatol. 2021 Oct;40(10):3883-3896. doi: 10.1007/s10067-021-05711-w. Epub 2021 Mar 31.
5
Systematic review of childhood-onset polyarteritis nodosa and DADA2.儿童发病型结节性多动脉炎与 DADA2 的系统综述
Semin Arthritis Rheum. 2021 Jun;51(3):559-564. doi: 10.1016/j.semarthrit.2021.04.009. Epub 2021 Apr 19.
6
ADA2 deficiency (DADA2) misdiagnosed as systemic onset juvenile idiopathic arthritis in a child carrying a novel compound heterozygous mutation: a case report.一名携带新型复合杂合突变的儿童中,腺苷脱氨酶2缺乏症(DADA2)被误诊为全身型幼年特发性关节炎:病例报告
Transl Pediatr. 2023 Jan 31;12(1):97-103. doi: 10.21037/tp-22-261. Epub 2022 Dec 28.
7
Deficiency of Adenosine Deaminase 2 (DADA2): Updates on the Phenotype, Genetics, Pathogenesis, and Treatment.腺苷脱氨酶 2 缺乏症(DADA2):表型、遗传学、发病机制和治疗的最新进展。
J Clin Immunol. 2018 Jul;38(5):569-578. doi: 10.1007/s10875-018-0525-8. Epub 2018 Jun 27.
8
Case Report: Susceptibility to viral infections and secondary hemophagocytic lymphohistiocytosis responsive to intravenous immunoglobulin as primary manifestations of adenosine deaminase 2 deficiency.病例报告:以病毒感染易感性和继发性噬血细胞性淋巴组织细胞增生症为表现的腺苷脱氨酶 2 缺乏症对静脉注射免疫球蛋白有反应。
Front Immunol. 2022 Sep 9;13:937108. doi: 10.3389/fimmu.2022.937108. eCollection 2022.
9
Identification of Novel Adenosine Deaminase 2 Gene Variants and Varied Clinical Phenotype in Pediatric Vasculitis.在儿科血管炎中鉴定新型腺苷脱氨酶 2 基因突变及不同的临床表型。
Arthritis Rheumatol. 2019 Oct;71(10):1747-1755. doi: 10.1002/art.40913. Epub 2019 Aug 26.
10
A Rare Genetic Mutation Leading to a Deficiency of Adenosine Deaminase 2 Enzyme in a Long-Standing Case of Cutaneous Polyarteritis Nodosa: A Case Report.一例长期皮肤结节性多动脉炎患者中导致腺苷脱氨酶2酶缺乏的罕见基因突变:病例报告
Cureus. 2022 Oct 14;14(10):e30295. doi: 10.7759/cureus.30295. eCollection 2022 Oct.

引用本文的文献

1
A Clinical Case Report of Deficiency of Adenosine Deaminase 2 Syndrome (DADA 2) Presenting as a Brachial Artery Aneurysm.一例表现为肱动脉瘤的腺苷脱氨酶2综合征(DADA 2)缺乏症临床病例报告
Mediterr J Rheumatol. 2025 Oct 23;36(1):136-139. doi: 10.31138/mjr.120324.dai. eCollection 2025 Mar.

本文引用的文献

1
Mechanisms of vascular inflammation in deficiency of adenosine deaminase 2 (DADA2).腺苷脱氨酶2缺乏(DADA2)时的血管炎症机制
Semin Immunopathol. 2022 May;44(3):269-280. doi: 10.1007/s00281-022-00918-8. Epub 2022 Feb 17.
2
Widening the Neuroimaging Features of Adenosine Deaminase 2 Deficiency.腺苷脱氨酶 2 缺乏症的神经影像学特征扩大。
AJNR Am J Neuroradiol. 2021 May;42(5):975-979. doi: 10.3174/ajnr.A7019. Epub 2021 Feb 25.
3
Vasculopathy, Immunodeficiency, and Bone Marrow Failure: The Intriguing Syndrome Caused by Deficiency of Adenosine Deaminase 2.
血管病变、免疫缺陷与骨髓衰竭:由腺苷脱氨酶2缺乏引起的罕见综合征
Front Pediatr. 2018 Oct 18;6:282. doi: 10.3389/fped.2018.00282. eCollection 2018.
4
Deficiency of Adenosine Deaminase 2 (DADA2): Updates on the Phenotype, Genetics, Pathogenesis, and Treatment.腺苷脱氨酶 2 缺乏症(DADA2):表型、遗传学、发病机制和治疗的最新进展。
J Clin Immunol. 2018 Jul;38(5):569-578. doi: 10.1007/s10875-018-0525-8. Epub 2018 Jun 27.
5
Stroke as Initial Manifestation of Adenosine Deaminase 2 Deficiency.腺苷脱氨酶2缺乏症以中风为首发表现
Neuropediatrics. 2017 Apr;48(2):111-114. doi: 10.1055/s-0036-1597611. Epub 2016 Dec 26.
6
Mutant adenosine deaminase 2 in a polyarteritis nodosa vasculopathy.突变的腺苷脱氨酶 2 与结节性多动脉炎血管病变。
N Engl J Med. 2014 Mar 6;370(10):921-31. doi: 10.1056/NEJMoa1307362. Epub 2014 Feb 19.
7
Early-onset stroke and vasculopathy associated with mutations in ADA2.早发性卒中和与 ADA2 突变相关的血管病变。
N Engl J Med. 2014 Mar 6;370(10):911-20. doi: 10.1056/NEJMoa1307361. Epub 2014 Feb 19.
8
Cerebral aneurysms.脑动脉瘤
N Engl J Med. 2006 Aug 31;355(9):928-39. doi: 10.1056/NEJMra052760.
9
Genesis of cerebral aneurysms--an update.脑动脉瘤的发生——最新进展
Acta Neurochir (Wien). 2001;143(5):429-48; discussion 448-9. doi: 10.1007/s007010170072.