Suppr超能文献

高迁移率族蛋白B1的尿液和血清水平

Urinary and serum levels of high mobility group box 1.

作者信息

Nakamura Toshihiko, Yoshida Atsushi, Hatanaka Daisuke, Kusakari Michiko, Takahashi Hidehiro, Katsuragi Shinji, Yamada Shingo, Kamohara Takashi

机构信息

Department of Neonatology, Japanese Musashino Red Cross Hospital, Japan.

Department of Obstetrics and Gynecology, Sakakibara Heart Institute, Japan.

出版信息

Pract Lab Med. 2023 Jul 11;36:e00327. doi: 10.1016/j.plabm.2023.e00327. eCollection 2023 Aug.

Abstract

BACKGROUND

High mobility group box 1 (HMGB-1) has been extensively studied in adults and to a certain extent in neonates as well. Clinical examination of neonates, especially unwell neonates soon after birth, should be minimally invasive.

OBJECTIVE

This study aimed to investigate whether the urinary HMGB-1 level is comparable to the serum HMGB-1 level in neonates.

METHODS

In all, 87 neonates (37.5 ± 2.9 weeks of gestation and a mean birth weight of 2588 ± 649 g) were enrolled. Of these, 53 were males and 34 were females. The umbilical cord blood and the first or second spontaneous voiding urine samples were stored, and the HMGB-1 level in the samples was measured.

RESULTS

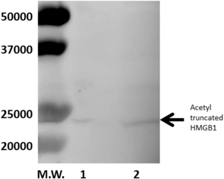
HMGB-1 was detected in all urinary samples. In these samples, we found acetylated HMGB-1 and may be devoid of nine residues at the N-terminal amino acid sequence. There was a significant correlation between the serum HMGB-1 level and urinary HMGB-1 level (r = 0.73, p < 0.001). Urinary HMGB1 levels in fetal neonatal asphyxia were significantly higher than those in healthy controls (p = 0.09).

CONCLUSION

Urinary excretion may be one of the metabolic pathways of HMGB-1. The urinary HMGB-1 level may be comparable to the serum HMGB-1 level in the early neonatal period.

摘要

背景

高迁移率族蛋白B1(HMGB-1)在成人中已得到广泛研究,在新生儿中也有一定程度的研究。对新生儿,尤其是出生后不久身体不适的新生儿进行临床检查应尽量微创。

目的

本研究旨在调查新生儿尿中HMGB-1水平是否与血清HMGB-1水平相当。

方法

共纳入87例新生儿(妊娠37.5±2.9周,平均出生体重2588±649g)。其中,男性53例,女性34例。储存脐带血和首次或第二次自然排尿的尿液样本,并测量样本中的HMGB-1水平。

结果

在所有尿液样本中均检测到HMGB-1。在这些样本中,我们发现了乙酰化HMGB-1,并且其N端氨基酸序列可能缺少9个残基。血清HMGB-1水平与尿HMGB-1水平之间存在显著相关性(r=0.73,p<0.001)。胎儿新生儿窒息时尿HMGB1水平显著高于健康对照组(p=0.09)。

结论

尿排泄可能是HMGB-1的代谢途径之一。在新生儿早期,尿HMGB-1水平可能与血清HMGB-1水平相当。

https://cdn.ncbi.nlm.nih.gov/pmc/blobs/f2bf/10462679/36cd3c81c860/gr1.jpg

文献检索

告别复杂PubMed语法,用中文像聊天一样搜索,搜遍4000万医学文献。AI智能推荐,让科研检索更轻松。

立即免费搜索

文件翻译

保留排版,准确专业,支持PDF/Word/PPT等文件格式,支持 12+语言互译。

免费翻译文档

深度研究

AI帮你快速写综述,25分钟生成高质量综述,智能提取关键信息,辅助科研写作。

立即免费体验