Suppr超能文献

1型人类嗜T细胞病毒相关的细支气管肺泡疾病伴非坏死性肉芽肿:一例报告及文献复习

Human T-cell Lymphotropic Virus Type-1-associated Bronchioloalveolar Disorder with Non-necrotizing Granulomas: A Case Report and Literature Review.

作者信息

Kimura Satomi, Umeda Yukihiro, Egashira Ryoko, Tabata Kazuhiro, Muramoto Akifumi, Morita Mihoko, Yamaguchi Makiko, Waseda Yuko, Imamura Yoshiaki, Yamauchi Takahiro, Ishizuka Tamotsu

机构信息

Division of Respiratory Medicine, University of Fukui Hospital, Japan.

Department of Radiology, Faculty of Medicine, Saga University, Japan.

出版信息

Intern Med. 2024 Apr 15;63(8):1149-1155. doi: 10.2169/internalmedicine.2201-23. Epub 2023 Sep 1.

Abstract

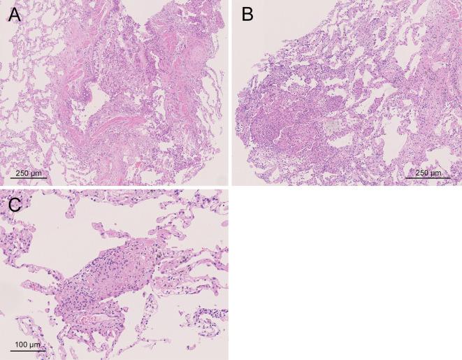
Human T-cell lymphotropic virus type-1 (HTLV-1)-associated bronchioloalveolar disorder (HABA) is a pulmonary disorder characterized by lymphocytic infiltration of the peribronchiolar space and interstitium in HTLV-1 carriers and in adult T-cell leukemia/lymphoma (ATLL). We herein report an 85-year-old woman carrying HTLV-1 with HABA who presented with a miliary pattern of micronodules in both lungs on high-resolution computed tomography and a lymphocytic infiltrate with non-necrotizing granulomas on pathology. This rare case of HABA should be differentiated from sarcoidosis, hypersensitivity pneumonitis, or miliary tuberculosis.

摘要

人类嗜T淋巴细胞病毒1型(HTLV-1)相关细支气管肺泡疾病(HABA)是一种肺部疾病,其特征为HTLV-1携带者以及成人T细胞白血病/淋巴瘤(ATLL)患者的细支气管周围间隙和间质出现淋巴细胞浸润。我们在此报告一例85岁携带HTLV-1的HABA女性患者,其高分辨率计算机断层扫描显示双肺有粟粒状小结节,病理检查显示为淋巴细胞浸润伴非坏死性肉芽肿。这种罕见的HABA病例应与结节病、过敏性肺炎或粟粒性肺结核相鉴别。

https://cdn.ncbi.nlm.nih.gov/pmc/blobs/096e/11081894/8a6b3ebe86f1/1349-7235-63-1149-g001.jpg

文献AI研究员

20分钟写一篇综述,助力文献阅读效率提升50倍。

立即体验

用中文搜PubMed

大模型驱动的PubMed中文搜索引擎

马上搜索

文档翻译

学术文献翻译模型,支持多种主流文档格式。

立即体验