Suppr超能文献

摩氏摩根菌相关性肾病综合征一例报告。

MOCOS-associated renal syndrome in a Brown Swiss cattle.

机构信息

Department of Veterinary Medical Sciences, University of Bologna, Ozzano, Italy.

Institute of Genetics, Vetsuisse Faculty, University of Bern, Bern, Switzerland.

出版信息

J Vet Intern Med. 2023 Nov-Dec;37(6):2603-2609. doi: 10.1111/jvim.16856. Epub 2023 Sep 7.

Abstract

BACKGROUND

A recessive form of MOCOS-associated xanthinuria type II is described in Tyrolean grey cattle. A similar case was identified in a 5-month-old Brown Swiss calf with hoof overgrowth, rough coat, urine sediment, and pneumonia.

HYPOTHESIS/OBJECTIVES: To characterize the disease phenotype, to evaluate its genetic etiology, and to determine the prevalence of the deleterious allele in the Brown Swiss population.

ANIMALS

An affected calf, its parents, and 65 441 Swiss dairy cattle.

METHODS

The affected animal was clinically examined and necropsied. Microarray genotyping was used to determine the genotypes and to assess the frequency of the MOCOS allele in a Brown Swiss control cohort.

RESULTS

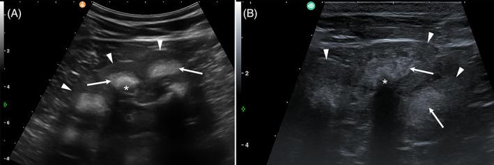
Ultrasonography revealed hyperechoic renal pyramids with multifocal distal shadowing and echogenic sediment in the urinary bladder. Necropsy revealed suppurative bronchopneumonia and urolithiasis. Histology revealed numerous nephroliths with multifocal chronic lymphohistiocytic interstitial infiltrates, fibrosis, tubular degeneration, chronic multifocal glomerulonephritis with sclerosis, and bilateral hydronephrosis. Dysplastic changes were observed in the corium of the claw and the cornea. Genetic testing identified the homozygous presence of a known MOCOS frameshift variant in the case. Both parents were heterozygous and the prevalence of carriers in genotyped Brown Swiss cattle was 1.4% (342/24337).

CONCLUSIONS AND CLINICAL IMPORTANCE

The findings were consistent with the diagnosis of a recessive renal syndrome similar to xanthinuria type II described in Tyrolean grey cattle. The prevalence of the deleterious MOCOS allele is low in the Brown Swiss breed. However, mating of carriers should be avoided to prevent further losses.

摘要

背景

特伦蒂诺灰色牛中描述了一种隐性形式的 MOCOS 相关黄嘌呤尿症 II 型。在一只 5 月龄的瑞士褐牛小牛中也发现了类似病例,该小牛表现为蹄过度生长、毛发粗糙、尿液沉淀物和肺炎。

假说/目的:描述疾病表型,评估其遗传病因,并确定有害等位基因在瑞士褐牛群体中的流行率。

动物

一只受影响的小牛、其父母和 65441 头瑞士奶牛。

方法

对受影响的动物进行临床检查和剖检。使用微阵列基因分型来确定基因型,并评估 MOCOS 等位基因在瑞士褐牛对照群体中的频率。

结果

超声检查显示肾脏锥体呈高回声,伴有多灶性远端阴影和膀胱内回声性沉淀物。剖检显示化脓性支气管肺炎和尿石症。组织学检查显示许多肾结石,伴有多灶性慢性淋巴组织细胞间质浸润、纤维化、管状变性、双侧肾盂积水。爪的真皮和角膜有发育不良变化。基因测试确定了该病例中已知 MOCOS 移码变体的纯合存在。父母均为杂合子,在基因分型的瑞士褐牛中携带者的流行率为 1.4%(342/24337)。

结论和临床意义

这些发现与在特伦蒂诺灰色牛中描述的隐性肾脏综合征相似,类似于黄嘌呤尿症 II 型的诊断结果一致。在瑞士褐牛品种中,有害 MOCOS 等位基因的流行率较低。然而,应避免携带者之间的交配,以防止进一步的损失。

https://cdn.ncbi.nlm.nih.gov/pmc/blobs/0572/10658536/a57690c48e3f/JVIM-37-2603-g006.jpg

文献AI研究员

20分钟写一篇综述,助力文献阅读效率提升50倍。

立即体验

用中文搜PubMed

大模型驱动的PubMed中文搜索引擎

马上搜索

文档翻译

学术文献翻译模型,支持多种主流文档格式。

立即体验