Suppr超能文献

颅骨成形术后双侧恶性大脑水肿——Monro-Kellie学说的延伸及预测因素

Malignant bihemispheric cerebral edema after cranioplasty - An extension of the Monro-Kellie doctrine and predictive factors.

作者信息

Bhatjiwale Mrudul Mohinish, Mariswamappa Kiran, Chandrachari Komal Prasad, Bhatjiwale Mohinish, Joshi Tanvi, Hegde Thimappa, Kulkarni Akshay Vijay

机构信息

Department of Neurosurgery, Narayana Health, Bengaluru, Karnataka, India.

Department of Neurosurgery, Chinmaya Mission Hospital, Bengaluru, Karnataka, India.

出版信息

Surg Neurol Int. 2023 Aug 4;14:271. doi: 10.25259/SNI_391_2023. eCollection 2023.

Abstract

BACKGROUND

Several changes in normal pressure dynamics on the brain occur with a decompressive craniectomy and subsequent cranioplasty. Dead space volume is an important factor contributing to intracranial volume postcranioplasty. A decrease in this volume due to negative suction drain along with relative negative pressure on the brain with the loss of external atmospheric pressure may lead to fatal cerebral edema.

CASE DESCRIPTION

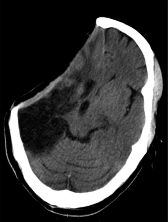
A 52-year-old gentleman with a 210 mL volume and middle cerebral artery territory infarction underwent an emergency craniectomy and 6 months later a titanium mold cranioplasty. Precranioplasty computed tomography (CT) scan evaluation revealed a sunken skin flap with a 9 mm contralateral midline shift. Immediately following an uneventful surgery, the patient had sudden fall in blood pressure to 60/40 mmHg and over a few min had dilated fixed pupils. CT revealed severe diffuse cerebral edema in bilateral hemispheres with microhemorrhages and expansion of the sunken right gliotic brain along with ipsilateral ventricular dilatation. Despite undergoing a contralateral decompressive craniectomy due to the midline shift toward the right, the outcome was fatal.

CONCLUSION

Careful preoperative risk assessment in cranioplasty and close monitoring postprocedure is crucial, especially in malnourished, poststroke cases, with a sinking skin flap syndrome, and a long interval between decompressive craniectomy and cranioplasty. Elective preventive measures and a low threshold for CT scanning and removal of the bone flap or titanium mold are recommended.

摘要

背景

减压性颅骨切除术及随后的颅骨修补术会导致脑正常压力动力学发生若干变化。死腔容积是颅骨修补术后颅内容积的一个重要影响因素。负压引流导致该容积减小,以及外部大气压力丧失导致脑相对负压,可能会引发致命性脑水肿。

病例描述

一名52岁男性,脑梗死体积为210 mL,累及大脑中动脉供血区,接受了急诊颅骨切除术,6个月后进行了钛模颅骨修补术。颅骨修补术前的计算机断层扫描(CT)评估显示皮瓣凹陷,对侧中线移位9 mm。手术顺利完成后,患者血压突然降至60/40 mmHg,几分钟内瞳孔散大固定。CT显示双侧半球严重弥漫性脑水肿,伴有微出血,右侧凹陷的胶质化脑膨出,同侧脑室扩张。尽管因中线向右移位而进行了对侧减压性颅骨切除术,但结果仍为死亡。

结论

颅骨修补术前仔细进行风险评估并在术后密切监测至关重要,尤其是在营养不良、中风后病例、存在皮瓣凹陷综合征以及减压性颅骨切除术与颅骨修补术间隔时间较长的情况下。建议采取选择性预防措施,对CT扫描以及去除骨瓣或钛模保持较低阈值。

https://cdn.ncbi.nlm.nih.gov/pmc/blobs/59bd/10481858/bea2ac1a2b22/SNI-14-271-g001.jpg

文献AI研究员

20分钟写一篇综述,助力文献阅读效率提升50倍。

立即体验

用中文搜PubMed

大模型驱动的PubMed中文搜索引擎

马上搜索

文档翻译

学术文献翻译模型,支持多种主流文档格式。

立即体验