• 文献检索
  • 文档翻译
  • 深度研究
  • 学术资讯
  • Suppr Zotero 插件Zotero 插件
  • 邀请有礼
  • 套餐&价格
  • 历史记录
应用&插件
Suppr Zotero 插件Zotero 插件浏览器插件Mac 客户端Windows 客户端微信小程序
定价
高级版会员购买积分包购买API积分包
服务
文献检索文档翻译深度研究API 文档MCP 服务
关于我们
关于 Suppr公司介绍联系我们用户协议隐私条款
关注我们

Suppr 超能文献

核心技术专利:CN118964589B侵权必究
粤ICP备2023148730 号-1Suppr @ 2026

文献检索

告别复杂PubMed语法,用中文像聊天一样搜索,搜遍4000万医学文献。AI智能推荐,让科研检索更轻松。

立即免费搜索

文件翻译

保留排版,准确专业,支持PDF/Word/PPT等文件格式,支持 12+语言互译。

免费翻译文档

深度研究

AI帮你快速写综述,25分钟生成高质量综述,智能提取关键信息,辅助科研写作。

立即免费体验

从KIT基因发生突变转变为野生型:青少年胃肠道间质瘤的去分化——病例报告

From KIT-mutated into wild-type: dedifferentiation of gastrointestinal stromal tumor in adolescent patient-a case report.

作者信息

Andrzejewska Marta, Czarny Jakub, Skalska-Sadowska Jolanta, Jończyk-Potoczna Katarzyna, Kurzawa Paweł, Wichtowski Mateusz, Wachowiak Jacek, Derwich Katarzyna

机构信息

Faculty of Medicine, Poznan University of Medical Sciences, Poznan, Poland.

Department of Pediatric Oncology, Hematology and Transplantology, Institute of Pediatrics, Poznan University of Medical Sciences, Poznan, Poland.

出版信息

J Gastrointest Oncol. 2023 Aug 31;14(4):1887-1893. doi: 10.21037/jgo-22-1111. Epub 2023 Jul 4.

DOI:10.21037/jgo-22-1111
PMID:37720439
原文链接:https://pmc.ncbi.nlm.nih.gov/articles/PMC10502532/
Abstract

BACKGROUND

Gastrointestinal stromal tumor (GIST) is the most common mesenchymal neoplasm of the gastrointestinal tract, usually found in elderly adults. It is infrequent among pediatric patients and usually differs from adult-type disease in terms of histopathology and molecular features.

CASE DESCRIPTION

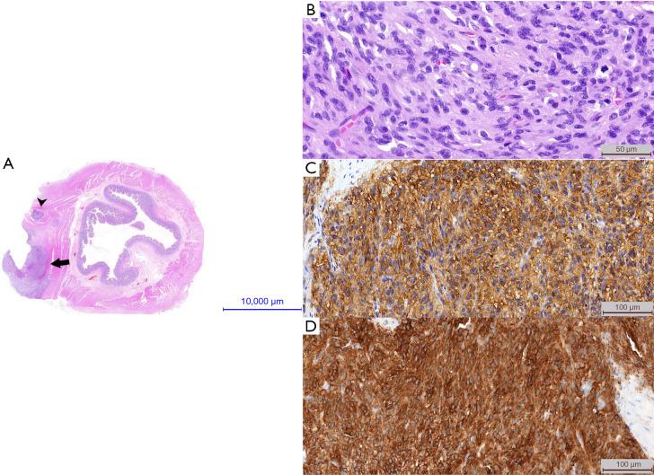
We describe the management of the disease in a 10-year-old female patient diagnosed with a GIST of the stomach. In total, she has undergone successively total tumor resection, unsuccessful imatinib treatment and subtotal gastric resection at relapse. The first genetic test from primary tumor confirmed KIT mutations in exons 13 and 17, while the repeated genetic screening using tumor sample from subtotal gastric resection revealed no KIT or platelet-derived growth factor receptor α (PDGFRA) genes mutations. Such dedifferentiation from adult type (thus KIT-mutated) into wild-type (without KIT or PDGFRA mutation) has not been reported so far to the best of our knowledge. Currently, the patient is observed, and no further pharmacological nor surgical treatment has been administered.

CONCLUSIONS

The case underlines the importance of genetic profiling combined with non-standard diagnostics (both histopathological and radiological) due to the treatment efficacy prediction. We moreover emphasize the necessity to create worldwide standards on the diagnostics and treatment of GIST in pediatric patients that would include options of targeted therapies.

摘要

背景

胃肠道间质瘤(GIST)是胃肠道最常见的间叶性肿瘤,多见于老年人。在儿科患者中并不常见,并且在组织病理学和分子特征方面通常与成人型疾病不同。

病例描述

我们描述了一名10岁女性胃GIST患者的疾病管理情况。她总共先后接受了肿瘤全切术、伊马替尼治疗失败以及复发时的胃次全切除术。原发肿瘤的首次基因检测证实外显子13和17存在KIT突变,而使用胃次全切除术后肿瘤样本进行的重复基因筛查未发现KIT或血小板衍生生长因子受体α(PDGFRA)基因突变。据我们所知,这种从成人型(即KIT突变型)向野生型(无KIT或PDGFRA突变)的去分化情况此前尚未见报道。目前,该患者正在接受观察,尚未进行进一步的药物或手术治疗。

结论

该病例强调了基因分析结合非标准诊断(包括组织病理学和放射学诊断)对于预测治疗效果的重要性。我们还强调有必要制定全球范围内儿童GIST诊断和治疗的标准,其中应包括靶向治疗方案。

https://cdn.ncbi.nlm.nih.gov/pmc/blobs/f28b/10502532/5d25c8dedb30/jgo-14-04-1887-f3.jpg
https://cdn.ncbi.nlm.nih.gov/pmc/blobs/f28b/10502532/a25b0abf8498/jgo-14-04-1887-f1.jpg
https://cdn.ncbi.nlm.nih.gov/pmc/blobs/f28b/10502532/f277ab87fa14/jgo-14-04-1887-f2.jpg
https://cdn.ncbi.nlm.nih.gov/pmc/blobs/f28b/10502532/5d25c8dedb30/jgo-14-04-1887-f3.jpg
https://cdn.ncbi.nlm.nih.gov/pmc/blobs/f28b/10502532/a25b0abf8498/jgo-14-04-1887-f1.jpg
https://cdn.ncbi.nlm.nih.gov/pmc/blobs/f28b/10502532/f277ab87fa14/jgo-14-04-1887-f2.jpg
https://cdn.ncbi.nlm.nih.gov/pmc/blobs/f28b/10502532/5d25c8dedb30/jgo-14-04-1887-f3.jpg

相似文献

1
From KIT-mutated into wild-type: dedifferentiation of gastrointestinal stromal tumor in adolescent patient-a case report.从KIT基因发生突变转变为野生型:青少年胃肠道间质瘤的去分化——病例报告
J Gastrointest Oncol. 2023 Aug 31;14(4):1887-1893. doi: 10.21037/jgo-22-1111. Epub 2023 Jul 4.
2
[Clinicopathological features and prognosis of gastrointestinal stromal tumors with gene "homozygous mutation": a multicenter retrospective cohort study].基因“纯合突变”胃肠道间质瘤的临床病理特征及预后:一项多中心回顾性队列研究
Zhonghua Wei Chang Wai Ke Za Zhi. 2021 Sep 25;24(9):804-813. doi: 10.3760/cma.j.cn.441530-20210720-00293.
3
Extra-gastrointestinal stromal tumor arising in the lesser omentum with a platelet-derived growth factor receptor alpha (PDGFRA) mutation: a case report and literature review.发生于小网膜的胃外胃肠道间质瘤伴血小板衍生生长因子受体α(PDGFRA)突变:病例报告及文献复习。
World J Surg Oncol. 2020 Jul 23;18(1):183. doi: 10.1186/s12957-020-01961-1.
4
[Clinicopathological features and prognosis of gastrointestinal stromal tumor with PDGFRA-D842V mutation].[血小板衍生生长因子受体A基因D842V突变的胃肠道间质瘤的临床病理特征及预后]
Zhonghua Wei Chang Wai Ke Za Zhi. 2020 Sep 25;23(9):872-879. doi: 10.3760/cma.j.cn.441530-20200706-00405.
5
[The importance of mutational status in prognosis and therapy of GIST].[突变状态在胃肠道间质瘤预后和治疗中的重要性]
Recenti Prog Med. 2015 Jan;106(1):17-22. doi: 10.1701/1740.18950.
6
The outcome of targeted therapy in advanced gastrointestinal stromal tumors (GIST) with non-exon 11 KIT mutations.非11号外显子KIT突变的晚期胃肠道间质瘤(GIST)靶向治疗的结果
Pol Przegl Chir. 2014 Jul;86(7):325-32. doi: 10.2478/pjs-2014-0057.
7
[Differences in clinicopathological features, gene mutations, and prognosis between primary gastric and intestinal gastrointestinal stromal tumors in 1061 patients].1061例原发性胃和肠道胃肠道间质瘤的临床病理特征、基因突变及预后差异
Zhonghua Wei Chang Wai Ke Za Zhi. 2023 Apr 25;26(4):346-356. doi: 10.3760/cma.j.cn441530-20220531-00234.
8
Concomitant KIT/BRAF and PDGFRA/BRAF mutations are rare events in gastrointestinal stromal tumors.在胃肠道间质瘤中,KIT/BRAF和PDGFRA/BRAF同时发生突变是罕见事件。
Oncotarget. 2016 May 24;7(21):30109-18. doi: 10.18632/oncotarget.8768.
9
Gastrointestinal stromal tumors - Summary of mutational status of the primary/secondary KIT/PDGFRA mutations, BRAF mutations and SDH defects.胃肠道间质瘤——原发/继发 KIT/PDGFRA 突变、BRAF 突变和 SDH 缺陷的突变状态总结。
Pathol Res Pract. 2019 Dec;215(12):152708. doi: 10.1016/j.prp.2019.152708. Epub 2019 Oct 29.
10
Remarkable effects of imatinib in a family with young onset gastrointestinal stromal tumors and cutaneous hyperpigmentation associated with a germline KIT-Trp557Arg mutation: case report and literature overview.伊马替尼对一个患有年轻发病的胃肠道间质瘤和与种系KIT-Trp557Arg突变相关的皮肤色素沉着的家族具有显著疗效:病例报告及文献综述
Fam Cancer. 2018 Apr;17(2):247-253. doi: 10.1007/s10689-017-0024-8.

本文引用的文献

1
Latest Advances in the Management of Pediatric Gastrointestinal Stromal Tumors.小儿胃肠道间质瘤治疗的最新进展
Cancers (Basel). 2022 Oct 12;14(20):4989. doi: 10.3390/cancers14204989.
2
GIST presenting as refractory iron-deficiency anaemia in paediatric patient.儿童患者以难治性缺铁性贫血为表现的 GIST。
BMJ Case Rep. 2022 Mar 9;15(3):e248365. doi: 10.1136/bcr-2021-248365.
3
Current treatment and outcomes of pediatric gastrointestinal stromal tumors (GIST): a systematic review of published studies.小儿胃肠道间质瘤(GIST)的当前治疗和结局:已发表研究的系统评价。
Pediatr Surg Int. 2021 Sep;37(9):1161-1165. doi: 10.1007/s00383-021-04931-0. Epub 2021 Jun 3.
4
Diagnosis and management of tropomyosin receptor kinase (TRK) fusion sarcomas: expert recommendations from the World Sarcoma Network.肿瘤性肌纤维母细胞肉瘤的诊断和治疗:世界肉瘤网络的专家建议。
Ann Oncol. 2020 Nov;31(11):1506-1517. doi: 10.1016/j.annonc.2020.08.2232. Epub 2020 Sep 3.
5
Mesenchymal tumors of the gastrointestinal tract with NTRK rearrangements: a clinicopathological, immunophenotypic, and molecular study of eight cases, emphasizing their distinction from gastrointestinal stromal tumor (GIST).具有 NTRK 重排的胃肠道间质瘤:8 例临床病理、免疫表型和分子研究,强调其与胃肠道间质瘤(GIST)的区别。
Mod Pathol. 2021 Jan;34(1):95-103. doi: 10.1038/s41379-020-0623-z. Epub 2020 Jul 15.
6
Gene mutational analysis by NGS and its clinical significance in patients with myelodysplastic syndrome and acute myeloid leukemia.通过二代测序进行基因变异分析及其在骨髓增生异常综合征和急性髓系白血病患者中的临床意义。
Exp Hematol Oncol. 2020 Jan 6;9:2. doi: 10.1186/s40164-019-0158-5. eCollection 2020.
7
Pediatric gastrointestinal stromal tumor: Report of two novel patients harboring germline variants in SDHB and SDHC genes.小儿胃肠道间质瘤:两例携带SDHB和SDHC基因种系变异的新病例报告。
Cancer Genet. 2020 Feb;241:61-65. doi: 10.1016/j.cancergen.2019.12.002. Epub 2019 Dec 16.
8
Current treatment strategies in pediatric gastrointestinal stromal cell tumor.小儿胃肠道间质细胞瘤的当前治疗策略
Transl Gastroenterol Hepatol. 2018 Aug 8;3:53. doi: 10.21037/tgh.2018.07.09. eCollection 2018.
9
Gastrointestinal stromal tumours: ESMO-EURACAN Clinical Practice Guidelines for diagnosis, treatment and follow-up.胃肠道间质瘤:ESMO-EURACAN诊断、治疗及随访临床实践指南
Ann Oncol. 2018 Oct 1;29(Suppl 4):iv267. doi: 10.1093/annonc/mdy320.
10
Surgery for metastatic gastrointestinal stromal tumor: to whom and how to?转移性胃肠道间质瘤的手术治疗:对象及方式?
Transl Gastroenterol Hepatol. 2018 Mar 5;3:14. doi: 10.21037/tgh.2018.02.02. eCollection 2018.