• 文献检索
  • 文档翻译
  • 深度研究
  • 学术资讯
  • Suppr Zotero 插件Zotero 插件
  • 邀请有礼
  • 套餐&价格
  • 历史记录
应用&插件
Suppr Zotero 插件Zotero 插件浏览器插件Mac 客户端Windows 客户端微信小程序
定价
高级版会员购买积分包购买API积分包
服务
文献检索文档翻译深度研究API 文档MCP 服务
关于我们
关于 Suppr公司介绍联系我们用户协议隐私条款
关注我们

Suppr 超能文献

核心技术专利:CN118964589B侵权必究
粤ICP备2023148730 号-1Suppr @ 2026

文献检索

告别复杂PubMed语法,用中文像聊天一样搜索,搜遍4000万医学文献。AI智能推荐,让科研检索更轻松。

立即免费搜索

文件翻译

保留排版,准确专业,支持PDF/Word/PPT等文件格式,支持 12+语言互译。

免费翻译文档

深度研究

AI帮你快速写综述,25分钟生成高质量综述,智能提取关键信息,辅助科研写作。

立即免费体验

端锚聚合酶抑制作用会干扰连接重塑、诱导渗漏,并扰乱内皮细胞中的YAP1/TAZ信号传导。

Tankyrase inhibition interferes with junction remodeling, induces leakiness, and disturbs YAP1/TAZ signaling in the endothelium.

作者信息

Ma Nan, Wibowo Yohanes Cakrapradipta, Wirtz Phillip, Baltus Doris, Wieland Thomas, Jansen Sepp

机构信息

Experimental Pharmacology Mannheim, European Center for Angioscience (ECAS), Mannheim Medical Faculty, Heidelberg University, Mannheim, Germany.

DZHK, German Center for Cardiovascular Research, partner site Heidelberg/Mannheim, Mannheim, Germany.

出版信息

Naunyn Schmiedebergs Arch Pharmacol. 2024 Mar;397(3):1763-1789. doi: 10.1007/s00210-023-02720-1. Epub 2023 Sep 23.

DOI:10.1007/s00210-023-02720-1
PMID:37741944
原文链接:https://pmc.ncbi.nlm.nih.gov/articles/PMC10858845/
Abstract

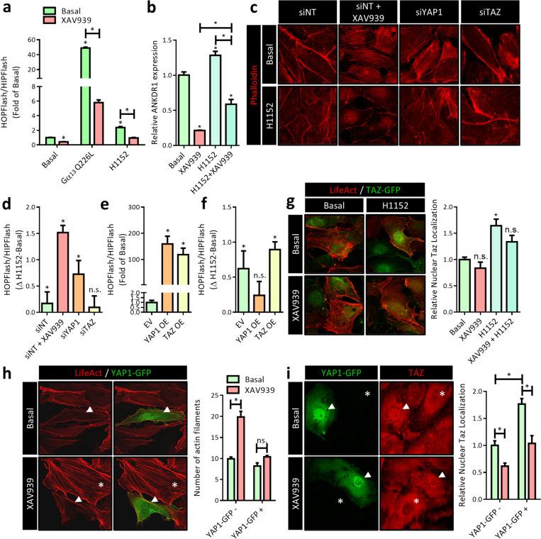
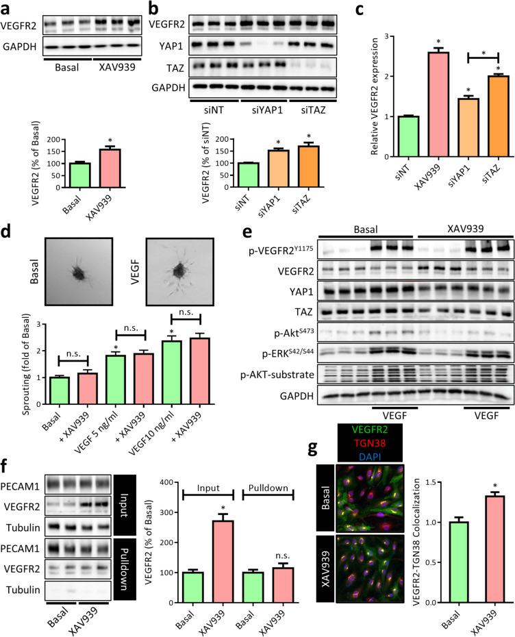
Tankyrase inhibitors are increasingly considered for therapeutic use in malignancies that are characterized by high intrinsic β-catenin activity. However, how tankyrase inhibition affects the endothelium after systemic application remains poorly understood. In this study, we aimed to investigate how the tankyrase inhibitor XAV939 affects endothelial cell function and the underlying mechanism involved. Endothelial cell function was analyzed using sprouting angiogenesis, endothelial cell migration, junctional dynamics, and permeability using human umbilical vein endothelial cells (HUVEC) and explanted mouse retina. Underlying signaling was studied using western blot, immunofluorescence, and qPCR in HUVEC in addition to luciferase reporter gene assays in human embryonic kidney cells. XAV939 treatment leads to altered junctional dynamics and permeability as well as impaired endothelial migration. Mechanistically, XAV939 increased stability of the angiomotin-like proteins 1 and 2, which impedes the nuclear translocation of YAP1/TAZ and consequently suppresses TEAD-mediated transcription. Intriguingly, XAV939 disrupts adherens junctions by inducing RhoA-Rho dependent kinase (ROCK)-mediated F-actin bundling, whereas disruption of F-actin bundling through the ROCK inhibitor H1152 restores endothelial cell function. Unexpectedly, this was accompanied by an increase in nuclear TAZ and TEAD-mediated transcription, suggesting differential regulation of YAP1 and TAZ by the actin cytoskeleton in endothelial cells. In conclusion, our findings elucidate the complex relationship between the actin cytoskeleton, YAP1/TAZ signaling, and endothelial cell function and how tankyrase inhibition disturbs this well-balanced signaling.

摘要

端锚聚合酶抑制剂越来越多地被考虑用于治疗以高内源性β-连环蛋白活性为特征的恶性肿瘤。然而,全身应用后端锚聚合酶抑制如何影响内皮细胞仍知之甚少。在本研究中,我们旨在研究端锚聚合酶抑制剂XAV939如何影响内皮细胞功能及其潜在机制。使用人脐静脉内皮细胞(HUVEC)和离体小鼠视网膜,通过发芽血管生成、内皮细胞迁移、连接动力学和通透性分析内皮细胞功能。除了在人胚胎肾细胞中进行荧光素酶报告基因检测外,还使用蛋白质免疫印迹、免疫荧光和qPCR在HUVEC中研究潜在信号传导。XAV939处理导致连接动力学和通透性改变以及内皮迁移受损。机制上,XAV939增加了血管动蛋白样蛋白1和2的稳定性,这阻碍了YAP1/TAZ的核转位,从而抑制了TEAD介导的转录。有趣的是,XAV939通过诱导RhoA- Rho依赖性激酶(ROCK)介导的F-肌动蛋白成束来破坏黏着连接,而通过ROCK抑制剂H1152破坏F-肌动蛋白成束可恢复内皮细胞功能。出乎意料的是,这伴随着核TAZ的增加和TEAD介导的转录,表明内皮细胞中肌动蛋白细胞骨架对YAP1和TAZ的调控存在差异。总之,我们的研究结果阐明了肌动蛋白细胞骨架、YAP1/TAZ信号传导和内皮细胞功能之间的复杂关系,以及端锚聚合酶抑制如何扰乱这种平衡良好的信号传导。

https://cdn.ncbi.nlm.nih.gov/pmc/blobs/6b09/10858845/0c2569ddcbbc/210_2023_2720_Fig9_HTML.jpg
https://cdn.ncbi.nlm.nih.gov/pmc/blobs/6b09/10858845/15a4275e3ce1/210_2023_2720_Fig1_HTML.jpg
https://cdn.ncbi.nlm.nih.gov/pmc/blobs/6b09/10858845/c3fd28470357/210_2023_2720_Fig2_HTML.jpg
https://cdn.ncbi.nlm.nih.gov/pmc/blobs/6b09/10858845/a8cea475d529/210_2023_2720_Fig3_HTML.jpg
https://cdn.ncbi.nlm.nih.gov/pmc/blobs/6b09/10858845/e0a03338b1d3/210_2023_2720_Fig4_HTML.jpg
https://cdn.ncbi.nlm.nih.gov/pmc/blobs/6b09/10858845/89c9a9899c35/210_2023_2720_Fig5_HTML.jpg
https://cdn.ncbi.nlm.nih.gov/pmc/blobs/6b09/10858845/e3a622676761/210_2023_2720_Fig6_HTML.jpg
https://cdn.ncbi.nlm.nih.gov/pmc/blobs/6b09/10858845/67b8c98c9ed0/210_2023_2720_Fig7_HTML.jpg
https://cdn.ncbi.nlm.nih.gov/pmc/blobs/6b09/10858845/2af43ba25bfb/210_2023_2720_Fig8_HTML.jpg
https://cdn.ncbi.nlm.nih.gov/pmc/blobs/6b09/10858845/0c2569ddcbbc/210_2023_2720_Fig9_HTML.jpg
https://cdn.ncbi.nlm.nih.gov/pmc/blobs/6b09/10858845/15a4275e3ce1/210_2023_2720_Fig1_HTML.jpg
https://cdn.ncbi.nlm.nih.gov/pmc/blobs/6b09/10858845/c3fd28470357/210_2023_2720_Fig2_HTML.jpg
https://cdn.ncbi.nlm.nih.gov/pmc/blobs/6b09/10858845/a8cea475d529/210_2023_2720_Fig3_HTML.jpg
https://cdn.ncbi.nlm.nih.gov/pmc/blobs/6b09/10858845/e0a03338b1d3/210_2023_2720_Fig4_HTML.jpg
https://cdn.ncbi.nlm.nih.gov/pmc/blobs/6b09/10858845/89c9a9899c35/210_2023_2720_Fig5_HTML.jpg
https://cdn.ncbi.nlm.nih.gov/pmc/blobs/6b09/10858845/e3a622676761/210_2023_2720_Fig6_HTML.jpg
https://cdn.ncbi.nlm.nih.gov/pmc/blobs/6b09/10858845/67b8c98c9ed0/210_2023_2720_Fig7_HTML.jpg
https://cdn.ncbi.nlm.nih.gov/pmc/blobs/6b09/10858845/2af43ba25bfb/210_2023_2720_Fig8_HTML.jpg
https://cdn.ncbi.nlm.nih.gov/pmc/blobs/6b09/10858845/0c2569ddcbbc/210_2023_2720_Fig9_HTML.jpg

相似文献

1
Tankyrase inhibition interferes with junction remodeling, induces leakiness, and disturbs YAP1/TAZ signaling in the endothelium.端锚聚合酶抑制作用会干扰连接重塑、诱导渗漏,并扰乱内皮细胞中的YAP1/TAZ信号传导。
Naunyn Schmiedebergs Arch Pharmacol. 2024 Mar;397(3):1763-1789. doi: 10.1007/s00210-023-02720-1. Epub 2023 Sep 23.
2
Suppression of YAP safeguards human naïve pluripotency.YAP 的抑制可保护人类原始多能性。
Development. 2022 Dec 15;149(24). doi: 10.1242/dev.200988. Epub 2022 Dec 21.
3
RHOA activity in expanding blastocysts is essential to regulate HIPPO-YAP signaling and to maintain the trophectoderm-specific gene expression program in a ROCK/actin filament-independent manner.在扩展囊胚中,RHOA 的活性对于调节 HIPPO-YAP 信号通路以及以 ROCK/肌动蛋白丝非依赖的方式维持滋养层特异性基因表达程序是必不可少的。
Mol Hum Reprod. 2019 Feb 1;25(2):43-60. doi: 10.1093/molehr/gay048.
4
Lysophosphatidic acid-induced YAP/TAZ activation promotes developmental angiogenesis by repressing Notch ligand Dll4.溶血磷脂酸诱导的 YAP/TAZ 激活通过抑制 Notch 配体 Dll4 促进发育性血管生成。
J Clin Invest. 2019 Jul 23;129(10):4332-4349. doi: 10.1172/JCI121955.
5
Zebrafish mutants and TEAD reporters reveal essential functions for Yap and Taz in posterior cardinal vein development.斑马鱼突变体和 TEAD 报告基因揭示了 Yap 和 Taz 在尾部后主静脉发育中的重要功能。
Sci Rep. 2018 Jul 5;8(1):10189. doi: 10.1038/s41598-018-27657-x.
6
Tankyrase Inhibitor Sensitizes Lung Cancer Cells to Endothelial Growth Factor Receptor (EGFR) Inhibition via Stabilizing Angiomotins and Inhibiting YAP Signaling.端锚聚合酶抑制剂通过稳定血管动蛋白和抑制YAP信号通路使肺癌细胞对内皮生长因子受体(EGFR)抑制敏感。
J Biol Chem. 2016 Jul 15;291(29):15256-66. doi: 10.1074/jbc.M116.722967. Epub 2016 May 26.
7
YAP/TAZ regulates sprouting angiogenesis and vascular barrier maturation.YAP/TAZ调节出芽血管生成和血管屏障成熟。
J Clin Invest. 2017 Sep 1;127(9):3441-3461. doi: 10.1172/JCI93825. Epub 2017 Aug 14.
8
Oncogenic Hedgehog-Smoothened Signaling Depends on YAP1‒TAZ/TEAD Transcription to Restrain Differentiation in Basal Cell Carcinoma.致癌性 Hedgehog-Smoothened 信号依赖于 YAP1-TEAD/TAZ 转录来抑制基底细胞癌的分化。
J Invest Dermatol. 2022 Jan;142(1):65-76.e7. doi: 10.1016/j.jid.2021.06.020. Epub 2021 Jul 20.
9
YAP and TAZ regulate adherens junction dynamics and endothelial cell distribution during vascular development.YAP 和 TAZ 调节血管发育过程中黏着连接的动态变化和内皮细胞的分布。
Elife. 2018 Feb 5;7:e31037. doi: 10.7554/eLife.31037.
10
DLC1 is a direct target of activated YAP/TAZ that drives collective migration and sprouting angiogenesis.DLC1 是激活的 YAP/TAZ 的直接靶标,可驱动细胞集体迁移和芽生血管生成。
J Cell Sci. 2020 Feb 12;133(3):jcs239947. doi: 10.1242/jcs.239947.

引用本文的文献

1
Leucine-rich repeat-containing 56 promotes breast cancer progression via modulation of the RhoA/ROCKs signaling axis.富含亮氨酸重复序列 56 通过调节 RhoA/ROCKs 信号轴促进乳腺癌进展。
Mol Biomed. 2025 May 19;6(1):31. doi: 10.1186/s43556-025-00271-w.

本文引用的文献

1
Suppression of YAP safeguards human naïve pluripotency.YAP 的抑制可保护人类原始多能性。
Development. 2022 Dec 15;149(24). doi: 10.1242/dev.200988. Epub 2022 Dec 21.
2
On-Target Side Effects of Targeted Therapeutics of Cancer.癌症靶向治疗的目标副作用。
Pathol Oncol Res. 2022 Sep 23;28:1610694. doi: 10.3389/pore.2022.1610694. eCollection 2022.
3
Tankyrase-selective inhibitor STP1002 shows preclinical antitumour efficacy without on-target toxicity in the gastrointestinal tract.靶向端锚聚合酶(Tankyrase)的抑制剂 STP1002 在胃肠道中无靶毒性而具有临床前抗肿瘤疗效。
Eur J Cancer. 2022 Sep;173:41-51. doi: 10.1016/j.ejca.2022.06.031. Epub 2022 Jul 15.
4
Stabilizing and upregulating Axin with tankyrase inhibitor reverses 5-fluorouracil chemoresistance and proliferation by targeting the WNT/caveolin-1 axis in colorectal cancer cells.用端锚聚合酶抑制剂稳定并上调轴蛋白可通过靶向结直肠癌细胞中的 WNT/窖蛋白-1 轴逆转 5-氟尿嘧啶化疗耐药和增殖。
Cancer Gene Ther. 2022 Nov;29(11):1707-1719. doi: 10.1038/s41417-022-00493-y. Epub 2022 Jun 24.
5
Vinculin controls endothelial cell junction dynamics during vascular lumen formation.连接蛋白在血管腔形成过程中控制内皮细胞连接的动态变化。
Cell Rep. 2022 Apr 12;39(2):110658. doi: 10.1016/j.celrep.2022.110658.
6
β-Catenin marks proliferating endothelial cells in glioblastoma.β-连环蛋白标记胶质母细胞瘤中增殖的内皮细胞。
J Clin Neurosci. 2022 Apr;98:203-206. doi: 10.1016/j.jocn.2022.02.018. Epub 2022 Feb 18.
7
Ocular Wnt/β-Catenin Pathway Inhibitor XAV939-Loaded Liposomes for Treating Alkali-Burned Corneal Wound and Neovascularization.载有眼部Wnt/β-连环蛋白通路抑制剂XAV939的脂质体用于治疗碱烧伤角膜伤口和新生血管形成
Front Bioeng Biotechnol. 2021 Oct 26;9:753879. doi: 10.3389/fbioe.2021.753879. eCollection 2021.
8
Wnt pathway modulators in cancer therapeutics: An update on completed and ongoing clinical trials.癌症治疗中的 Wnt 通路调节剂:已完成和正在进行的临床试验更新。
Int J Cancer. 2022 Mar 1;150(5):727-740. doi: 10.1002/ijc.33811. Epub 2021 Oct 11.
9
Developmental regulation of barrier- and non-barrier blood vessels in the CNS.中枢神经系统中屏障血管和非屏障血管的发育调控。
J Intern Med. 2022 Jul;292(1):31-46. doi: 10.1111/joim.13263. Epub 2021 Mar 4.
10
The role of β-catenin in pulmonary artery endothelial-mesenchymal transformation in rats with chronic thromboembolic pulmonary hypertension.β-catenin 在慢性血栓栓塞性肺动脉高压大鼠肺动脉内皮-间质转化中的作用。
J Thromb Thrombolysis. 2021 Aug;52(2):454-465. doi: 10.1007/s11239-020-02356-5. Epub 2021 Mar 2.