• 文献检索
  • 文档翻译
  • 深度研究
  • 学术资讯
  • Suppr Zotero 插件Zotero 插件
  • 邀请有礼
  • 套餐&价格
  • 历史记录
应用&插件
Suppr Zotero 插件Zotero 插件浏览器插件Mac 客户端Windows 客户端微信小程序
定价
高级版会员购买积分包购买API积分包
服务
文献检索文档翻译深度研究API 文档MCP 服务
关于我们
关于 Suppr公司介绍联系我们用户协议隐私条款
关注我们

Suppr 超能文献

核心技术专利:CN118964589B侵权必究
粤ICP备2023148730 号-1Suppr @ 2026

文献检索

告别复杂PubMed语法,用中文像聊天一样搜索,搜遍4000万医学文献。AI智能推荐,让科研检索更轻松。

立即免费搜索

文件翻译

保留排版,准确专业,支持PDF/Word/PPT等文件格式,支持 12+语言互译。

免费翻译文档

深度研究

AI帮你快速写综述,25分钟生成高质量综述,智能提取关键信息,辅助科研写作。

立即免费体验

重组 TAPBPL 蛋白给药可改善胶原诱导的关节炎小鼠的病情。

Administration of Recombinant TAPBPL Protein Ameliorates Collagen-Induced Arthritis in Mice.

机构信息

First Affiliated Hospital of Fujian Medical University, Fuzhou 350004, China.

Department of Allied Health Sciences, University of Connecticut, Storrs, CT 06269, USA.

出版信息

Int J Mol Sci. 2023 Sep 7;24(18):13772. doi: 10.3390/ijms241813772.

DOI:10.3390/ijms241813772
PMID:37762076
原文链接:https://pmc.ncbi.nlm.nih.gov/articles/PMC10530323/
Abstract

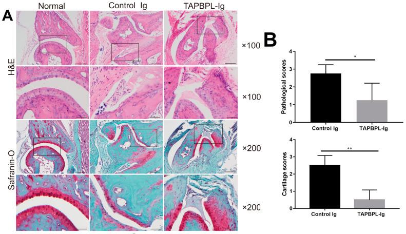
Rheumatoid arthritis (RA) is a chronic inflammatory autoimmune disease distinguished by synovial hyperplasia and a progressive destruction of joints. T cells are critical players in the pathogenesis of RA. We have previously identified a novel immune checkpoint molecule, TAPBPL, that inhibits T cell functions in vitro. As a model for human RA, we investigated the ability of the TAPBPL protein to ameliorate collagen type II (CII)-induced arthritis (CIA) in mice that were injected with recombinant TAPBPL or a control protein. The mice were analyzed for CIA development, immune cells, and their responses. We found that TAPBPL protein significantly decreased CIA incidence and reduced clinical and pathological arthritis scores, which were related to a lower number of activated CD4 T cells but a greater number of regulatory T cells (Tregs) in the spleen, and a reduction of Th1/Th17 inflammatory cytokines in the joints and serum. Importantly, TAPBPL protein inhibited CII-specific T cell growth and Th1 and Th17 cytokine expression and reduced the production of CII autoantibodies in the serum. Our results suggest that TAPBPL protein can ameliorate CIA in mice and has the potential to be used in the treatment of patients with RA.

摘要

类风湿关节炎(RA)是一种慢性炎症性自身免疫性疾病,其特征为滑膜增生和关节进行性破坏。T 细胞是 RA 发病机制中的关键参与者。我们之前已经鉴定出一种新型免疫检查点分子 TAPBPL,它可以在体外抑制 T 细胞功能。作为人类 RA 的模型,我们研究了重组 TAPBPL 或对照蛋白注射后 TAPBPL 蛋白对胶原诱导型关节炎(CIA)小鼠的缓解作用。分析了 CIA 发展、免疫细胞及其反应。我们发现 TAPBPL 蛋白显著降低 CIA 发生率,并降低临床和病理关节炎评分,这与脾脏中活化的 CD4 T 细胞数量减少但调节性 T 细胞(Treg)数量增加以及关节和血清中 Th1/Th17 炎症细胞因子减少有关。重要的是,TAPBPL 蛋白抑制了 CII 特异性 T 细胞的生长以及 Th1 和 Th17 细胞因子的表达,并减少了血清中 CII 自身抗体的产生。我们的结果表明,TAPBPL 蛋白可以改善 CIA 小鼠的病情,并有潜力用于治疗 RA 患者。

https://cdn.ncbi.nlm.nih.gov/pmc/blobs/72a5/10530323/ab7202e97c89/ijms-24-13772-g006.jpg
https://cdn.ncbi.nlm.nih.gov/pmc/blobs/72a5/10530323/91145c1bc3fe/ijms-24-13772-g001.jpg
https://cdn.ncbi.nlm.nih.gov/pmc/blobs/72a5/10530323/2557b26d240a/ijms-24-13772-g002.jpg
https://cdn.ncbi.nlm.nih.gov/pmc/blobs/72a5/10530323/b1def1a83f57/ijms-24-13772-g003.jpg
https://cdn.ncbi.nlm.nih.gov/pmc/blobs/72a5/10530323/ab2636563646/ijms-24-13772-g004.jpg
https://cdn.ncbi.nlm.nih.gov/pmc/blobs/72a5/10530323/f13bf92f4d4e/ijms-24-13772-g005.jpg
https://cdn.ncbi.nlm.nih.gov/pmc/blobs/72a5/10530323/ab7202e97c89/ijms-24-13772-g006.jpg
https://cdn.ncbi.nlm.nih.gov/pmc/blobs/72a5/10530323/91145c1bc3fe/ijms-24-13772-g001.jpg
https://cdn.ncbi.nlm.nih.gov/pmc/blobs/72a5/10530323/2557b26d240a/ijms-24-13772-g002.jpg
https://cdn.ncbi.nlm.nih.gov/pmc/blobs/72a5/10530323/b1def1a83f57/ijms-24-13772-g003.jpg
https://cdn.ncbi.nlm.nih.gov/pmc/blobs/72a5/10530323/ab2636563646/ijms-24-13772-g004.jpg
https://cdn.ncbi.nlm.nih.gov/pmc/blobs/72a5/10530323/f13bf92f4d4e/ijms-24-13772-g005.jpg
https://cdn.ncbi.nlm.nih.gov/pmc/blobs/72a5/10530323/ab7202e97c89/ijms-24-13772-g006.jpg

相似文献

1
Administration of Recombinant TAPBPL Protein Ameliorates Collagen-Induced Arthritis in Mice.重组 TAPBPL 蛋白给药可改善胶原诱导的关节炎小鼠的病情。
Int J Mol Sci. 2023 Sep 7;24(18):13772. doi: 10.3390/ijms241813772.
2
Recombinant CD300c-Ig fusion protein attenuates collagen-induced arthritis in mice.重组 CD300c-Ig 融合蛋白可减轻小鼠胶原诱导性关节炎。
Rheumatology (Oxford). 2022 Mar 2;61(3):1255-1264. doi: 10.1093/rheumatology/keab450.
3
Protection against cartilage and bone destruction by systemic interleukin-4 treatment in established murine type II collagen-induced arthritis.在已建立的小鼠II型胶原诱导性关节炎中,通过全身性白细胞介素-4治疗预防软骨和骨破坏。
Arthritis Res. 1999;1(1):81-91. doi: 10.1186/ar14. Epub 1999 Oct 26.
4
Dopamine D2 receptor on CD4 T cells is protective against inflammatory responses and signs in a mouse model of rheumatoid arthritis.CD4 T 细胞上的多巴胺 D2 受体可预防类风湿性关节炎小鼠模型中的炎症反应和症状。
Arthritis Res Ther. 2023 May 26;25(1):87. doi: 10.1186/s13075-023-03071-1.
5
Periplocoside A ameliorated type II collagen-induced arthritis in mice via regulation of the balance of Th17/Treg cells.杠柳苷A通过调节Th17/Treg细胞平衡改善小鼠II型胶原诱导的关节炎。
Int Immunopharmacol. 2017 Mar;44:43-52. doi: 10.1016/j.intimp.2016.12.013. Epub 2017 Jan 7.
6
Oleanolic acid acetate inhibits rheumatoid arthritis by modulating T cell immune responses and matrix-degrading enzymes.乙酸齐墩果酸通过调节T细胞免疫反应和基质降解酶来抑制类风湿性关节炎。
Toxicol Appl Pharmacol. 2016 Jan 1;290:1-9. doi: 10.1016/j.taap.2015.11.005. Epub 2015 Nov 10.
7
Mucosal administration of an altered CII263-272 peptide inhibits collagen-induced arthritis by suppression of Th1/Th17 cells and expansion of regulatory T cells.经黏膜给予改变后的CII263 - 272肽,通过抑制Th1/Th17细胞及扩增调节性T细胞来抑制胶原诱导的关节炎。
Rheumatol Int. 2008 Nov;29(1):9-16. doi: 10.1007/s00296-008-0634-4. Epub 2008 Jul 5.
8
Inhibition of synovial hyperplasia, rheumatoid T cell activation, and experimental arthritis in mice by sulforaphane, a naturally occurring isothiocyanate.萝卜硫素(一种天然存在的异硫氰酸酯)对小鼠滑膜增生、类风湿性T细胞活化及实验性关节炎的抑制作用
Arthritis Rheum. 2010 Jan;62(1):159-70. doi: 10.1002/art.25017.
9
BTN2A2 protein negatively regulates T cells to ameliorate collagen-induced arthritis in mice.BTN2A2 蛋白负向调节 T 细胞,改善小鼠胶原诱导性关节炎。
Sci Rep. 2021 Sep 29;11(1):19375. doi: 10.1038/s41598-021-98443-5.
10
IL-37 Alleviates Rheumatoid Arthritis by Suppressing IL-17 and IL-17-Triggering Cytokine Production and Limiting Th17 Cell Proliferation.白细胞介素-37通过抑制白细胞介素-17及其引发的细胞因子产生以及限制辅助性T细胞17的增殖来减轻类风湿性关节炎。
J Immunol. 2015 Jun 1;194(11):5110-9. doi: 10.4049/jimmunol.1401810. Epub 2015 Apr 27.

本文引用的文献

1
Identification of TAPBPL as a novel negative regulator of T-cell function.鉴定 TAPBPL 为 T 细胞功能的新型负调控因子。
EMBO Mol Med. 2021 May 7;13(5):e13404. doi: 10.15252/emmm.202013404. Epub 2021 May 3.
2
ERMAP is a B7 family-related molecule that negatively regulates T cell and macrophage responses.ERMAP 是 B7 家族相关分子,可负向调节 T 细胞和巨噬细胞应答。
Cell Mol Immunol. 2021 Aug;18(8):1920-1933. doi: 10.1038/s41423-020-0494-8. Epub 2020 Jul 3.
3
Skint8, a Novel B7 Family-Related Molecule, Negatively Regulates T Cell Responses.
Skint8,一种新型 B7 家族相关分子,负向调节 T 细胞应答。
J Immunol. 2019 Jul 15;203(2):400-407. doi: 10.4049/jimmunol.1800639. Epub 2019 Jun 12.
4
A CD300c-Fc Fusion Protein Inhibits T Cell Immunity.CD300c-Fc 融合蛋白抑制 T 细胞免疫。
Front Immunol. 2018 Nov 15;9:2657. doi: 10.3389/fimmu.2018.02657. eCollection 2018.
5
Apremilast Ameliorates Experimental Arthritis Suppression of Th1 and Th17 Cells and Enhancement of CD4Foxp3 Regulatory T Cells Differentiation.阿普司特改善实验性关节炎 抑制Th1和Th17细胞并增强CD4Foxp3调节性T细胞分化。
Front Immunol. 2018 Jul 18;9:1662. doi: 10.3389/fimmu.2018.01662. eCollection 2018.
6
Rheumatoid arthritis in review: Clinical, anatomical, cellular and molecular points of view.类风湿关节炎综述:临床、解剖学、细胞及分子视角
Clin Anat. 2018 Mar;31(2):216-223. doi: 10.1002/ca.22980. Epub 2017 Oct 27.
7
Rheumatoid arthritis.类风湿关节炎
Lancet. 2016 Oct 22;388(10055):2023-2038. doi: 10.1016/S0140-6736(16)30173-8. Epub 2016 May 3.
8
B7-H3 Promotes Pathogenesis of Autoimmune Disease and Inflammation by Regulating the Activity of Different T Cell Subsets.B7-H3通过调节不同T细胞亚群的活性促进自身免疫性疾病和炎症的发病机制。
PLoS One. 2015 Jun 11;10(6):e0130126. doi: 10.1371/journal.pone.0130126. eCollection 2015.
9
c-Met signalling is required for efficient postnatal thymic regeneration and repair.c-Met信号传导对于出生后有效的胸腺再生和修复是必需的。
Immunology. 2015 Feb;144(2):245-53. doi: 10.1111/imm.12365.
10
Tbx1 modulates endodermal and mesodermal differentiation from mouse induced pluripotent stem cells.Tbx1 调节小鼠诱导多能干细胞的内胚层和中胚层分化。
Stem Cells Dev. 2014 Jul 1;23(13):1491-500. doi: 10.1089/scd.2013.0488. Epub 2014 Apr 2.