• 文献检索
  • 文档翻译
  • 深度研究
  • 学术资讯
  • Suppr Zotero 插件Zotero 插件
  • 邀请有礼
  • 套餐&价格
  • 历史记录
应用&插件
Suppr Zotero 插件Zotero 插件浏览器插件Mac 客户端Windows 客户端微信小程序
定价
高级版会员购买积分包购买API积分包
服务
文献检索文档翻译深度研究API 文档MCP 服务
关于我们
关于 Suppr公司介绍联系我们用户协议隐私条款
关注我们

Suppr 超能文献

核心技术专利:CN118964589B侵权必究
粤ICP备2023148730 号-1Suppr @ 2026

文献检索

告别复杂PubMed语法,用中文像聊天一样搜索,搜遍4000万医学文献。AI智能推荐,让科研检索更轻松。

立即免费搜索

文件翻译

保留排版,准确专业,支持PDF/Word/PPT等文件格式,支持 12+语言互译。

免费翻译文档

深度研究

AI帮你快速写综述,25分钟生成高质量综述,智能提取关键信息,辅助科研写作。

立即免费体验

小鼠模型感染急性期的主要心脏组织病理学改变

Main Cardiac Histopathologic Alterations in the Acute Phase of Infection in a Murine Model.

作者信息

de Alba Alvarado Mariana C, Torres Gutiérrez Elia, Cabrera Bravo Margarita, Zenteno Galindo Edgar, Villarreal Muñoz José Antonio, Salazar Schettino Paz María, Bucio Torres Martha Irene

机构信息

Departamento de Microbiología y Parasitología, Facultad de Medicina, Universidad Nacional Autónoma de México, Coyoacán, Mexico City 04510, Mexico.

Departamento de Bioquímica, Facultad de Medicina, Universidad Nacional Autónoma de México, Coyoacán, Mexico City 04510, Mexico.

出版信息

Pathogens. 2023 Aug 26;12(9):1084. doi: 10.3390/pathogens12091084.

DOI:10.3390/pathogens12091084
PMID:37764892
原文链接:https://pmc.ncbi.nlm.nih.gov/articles/PMC10534729/
Abstract

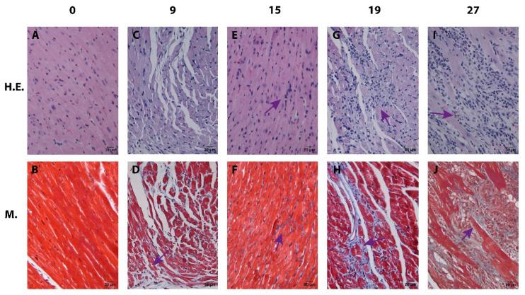
Symptoms in the acute phase of Chagas disease are usually mild and nonspecific. However, after several years, severe complications like dilated heart failure and even death may arise in the chronic phase. Due to the lack of specific symptoms in the acute phase, the aim of this work was to describe and analyze the cardiac histopathology during this phase in a CD1 mouse model by assessing parasitism, fibrotic damage, and the presence and composition of a cellular infiltrate, to determine its involvement in the pathogenesis of lesions in the cardiac tissue. Our results indicate that the acute phase lasts about 62 days post-infection (dpi). A significant increase in parasitemia was observed since 15 dpi, reaching a maximum at 33 dpi (4.1 × 10). The presence of amastigote nests was observed at 15-62 dpi, with a maximum count of 27 nests at 35 dpi. An infiltrate consisting primarily of macrophages and neutrophils was found in the cardiac tissue within the first 30 days, but the abundance of lymphocytes showed an 8 ≥ fold increase at 40-62 dpi. Unifocal interstitial fibrosis was identified after 9 dpi, which subsequently showed a 16 ≥ fold increase at 40-60 dpi, along with a 50% mortality rate in the model under study. The increased area of fibrotic lesions revealed progression in the extent of fibrosis, mainly at 50-62 dpi. The presence of perivasculitis and thrombus circulation disorders was seen in the last days (62 dpi); finally, cases of myocytolysis were observed at 50 and 62 dpi. These histopathological alterations, combined with collagen deposition, seem to lead to the development of interstitial fibrosis and damage to the cardiac tissue during the acute phase of infection. This study provides a more complete understanding of the patterns of histopathological abnormalities involved in the acute phase, which could help the development of new therapies to aid the preclinical tests of drugs for their application in Chagas disease.

摘要

恰加斯病急性期的症状通常较轻且无特异性。然而,数年后,慢性期可能会出现严重并发症,如扩张型心力衰竭甚至死亡。由于急性期缺乏特异性症状,本研究的目的是通过评估寄生虫感染、纤维化损伤以及细胞浸润的存在和组成,描述和分析CD1小鼠模型在该阶段的心脏组织病理学,以确定其在心脏组织病变发病机制中的作用。我们的结果表明,急性期持续约62天(感染后天数,dpi)。自感染后15 dpi起观察到寄生虫血症显著增加,在33 dpi时达到峰值(4.1×10)。在15 - 62 dpi观察到无鞭毛体巢的存在,在35 dpi时计数最高达27个巢。在最初30天内在心脏组织中发现主要由巨噬细胞和中性粒细胞组成的浸润,但在40 - 62 dpi时淋巴细胞数量增加了8倍以上。在感染后9 dpi确定存在单灶性间质纤维化,随后在40 - 60 dpi时增加了16倍以上,同时所研究模型的死亡率为50%。纤维化病变面积增加表明纤维化程度进展,主要发生在50 - 62 dpi。在最后几天(62 dpi)观察到血管周围炎和血栓循环障碍的存在;最后,在50和62 dpi观察到心肌溶解病例。这些组织病理学改变与胶原蛋白沉积相结合,似乎导致感染急性期间质纤维化的发展和心脏组织的损伤。本研究提供了对急性期所涉及的组织病理学异常模式更全面的理解,这有助于开发新的治疗方法,以辅助用于恰加斯病的药物的临床前测试。

https://cdn.ncbi.nlm.nih.gov/pmc/blobs/6c46/10534729/6989040eb868/pathogens-12-01084-g010.jpg
https://cdn.ncbi.nlm.nih.gov/pmc/blobs/6c46/10534729/c228db283b8c/pathogens-12-01084-g001.jpg
https://cdn.ncbi.nlm.nih.gov/pmc/blobs/6c46/10534729/3fde8e4e69f1/pathogens-12-01084-g002.jpg
https://cdn.ncbi.nlm.nih.gov/pmc/blobs/6c46/10534729/6db577c9e0dd/pathogens-12-01084-g003.jpg
https://cdn.ncbi.nlm.nih.gov/pmc/blobs/6c46/10534729/28cdaafe3af6/pathogens-12-01084-g004.jpg
https://cdn.ncbi.nlm.nih.gov/pmc/blobs/6c46/10534729/a1166342ba82/pathogens-12-01084-g005.jpg
https://cdn.ncbi.nlm.nih.gov/pmc/blobs/6c46/10534729/44ec95aec60c/pathogens-12-01084-g006.jpg
https://cdn.ncbi.nlm.nih.gov/pmc/blobs/6c46/10534729/ebc7b19414da/pathogens-12-01084-g007.jpg
https://cdn.ncbi.nlm.nih.gov/pmc/blobs/6c46/10534729/96264ef28076/pathogens-12-01084-g008.jpg
https://cdn.ncbi.nlm.nih.gov/pmc/blobs/6c46/10534729/4d7017cbadb9/pathogens-12-01084-g009.jpg
https://cdn.ncbi.nlm.nih.gov/pmc/blobs/6c46/10534729/6989040eb868/pathogens-12-01084-g010.jpg
https://cdn.ncbi.nlm.nih.gov/pmc/blobs/6c46/10534729/c228db283b8c/pathogens-12-01084-g001.jpg
https://cdn.ncbi.nlm.nih.gov/pmc/blobs/6c46/10534729/3fde8e4e69f1/pathogens-12-01084-g002.jpg
https://cdn.ncbi.nlm.nih.gov/pmc/blobs/6c46/10534729/6db577c9e0dd/pathogens-12-01084-g003.jpg
https://cdn.ncbi.nlm.nih.gov/pmc/blobs/6c46/10534729/28cdaafe3af6/pathogens-12-01084-g004.jpg
https://cdn.ncbi.nlm.nih.gov/pmc/blobs/6c46/10534729/a1166342ba82/pathogens-12-01084-g005.jpg
https://cdn.ncbi.nlm.nih.gov/pmc/blobs/6c46/10534729/44ec95aec60c/pathogens-12-01084-g006.jpg
https://cdn.ncbi.nlm.nih.gov/pmc/blobs/6c46/10534729/ebc7b19414da/pathogens-12-01084-g007.jpg
https://cdn.ncbi.nlm.nih.gov/pmc/blobs/6c46/10534729/96264ef28076/pathogens-12-01084-g008.jpg
https://cdn.ncbi.nlm.nih.gov/pmc/blobs/6c46/10534729/4d7017cbadb9/pathogens-12-01084-g009.jpg
https://cdn.ncbi.nlm.nih.gov/pmc/blobs/6c46/10534729/6989040eb868/pathogens-12-01084-g010.jpg

相似文献

1
Main Cardiac Histopathologic Alterations in the Acute Phase of Infection in a Murine Model.小鼠模型感染急性期的主要心脏组织病理学改变
Pathogens. 2023 Aug 26;12(9):1084. doi: 10.3390/pathogens12091084.
2
Response to Infection by in a Murine Model.在小鼠模型中对感染的反应
Front Vet Sci. 2020 Oct 6;7:568745. doi: 10.3389/fvets.2020.568745. eCollection 2020.
3
Altered Cardiomyocyte Function and Trypanosoma cruzi Persistence in Chagas Disease.恰加斯病中心肌细胞功能改变与克氏锥虫持续存在
Am J Trop Med Hyg. 2016 May 4;94(5):1028-33. doi: 10.4269/ajtmh.15-0255. Epub 2016 Mar 14.
4
Physical Exercise Promotes a Reduction in Cardiac Fibrosis in the Chronic Indeterminate Form of Experimental Chagas Disease.体育锻炼可减少慢性不定型实验性克氏锥虫病的心脏纤维化。
Front Immunol. 2021 Nov 4;12:712034. doi: 10.3389/fimmu.2021.712034. eCollection 2021.
5
Parasitaemia and parasitic load are limited targets of the aetiological treatment to control the progression of cardiac fibrosis and chronic cardiomyopathy in Trypanosoma cruzi-infected dogs.在感染克氏锥虫的犬类中,寄生虫血症和寄生虫负荷是病因治疗的有限目标,用于控制心脏纤维化和慢性心肌病的进展。
Acta Trop. 2019 Jan;189:30-38. doi: 10.1016/j.actatropica.2018.09.015. Epub 2018 Oct 2.
6
Unraveling Chagas disease transmission through the oral route: Gateways to Trypanosoma cruzi infection and target tissues.揭示恰加斯病的经口传播途径:克氏锥虫感染的途径及靶组织
PLoS Negl Trop Dis. 2017 Apr 5;11(4):e0005507. doi: 10.1371/journal.pntd.0005507. eCollection 2017 Apr.
7
Early dystrophin disruption in the pathogenesis of experimental chronic Chagas cardiomyopathy.实验性慢性恰加斯心肌病发病机制中早期肌营养不良蛋白的破坏。
Microbes Infect. 2012 Jan;14(1):59-68. doi: 10.1016/j.micinf.2011.08.010. Epub 2011 Aug 31.
8
Aspirin treatment of mice infected with Trypanosoma cruzi and implications for the pathogenesis of Chagas disease.阿司匹林治疗感染克氏锥虫的小鼠及其对恰加斯病发病机制的影响。
PLoS One. 2011 Feb 15;6(2):e16959. doi: 10.1371/journal.pone.0016959.
9
Oral Acute Infection in Mice Targets Primary Lymphoid Organs and Triggers Extramedullary Hematopoiesis.口腔急性感染以小鼠的初级淋巴器官为靶标,并引发骨髓外造血。
Front Cell Infect Microbiol. 2022 Mar 24;12:800395. doi: 10.3389/fcimb.2022.800395. eCollection 2022.
10
A human type 5 adenovirus-based Trypanosoma cruzi therapeutic vaccine re-programs immune response and reverses chronic cardiomyopathy.一种基于人5型腺病毒的克氏锥虫治疗性疫苗可重新编程免疫反应并逆转慢性心肌病。
PLoS Pathog. 2015 Jan 24;11(1):e1004594. doi: 10.1371/journal.ppat.1004594. eCollection 2015 Jan.

本文引用的文献

1
Response to Infection by in a Murine Model.在小鼠模型中对感染的反应
Front Vet Sci. 2020 Oct 6;7:568745. doi: 10.3389/fvets.2020.568745. eCollection 2020.
2
The Dynamic Interplay Between Cardiac Inflammation and Fibrosis.心脏炎症与纤维化之间的动态相互作用
Front Physiol. 2020 Sep 15;11:529075. doi: 10.3389/fphys.2020.529075. eCollection 2020.
3
Understanding the oral transmission of Trypanosoma cruzi as a veterinary and medical foodborne zoonosis.理解克氏锥虫的口腔传播作为一种兽医和医学食源性人畜共患病。
Res Vet Sci. 2020 Oct;132:448-461. doi: 10.1016/j.rvsc.2020.07.024. Epub 2020 Aug 3.
4
An Animal Model of Acute and Chronic Chagas Disease With the Reticulotropic Y Strain of That Depicts the Multifunctionality and Dysfunctionality of T Cells.一种具有网状细胞嗜性 Y 株的急性和慢性克氏锥虫病动物模型,可描绘 T 细胞的多功能性和失能性。
Front Immunol. 2019 Apr 26;10:918. doi: 10.3389/fimmu.2019.00918. eCollection 2019.
5
The Dual Role of Inducible Nitric Oxide Synthase in Myocardial Ischemia/Reperfusion Injury: Friend or Foe?诱导型一氧化氮合酶在心肌缺血/再灌注损伤中的双重作用:是敌是友?
Oxid Med Cell Longev. 2018 Oct 28;2018:8364848. doi: 10.1155/2018/8364848. eCollection 2018.
6
Th-17 cytokines are associated with severity of Trypanosoma cruzi chronic infection in pediatric patients from endemic areas of Mexico.在来自墨西哥流行地区的儿科患者中,Th-17细胞因子与克氏锥虫慢性感染的严重程度相关。
Acta Trop. 2018 Feb;178:134-141. doi: 10.1016/j.actatropica.2017.11.009. Epub 2017 Nov 24.
7
Chagas Disease in Mexico: Report of 14 Cases of Chagasic Cardiomyopathy in Children.墨西哥的恰加斯病:14例儿童恰加斯性心肌病报告
Tohoku J Exp Med. 2016 Nov;240(3):243-249. doi: 10.1620/tjem.240.243.
8
Host and parasite genetics shape a link between Trypanosoma cruzi infection dynamics and chronic cardiomyopathy.宿主和寄生虫的基因构成了克氏锥虫感染动态与慢性心肌病之间的联系。
Cell Microbiol. 2016 Oct;18(10):1429-43. doi: 10.1111/cmi.12584. Epub 2016 May 25.
9
Chronic Chagas cardiomyopathy.慢性恰加斯心肌病
Autops Case Rep. 2015 Sep 30;5(3):7-9. doi: 10.4322/acr.2015.012. eCollection 2015 Jul-Sep.
10
Acute chagas disease: new global challenges for an old neglected disease.急性恰加斯病:一种古老的被忽视疾病面临的新全球挑战。
PLoS Negl Trop Dis. 2014 Jul 31;8(7):e3010. doi: 10.1371/journal.pntd.0003010. eCollection 2014.