• 文献检索
  • 文档翻译
  • 深度研究
  • 学术资讯
  • Suppr Zotero 插件Zotero 插件
  • 邀请有礼
  • 套餐&价格
  • 历史记录
应用&插件
Suppr Zotero 插件Zotero 插件浏览器插件Mac 客户端Windows 客户端微信小程序
定价
高级版会员购买积分包购买API积分包
服务
文献检索文档翻译深度研究API 文档MCP 服务
关于我们
关于 Suppr公司介绍联系我们用户协议隐私条款
关注我们

Suppr 超能文献

核心技术专利:CN118964589B侵权必究
粤ICP备2023148730 号-1Suppr @ 2026

文献检索

告别复杂PubMed语法,用中文像聊天一样搜索,搜遍4000万医学文献。AI智能推荐,让科研检索更轻松。

立即免费搜索

文件翻译

保留排版,准确专业,支持PDF/Word/PPT等文件格式,支持 12+语言互译。

免费翻译文档

深度研究

AI帮你快速写综述,25分钟生成高质量综述,智能提取关键信息,辅助科研写作。

立即免费体验

表现为脊髓病的颈髓上段髓内神经鞘瘤:病例说明

Upper cervical intramedullary schwannoma of the spinal cord presenting with myelopathy: illustrative case.

作者信息

Duvuru Shyam, Sanker Vivek, Syed Naureen, Mishra Shubham, Ghosh Sayantika, Dave Tirth

机构信息

1Department of Neurosurgery, Apollo Specialty Hospitals, Madurai, Tamil Nadu, India.

2Department of Neurosurgery, Trivandrum Medical College, Kerala, India.

出版信息

J Neurosurg Case Lessons. 2023 Sep 25;6(13). doi: 10.3171/CASE23352.

DOI:10.3171/CASE23352
PMID:37773765
原文链接:https://pmc.ncbi.nlm.nih.gov/articles/PMC10555578/
Abstract

BACKGROUND

Intramedullary schwannomas account for 1.1% of all spinal schwannomas. Preoperative diagnosis is best accomplished by thoroughly evaluating clinical and radiological characteristics, accompanied by a high index of suspicion. The authors report a case of C2-3 intramedullary schwannoma in a young male who presented with neck pain and vertigo. The current literature is also reviewed.

OBSERVATIONS

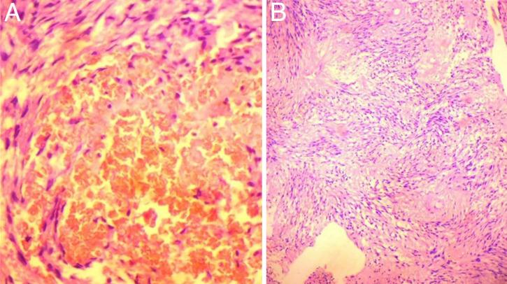
The authors reviewed the data of a young male with a 2-month history of neck pain and vertigo. Magnetic resonance imaging of the brain and cervical spine showed an intramedullary mass at C2-3 with a syrinx extending into the cervicomedullary junction. Laminectomy, myelotomy, and microsurgical excision of the mass under intraoperative neurological monitoring (IONM) were done. Postoperative pathology reported the specimen as a schwannoma.

LESSONS

Gross-total resection of a schwannoma using IONM is the treatment of choice because of the lesion's benign nature, a better prognosis, and defined cleavage plane. Schwannomas should be included in the differential diagnosis of intramedullary spinal tumors. Because of its progressive nature, early surgery is recommended in symptomatic patients.

摘要

背景

髓内神经鞘瘤占所有脊柱神经鞘瘤的1.1%。术前诊断最好通过全面评估临床和影像学特征,并保持高度怀疑指数来完成。作者报告了一例年轻男性C2-3髓内神经鞘瘤病例,该患者表现为颈部疼痛和眩晕。同时对当前文献进行了综述。

观察结果

作者回顾了一名有2个月颈部疼痛和眩晕病史的年轻男性的数据。脑部和颈椎的磁共振成像显示C2-3水平有一个髓内肿块,伴有一个延伸至颈髓交界处的空洞。在术中神经监测(IONM)下进行了椎板切除术、脊髓切开术和肿块的显微手术切除。术后病理报告标本为神经鞘瘤。

经验教训

由于病变的良性性质、较好的预后和明确的分离平面,使用IONM进行神经鞘瘤的全切除是首选治疗方法。神经鞘瘤应纳入脊髓髓内肿瘤的鉴别诊断。由于其渐进性,建议有症状的患者早期手术。

https://cdn.ncbi.nlm.nih.gov/pmc/blobs/ca8a/10555578/bea1267cf1e8/CASE23352f4.jpg
https://cdn.ncbi.nlm.nih.gov/pmc/blobs/ca8a/10555578/3ec38914192f/CASE23352f1.jpg
https://cdn.ncbi.nlm.nih.gov/pmc/blobs/ca8a/10555578/e7c5c9a14da9/CASE23352f2.jpg
https://cdn.ncbi.nlm.nih.gov/pmc/blobs/ca8a/10555578/920a6695abfa/CASE23352f3.jpg
https://cdn.ncbi.nlm.nih.gov/pmc/blobs/ca8a/10555578/bea1267cf1e8/CASE23352f4.jpg
https://cdn.ncbi.nlm.nih.gov/pmc/blobs/ca8a/10555578/3ec38914192f/CASE23352f1.jpg
https://cdn.ncbi.nlm.nih.gov/pmc/blobs/ca8a/10555578/e7c5c9a14da9/CASE23352f2.jpg
https://cdn.ncbi.nlm.nih.gov/pmc/blobs/ca8a/10555578/920a6695abfa/CASE23352f3.jpg
https://cdn.ncbi.nlm.nih.gov/pmc/blobs/ca8a/10555578/bea1267cf1e8/CASE23352f4.jpg