Suppr超能文献

人乳腺肿瘤病毒感染的恶性乳腺癌组织微环境中表达的 BRCA1 和 BRCA2 蛋白的免疫组织化学检测。

Immunohistochemical Detection of the Expressed BRCA1 and BRCA2 Proteins in Microenvironment of Malignant Breast Cancerous Tissues Infected with Human Mammary Tumor Virus.

机构信息

Clinical Communicable Diseases Research Unit, College of Medicine, University of Baghdad, Iraq.

College of Science, University of Babylon, Babylon, Iraq.

出版信息

Asian Pac J Cancer Prev. 2023 Sep 1;24(9):3261-3267. doi: 10.31557/APJCP.2023.24.9.3261.

Abstract

OBJECTIVE

The objective of the study was to examine the prevalence of HMTV infection, its associations with breast malignant tissues, and the expression of BRCA1 and BRCA2 proteins.

METHODS

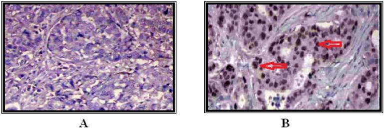
One hundred archival breast tissues, 40 biopsies from female patients with breast cancer (BC), and 20 healthy breast tissues from the control group were used in the study. Immunohistochemical analysis was conducted to detect the expressed BRCA1 and BRCA2 proteins. Digoxigenin-labeled HMTV probes were used in chromogenic in situ hybridization for the identification of HMTV in breast tumor tissues. The complementary sequence sites of the HMTV probe sequences were stained by NBT/BCIP as blue signals.

RESULTS

There were 12 out of 40 (30%) benign breast tumorous tissues and 14 out of 40 (35%) BC tissues, while healthy control breast tissues were 10% (2 out of 20 tissues). Positive immunohistochemical (IHC) reactions for BRCA2 protein were observed in 12 out of 40 BC tissues (30.0%), 25% of benign breast tumorous tissues, and 5% of the control group. A significant (p < 0.05) statistical difference in the percentages of HMTV in the studied groups was found.

CONCLUSION

HMTV might contribute to the development of subsets of benign and malignant breast tumors. The observed rates of defective or mutated BRCA1 and BRCA2 genes in healthy tissues indicate a role in the development of breast tumors.

摘要

目的

本研究旨在探讨 HMTV 感染的流行情况、其与乳腺恶性组织的关系,以及 BRCA1 和 BRCA2 蛋白的表达。

方法

研究采用了 100 份存档的乳腺组织、40 份来自女性乳腺癌(BC)患者的活检组织和 20 份来自对照组的健康乳腺组织。采用免疫组织化学分析检测 BRCA1 和 BRCA2 蛋白的表达。采用 Digoxigenin 标记的 HMTV 探针进行显色原位杂交,以鉴定乳腺肿瘤组织中的 HMTV。HMTV 探针序列的互补序列位点被 NBT/BCIP 染色为蓝色信号。

结果

在 40 份良性乳腺肿瘤组织中有 12 份(30%),在 40 份 BC 组织中有 14 份(35%),而健康对照组乳腺组织有 20 份(10%,2 份)。在 40 份 BC 组织中有 12 份(30.0%)观察到 BRCA2 蛋白的阳性免疫组织化学(IHC)反应,在 25%的良性乳腺肿瘤组织和 5%的对照组中也观察到了阳性反应。在研究组中,HMTV 的百分比存在显著差异(p<0.05)。

结论

HMTV 可能有助于良性和恶性乳腺肿瘤亚群的发展。在健康组织中观察到缺陷或突变的 BRCA1 和 BRCA2 基因的发生率表明其在乳腺肿瘤的发展中发挥了作用。

https://cdn.ncbi.nlm.nih.gov/pmc/blobs/e823/10762755/2dd9588df2fe/APJCP-24-3261-g001.jpg

文献检索

告别复杂PubMed语法,用中文像聊天一样搜索,搜遍4000万医学文献。AI智能推荐,让科研检索更轻松。

立即免费搜索

文件翻译

保留排版,准确专业,支持PDF/Word/PPT等文件格式,支持 12+语言互译。

免费翻译文档

深度研究

AI帮你快速写综述,25分钟生成高质量综述,智能提取关键信息,辅助科研写作。

立即免费体验