Suppr超能文献

病例报告:两例患有贝克型肌营养不良症的中国同胞出现左心室心肌致密化不全的罕见病例,该疾病由基因中外显子10至12缺失所致。

Case report: A rare case of left ventricular noncompaction in two Chinese siblings with becker muscular dystrophy caused by deletion of exons 10 to 12 in the gene.

作者信息

Li Jingdong, Zhu Wanyue, Su Guanhua, Zhu Feng, Shuai Xinxin, Meng Yidi, Zhang Jiaming, Chen Hao

机构信息

Department of Cardiology, Union Hospital, Tongji Medical College, Huazhong University of Science and Technology, Wuhan, China.

Department of Emergency Medicine, Union Hospital, Tongji Medical College, Huazhong University of Science and Technology, Wuhan, China.

出版信息

Front Cardiovasc Med. 2023 Sep 14;10:1243825. doi: 10.3389/fcvm.2023.1243825. eCollection 2023.

Abstract

BACKGROUND

Becker muscular dystrophy (BMD) is an inherited X-linked recessive condition resulting from mutations of the gene encoding dystrophin. Left ventricular noncompaction (LVNC) is a rare cardiomyopathy morphologically characterized by abnormal myocardial trabeculae and deep recesses in the left ventricle. LVNC in BMD patients has only rarely been reported.

CASE REPORT

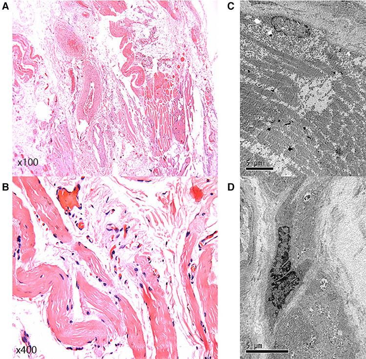
In the present study, we identified a deletion mutation in exons 10 to 12 (EX10_12 del) of the gene (reference sequence NM_004006.2) in two Chinese siblings with BMD and LVNC by high throughput targeted next-generation sequencing (NGS) and quantitative polymerase chain reaction (qPCR). The proband was a 22-year-old man admitted with dyspnea, abdominal distention, and polyserositis. It is noteworthy that both the proband and his younger brother manifested progressive muscular atrophy and creatine kinase (CK) elevation. Light and electron microscopy examination of muscle biopsies showed the typical features of dystrophinopathies. Cardiac magnetic resonance imaging and echocardiography demonstrated that both brothers had an enlarged left ventricle, LVNC, and reduced left ventricular ejection fraction. Finally, the proband underwent heart transplantation at age 26 with an event-free follow-up over 4 years post-transplantation.

CONCLUSION

This case further enriches our knowledge of the symptoms, genotype, cardiac performance, management, and prognosis of BMD patients complicated by LVNC. It is recommended that early comprehensive cardiac evaluation should be considered for patients with BMD to exclude LVNC, as this may have a significant impact on their prognosis.

摘要

背景

贝克肌营养不良症(BMD)是一种由编码抗肌萎缩蛋白的基因突变导致的遗传性X连锁隐性疾病。左心室心肌致密化不全(LVNC)是一种罕见的心肌病,其形态学特征为心肌小梁异常和左心室深陷。BMD患者合并LVNC的情况鲜有报道。

病例报告

在本研究中,我们通过高通量靶向新一代测序(NGS)和定量聚合酶链反应(qPCR),在两名患有BMD和LVNC的中国同胞中鉴定出该基因(参考序列NM_004006.2)外显子10至12(EX10_12 del)的缺失突变。先证者是一名22岁男性,因呼吸困难、腹胀和多浆膜炎入院。值得注意的是,先证者及其弟弟均表现出进行性肌肉萎缩和肌酸激酶(CK)升高。肌肉活检的光镜和电镜检查显示了抗肌萎缩蛋白病的典型特征。心脏磁共振成像和超声心动图显示,两兄弟均有左心室扩大、LVNC和左心室射血分数降低。最后,先证者在26岁时接受了心脏移植,移植后无事件随访超过4年。

结论

本病例进一步丰富了我们对合并LVNC的BMD患者的症状、基因型、心脏功能表现、治疗及预后的认识。建议对BMD患者进行早期全面的心脏评估以排除LVNC,因为这可能对其预后产生重大影响。

https://cdn.ncbi.nlm.nih.gov/pmc/blobs/5091/10538561/41b836af05de/fcvm-10-1243825-g001.jpg

文献AI研究员

20分钟写一篇综述,助力文献阅读效率提升50倍。

立即体验

用中文搜PubMed

大模型驱动的PubMed中文搜索引擎

马上搜索

文档翻译

学术文献翻译模型,支持多种主流文档格式。

立即体验